골격성 2급 과개교합, 단안모를 보였으나 보호자의 요청으로 상악 좌측 어금니 부분교정만 진행한 12세 여아 증례입니다.
분당판교 교정치과 서울리인치과에서 미니스크류를 이용한 간접골성고정원으로 제2대구치를 전방 이동시켜 제1대구치 발치 공간을 폐쇄한 실제 치료 과정과 한계점까지 자세히 설명드립니다.
분당 판교 최초! 유일!
서울대 출신, 교정 전문의 2인 공동대표 교정전문치과
안녕하세요, 분당판교 교정치과 서울리인치과입니다.

골격성 2급 과개교합이었지만… 상악 좌측 어금니 부분교정만 진행한 12세 여아 증례
교정 상담을 하다 보면 치료의 필요성에는 동의하시지만,
“아이에게 전체교정은 아직 부담스럽다”, “가능하면 꼭 필요한 부분만 먼저 하고 싶다”
라고 말씀하시는 보호자분들이 적지 않습니다.
이번 증례는 골격성 2급 부정교합과 과개교합이 있어 사실상 전체교정이 권장되는 상황이었지만,
보호자의 선택으로 상악 좌측 어금니 부분교정만 진행하게 된 12세 여아의 사례입니다.
의료진 입장에서의 고민, 그럼에도 불구하고 미니스크류 간접골성고정원을 이용해
최선을 다해 제2대구치를 전방 이동시켜 발치 공간을 폐쇄한 과정을 소개해 드립니다.
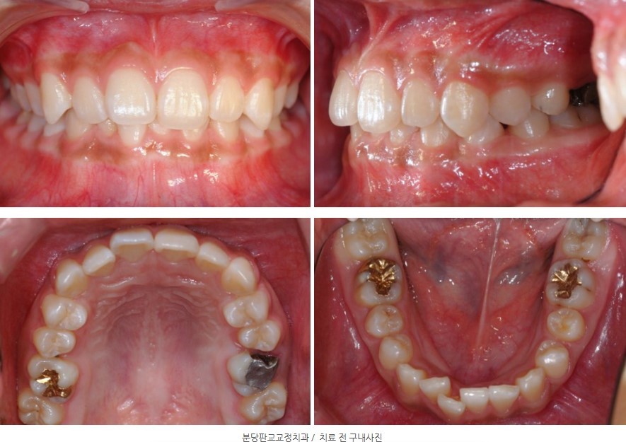
1. 초진 상태 – 전체교정이 더 적합했던 경우
내원 당시 환아는 다음과 같은 상태를 보이고 있었습니다.
-
골격성 2급 부정교합
-
과개교합(Deep bite)
-
단안모(짧은 얼굴) 경향
-
상악 좌측 제1대구치 발치 계획된 상태
구강 내·교합·성장 양상을 종합적으로 평가했을 때,
-
상·하악 전후방 관계 조절
-
과개교합 완화
-
전체 치열 정렬 및 교합 안정화
를 위해서는 전체교정이 훨씬 유리한 상황이었습니다.
특히 성장기 과개교합은 이 시기에 치료할 경우, 더 적은 장치와 더 간단한 방법으로 개선할 수 있는 경우가 많습니다.

그러나 보호자분께서는
“상악 좌측 제1대구치를 발치해야하니, 그 자리로 제2대구치만 당겨오는 부분교정만 하고 싶다”
는 의사를 명확히 전하셨고,
의료진은 전체교정이 갖는 장점과 부분교정의 한계를 충분히 설명드린 후,
보호자의 선택을 존중하여 치료 범위를 ‘상악 좌측 어금니 부분교정’으로 한정해 계획을 다시 세우게 되었습니다.
2. 치료 목표 – 최소 장치로 최대 고정 확보
부분교정을 선택한 만큼, 이번 치료의 핵심은
-
불편감과 장치 범위는 최소화하면서
-
원하는 어금니 이동만 최대한 정확하게 만들기
였습니다.
적용한 기본 전략
-
장치 부착 치아 최소화
-
고정원 역할: 상악 좌측 제2소구치
-
이동 대상: 상악 좌측 제2대구치
-
다른 치아에는 브라켓·밴드를 부착하지 않음 → 통증·이물감 최소화
-
상악 좌측 소구치 사이에 교정용 미니스크류(TAD) 식립
-
제2소구치를 미니스크류와 연결하여 **“움직이지 않는 고정원”**으로 설정
-
제2대구치만 전방 이동시켜 제1대구치 발치 공간을 폐쇄

이처럼, 미니스크류와 치아를 연결해 고정원을 만드는 방식을
**‘간접골성고정원(indirect skeletal anchorage)’**이라고 합니다.
3. 간접골성고정원(Indirect Skeletal Anchorage)이란?
일반적인 미니스크류 사용법은
미니스크류에서 이동시킬 치아로 직접 힘을 전달하는 직접골성고정원 방식입니다.
반면, 이번 증례에서처럼
-
미니스크류 ↔ 고정원으로 삼을 치아(제2소구치)를 먼저 단단히 연결
-
이 치아를 **“움직이지 않는 벽”**처럼 만들어 놓은 뒤
-
그 벽을 기준으로 이동시킬 치아(제2대구치)만 당겨오는 방식
을 간접골성고정원이라고 합니다.
이번 케이스의 실제 목표는 명확했습니다.
“상악 좌측 제1대구치 발치 공간을 제2대구치 단독 전방 이동으로 모두 메운다.”
따라서 고정원(제2소구치)이 움직이지 않도록 미니스크류를 활용해 견고하게 잡아주는 것이 무엇보다 중요했습니다.
4. 치료 경과 – 공간 폐쇄와 치근 조절
4-1. 공간 폐쇄까지
치료 시작 후 약 10개월 경과 시점에,
치관 사이의 공간은 거의 완전히 폐쇄된 상태가 되었습니다.

그러나 이 시점에서 제2대구치의 치근 방향을 확인했을 때, 치근이 이상적인 방향으로 완전히 직립되어 있지는 않았습니다.
따라서 “공간이 닫혔다”는 이유만으로 장치를 제거하지 않고,
-
치근이 보다 수직에 가깝게
-
장기적인 교합 안정에 유리하도록
추가적인 치근 조절 단계를 더 진행했습니다.

4-2. 총 치료 기간
일반적인 부분교정에 비해 길게 느껴질 수 있지만,
오히려 일반적인 소구치 발치 교정보다 치료 기간이 길어질 수밖에 없는 특수한 상황이었습니다.
다행히도 소아·청소년기에는 성인보다 치아이동 반응이 빠르기 때문에,
이 정도 기간 내에 목표한 만큼의 이동과 치근 조절을 마무리할 수 있었습니다.

5. 치료 결과 – “사랑니까지 고려한 어금니 재배치”
최종적으로 얻은 결과는 다음과 같습니다.
-
상악 좌측 제2대구치가 제1대구치 자리로 안정적으로 전방 이동
-
제2대구치의 치근이 비교적 이상적인 방향으로 직립
-
향후 하악 사랑니(제3대구치)가 제2대구치 자리로 맹출할 수 있는 환경 조성
-
상악 좌측 어금니 부위의 저작 기능 회복

즉, 부분교정이라는 한정된 조건 안에서도
“상실된 제1대구치의 공간을 제2대구치 전방이동으로 메우고,
향후 사랑니를 제2대구치처럼 활용할 수 있는 기반을 마련했다”
는 점에서 기능적으로 의미 있는 결과를 만들 수 있었습니다.
6. 남는 아쉬움 – 성장기 과개교합·2급 부정교합 치료 기회
의료진 입장에서 아쉬운 점은 분명합니다.
성장기 2급·과개교합의 경우,
이번 증례는
이기도 합니다.
실제로 교정 전후를 비교해 보면,
제2대구치는 좋은 위치를 확보했지만, 과개교합 자체는 오히려 진행되는 양상을 보이고 있습니다.
부분교정의 장점과 함께,
“전체교정을 하지 않았을 때 남는 한계”를 동시에 보여주는 사례라고 할 수 있습니다.
7. 부분교정이 가능한 경우와 한계
부분교정은 다음과 같은 상황에서 고려될 수 있습니다.
하지만 이번 증례처럼
전체교정이 더 바람직한 선택이 되는 경우가 많습니다.
즉,
“부분교정으로 가능한 범위”와
“전체교정을 해야 비로소 해결되는 범위”를
정확히 구분하는 것이 매우 중요합니다.
8. 아이 교정, 어디까지 할지부터 상의해 주세요
이번 사례는,
아이의 교정을 고민하실 때는
를 한 번쯤 충분히 상담 받아보시는 것이 좋습니다.

분당판교 교정치과 서울리인치과에서는
성장 단계, 골격 상태, 치열 및 교합 상태를 종합적으로 분석하여
-
부분교정이 적절한 경우
-
전체교정이 더 유리한 경우
를 솔직하게 설명드리고,
가족과 함께 가장 현실적인 치료 범위를 결정해 나가고 있습니다.
아이의 어금니 상실, 과개교합, 2급 부정교합, 부분교정을 고민하고 계신다면,
편한 시간에 상담을 예약하시어 “어디까지 치료하는 것이 좋을지” 함께 논의해 보시길 권해드립니다.