분당 판교 최초! 유일!
서울대 출신, 교정 전문의 2인 공동대표 교정전문치과
안녕하세요, 분당판교 교정치과 서울리인치과입니다.

“비발치로도 충분히 가능할까요?”
교정 상담에서 가장 자주 받는 질문 중 하나가 바로 이 말입니다.
“발치는 꼭 해야 하나요?”
“빼지 않고도 교정이 안 될까요?”
특히 성인 환자분들의 경우
치아 발치에 대한 심리적 부담이 크기 때문에
가능하다면 비발치 치료를 선호하시는 경우가 많습니다.
오늘 소개해드릴 증례는,
-
골격성 3급 부정교합 + 장안모
-
중등도 총생과 3급 견치·구치 관계
-
상악 중심선 편위
를 가진 여성 환자분이
“가능하면 비발치로 하고 싶다”
는 선택을 하셨을 때,
-
실제로 어떻게 치료를 했는지
-
무엇이 개선되었고
-
무엇이 끝까지 아쉬움으로 남았는지
를 그대로 보여주는 사례입니다.
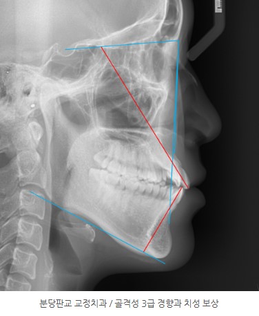
초진 상태 – 3급 부정교합 + 치성 보상이 겹쳐 있던 케이스
초진에서 확인된 주요 특징은 다음과 같습니다.
총생의 정도와 상악 전치의 각도를 고려하면 정석적으로는 발치 교정이 적합한 케이스였습니다.
특히 골격성 3급에서는
치성 보상(dental compensation) 양상이 흔합니다.

이 환자분 역시 이미 상악 전치의 각도가 커져 있어 미리부터 “뻐드러져 보이는” 느낌을 주는 상태였습니다.
이런 상황에서 발치 없이 단순 배열만 하면,
치료 계획에 대한 고민 – 이론상 발치가 적합했지만…
골격성 3급 부정교합 환자에서
전치를 과도하게 후방 이동시키면 또 다른 문제가 생길 수 있습니다.

이 환자분의 경우를 정리해보면,
그러나, 충분한 설명과 상담에도 불구하고
환자분께서는
“꼭 필요하지 않다면 발치는 피하고 싶어요.”
라고 강하게 비발치 치료를 원하셨습니다.
최종적으로는
비발치 계획으로 방향을 정하게 되었습니다.
실제 치료 방법 – 사랑니 발치 + 후방이동 + 치간삭제
비발치 치료의 한계를 최대한 보완하기 위해
다음과 같은 전략을 사용했습니다.
1) 사랑니(제3대구치) 발치
-
상·하악 좌측 사랑니 발치
-
이후 후방 이동 시
2) 미니스크류(TAD)를 이용한 후방이동
미니스크류에 대한 자세한 내용은
기존 포스팅에서 다룬 것처럼,
3) 치간삭제(IPR) 병행
이러한 조합을 통해
-
총생 해소
-
부분적인 중심선 개선
-
3급 교합 관계의 완화
를 목표로 치료를 진행했습니다.

치료 결과 – 배열과 중심선은 좋아졌지만, 돌출감은 남은 케이스
치료 종료 후, 객관적으로 개선된 부분은 분명했습니다.



하지만,
그 이유는 명확합니다.
**치성 보상(dental compensation)**을 근본적으로 풀어줄 수 없었기 때문입니다.

골격성 3급에서의 “치성 보상”을 어떻게 할 것인가
골격성 3급 부정교합 환자들은 상당수에서
라는 “치성 보상 패턴”을 보입니다.
이때 치료 전략은 크게 두 가지입니다.
-
치성 보상을 어느 정도 유지한 채
-
보상을 풀고(dental decompensation)
이번 증례는,
-
환자분의 강한 비발치 선호
-
골격 3급 + 장안모라는 페이셜 패턴
-
안모 보존에 대한 우려
를 고려해,
“비발치로 할 수 있는 만큼 최대한 해 본 케이스”였고,
그 결과,
-
배열·교합·중심선은 의미 있게 좋아졌지만
-
전치부 돌출감과 보상 해소에는 한계가 있었다
는 점이 아주 잘 드러난 사례입니다.
마무리 – “가능한 방법”과 “가장 적합한 방법”은 다를 수 있습니다
이 증례가 주는 메시지는 비교적 분명합니다.
비발치 치료만으로도
는 충분히 개선될 수 있습니다.
하지만,
-
전반적인 돌출감
-
골격적 3급에서 기인한 치성 보상
까지 완전히 해소하기에는
경우에 따라 분명한 한계가 존재할 수 있습니다.
상담 전, 꼭 한 번 확인해 보셨으면 하는 것들
교정 상담을 준비하고 계시다면,
다음 네 가지를 함께 질문해 보시는 것을 추천드립니다.
-
내 교합은 1급/2급/3급 중 무엇인지
-
현재 치열 상태에 **치성 보상(dental compensation)**이 있는지
-
발치 vs 비발치 각각의 장·단점과 안모에 어떤 차이를 만드는지
-
장기적으로 봤을 때 가장 안정적인 선택은 무엇인지
필요하시다면,
분당판교 교정치과 서울리인치과에서
교정과 전문의가 직접 현재 상태와 선택지들을
충분히 설명드리겠습니다.
당신 곁에 언제나, 빛나는 미소를 위한 서울리인치과교정과의원
서울리인치과교정과의원은
교정은 단순히 치아 배열을 정리하는 것이 아니라,
환자분의 자신감과 삶의 질을 높이는 과정이라고 믿습니다.
여러분의 상황과 가치관을 존중하면서,
가장 합리적인 치료 방향을 함께 고민해 드리겠습니다.
편하신 시간에 언제든 상담 예약 남겨주세요.