서울리인 아카이브
Seoulean Archive
치과 교정과 전문의가 전하는, 치아교정의 바른 이야기
서울리인 아카이브
Seoulean Archive
치과 교정과 전문의가 전하는, 치아교정의 바른 이야기
[치아교정] 분당 청소년 돌출입 교정 | 성장기 교정 타이망 놓친 13세 골격성 2급, 상악 발치로 스마일 변화
2026.03.31분당 청소년 돌출입 교정 사례.
성장기 교정 시기를 놓친 13세 골격성 2급 환자에서 상악 소구치 발치만으로
과개교합, 수평피개, 입술폐쇄부전 개선과 함께 스마일라인과 협측회랑까지 자연스럽게 변화한 치료 결과를 소개합니다.
안녕하세요.
분당 판교 교정치과, 서울리인치과입니다.

분당 청소년 돌출입 교정 사례, “입 모양이 아니라 웃는 인상을 바꿉니다”
분당 청소년 돌출입 교정을 고민하는 보호자분들이 가장 많이 궁금해하는 것은
“입이 얼마나 들어가나요?”입니다.
하지만 실제 치료 만족도를 결정하는 요소는
웃을 때 보이는 인상, 즉 스마일입니다.
이번 분당 청소년 돌출입 교정 사례 역시 단순한 돌출입 개선을 넘어
스마일의 완성도를 크게 끌어올린 케이스입니다.
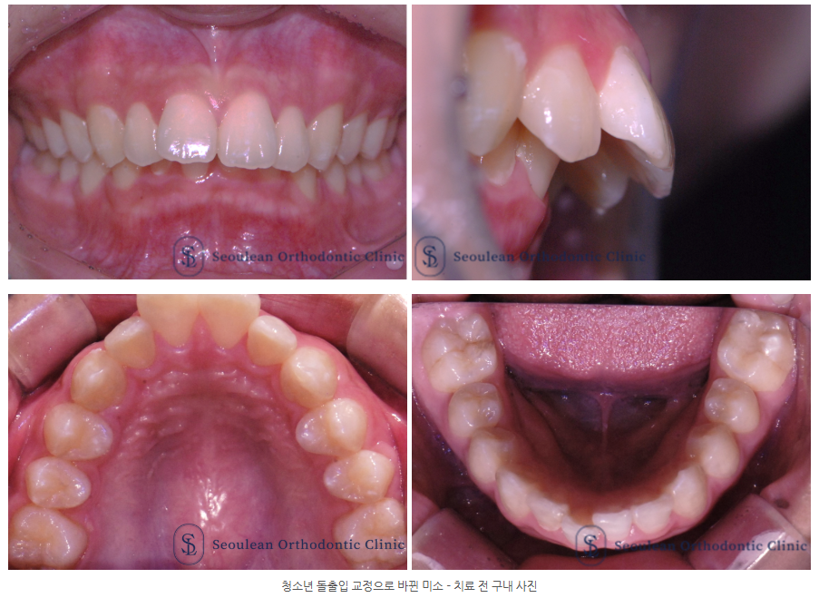
청소년 돌출입 교정 치료 전 상태 (13세 남아)
환자는 돌출입을 주소로 내원하였으며,
정밀 검사 결과 다음과 같은 문제점이 확인되었습니다.

성장기 교정 시기를 놓친 경우, 치료 전략은?
청소년 돌출입 교정에서 골격성 2급(하악 후퇴) 환자는 일반적으로
성장기 교정을 통한 하악 성장 유도를 먼저 고려합니다.
하지만 본 환자는 성장 peak를 활용하기에는 다소 늦은 시기였습니다.
따라서 분당 청소년 돌출입 교정 치료 방향은
결과적으로 **상악 소구치 2개 발치(편악 발치)**로 설정했습니다.
골격성 2급에서 상악 발치 교정을 선택한 이유
하악이 후퇴된 골격성 2급 환자에서 상·하악 모두 발치할 경우
입이 전체적으로 너무 많이 들어가 밋밋해 보이는 부작용이 발생할 수 있습니다.
따라서 이번 분당 청소년 돌출입 교정에서는
결과적으로
프로파일과 스마일을 동시에 개선하는 치료 계획입니다.
상악 편악 발치로 돌출입 교정하기 – 발치 개수에 따른 차이와 실제 치료 사례
분당 청소년 돌출입 교정 치료 경과 및 기간
치료 시작 당시에는 제2대구치가 아직 맹출되지 않은 상태였습니다.
하지만 적절한 시기에 교정을 시작하면서
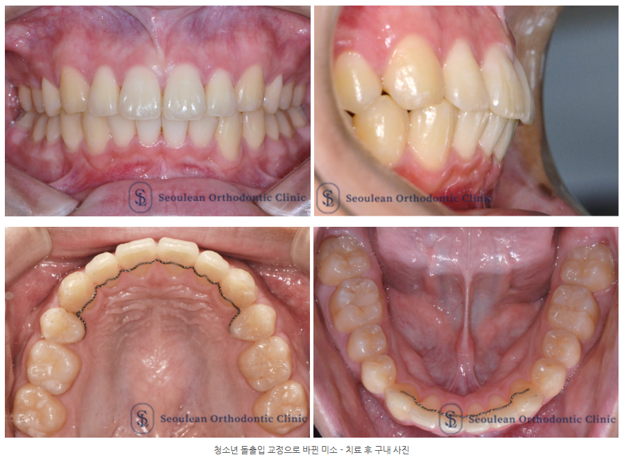
**총 치료 기간: 약 1년 10개월



치료 결과 – 스마일이 달라진 이유
이번 분당 청소년 돌출입 교정의 핵심은
단순한 치열 정리가 아닌 **“인상의 변화”**입니다.
결과적으로 “치아가 가지런해졌다”뿐만 아니라
“웃는 인상이 좋아졌다”는 변화를 만들었습니다.
분당 청소년 돌출입 교정, 이 사례의 핵심 포인트
✔ 성장기 교정 시기를 놓친 경우에도
적절한 발치 전략으로 충분한 개선 가능
✔ 청소년 돌출입 교정에서 중요한 것은
발치 여부가 아니라 정확한 발치 계획
✔ 교정치료의 목표는
치열 정리가 아닌 얼굴과 스마일의 조화
결론 – 분당 청소년 돌출입 교정의 핵심 기준
분당 청소년 돌출입 교정은
단순히 입이 들어가는 치료가 아닙니다.
이 두 가지가 치료 결과를 결정합니다.
이번 사례처럼 정확한 진단과 맞춤형 치료 계획이 이루어진다면
성장기를 지난 이후에도 충분히 만족스러운 결과를 얻을 수 있습니다.

"서울리인치과는 처음 상담부터 치료 종료까지 꼼꼼한 진단과 치료는 물론
주치의가 바뀌지 않는 책임진료 시스템을 유지하고 있습니다.”
#분당청소년돌출입교정 #분당교정치과 #판교교정치과 #미금역교정치과 #주치의바뀌지않는치과 #주치의변경없는치과 #청소년교정 #돌출입교정 #골격성2급교정 #성장기교정시기 #1차교정시기 #상악발치교정 #스마일라인교정 #협측회랑개선 #과개교합교정 #수평피개