서울리인 아카이브
Seoulean Archive
치과 교정과 전문의가 전하는, 치아교정의 바른 이야기
서울리인 아카이브
Seoulean Archive
치과 교정과 전문의가 전하는, 치아교정의 바른 이야기
[치아교정] 악궁확장이 필요한 경우와 치료 목적
2025.11.20서울리인교정치과입니다.
이번 게시글에서는 교정치료를 알아보며 자주 접하게 되는
**‘악궁확장’**에 대해 안내드리고자 합니다.
악궁이란?
악궁은 **상악(위턱)**과 하악(아래턱) 각각에 존재하는
치아가 배열된 말굽 모양의 구조를 말하며,
잇몸뼈와 치은(잇몸)으로 둘러싸여 있습니다.
악궁의 형태는 개인마다 차이가 있으며
일반적인 U자형,
좁은 형태의 V자형,
사각형에 가까운 형태 등
다양하게 나타납니다.

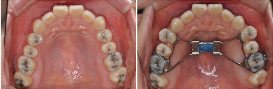
악궁확장은 말 그대로 좁아진 악궁을 넓혀주는 치료입니다.
주로 상악 악궁을 확장하며, 아래와 같은 치료 목적에 따라 시행합니다.
악궁확장이 필요한 주요 상황
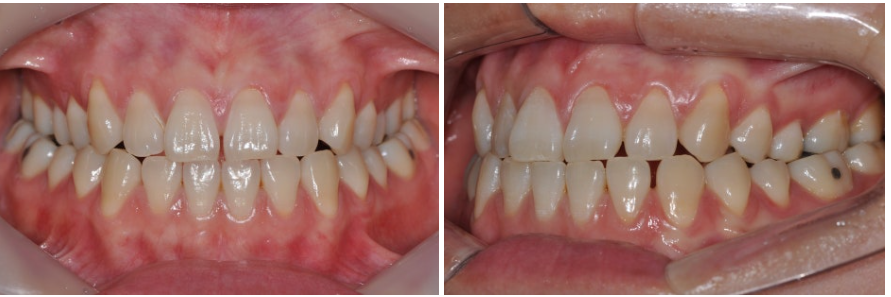
정상 교합에서는 윗니 어금니가 아래 어금니를 감싸는 형태가 되어야 합니다.
상악 악궁이 좁으면 반대로 물리는 교차교합이 발생할 수 있습니다.
이 경우 상·하악 폭경을 맞추기 위해 상악 악궁확장을 우선 시행한 뒤
전체적인 교정치료를 진행합니다.



교차교합이 없어도, 악궁이 지나치게 좁아 치아가 배열될 공간이 부족하면
악궁확장을 통해 정상적인 치열 공간을 확보합니다.
좁은 상악 악궁은 하악 어금니를 안쪽으로 쓰러지게 만들기도 하므로
악궁확장 후 두 악궁을 함께 정상 위치로 세워 교합을 안정화합니다.
필요 시 환자의 심미적 요구(입매 개선 등)에 따라
악궁확장 후 발치교정을 병행하기도 합니다.

주걱턱(반대교합)을 가진 어린이는
상악 성장이 충분하지 않은 경우가 많아
페이스마스크와 같은 장치를 사용하기도 합니다.
이때 **상악 견인치료(페이스마스크)**와 함께 악궁확장을 병행하면
학술적으로도 더 좋은 교정 효과가 보고되고 있습니다.
하악과의 교합을 맞추기 위해서는
확장된 상악 악궁이 안정적인 기반이 되기 때문입니다.

성인 주걱턱 환자는 아래 치열을 뒤로 당기는 치료가 필요한데,
후방 이동 후에는 어금니 폭경이 달라지면서
교차교합이 새로 발생할 수 있습니다.
이런 경우 일반 장치만으로는 폭경 조절이 어려워
상악 악궁확장을 선행하여
치료 후의 폭경 불균형을 예방하기도 합니다.
악궁확장, 꼭 필요한 경우에만 시행합니다
악궁확장은 한때 과도하게 시행되던 시기가 있었습니다.
그러나 정상적인 악궁 크기를 가진 환자에게 필요한 것 이상으로 확장하는 경우,
오히려 장기적 안정성에 불리할 수 있습니다.
악궁확장이 필요한 상황은 환자마다 크게 다르므로
반드시 교정 전문의의 정확한 진단을 통한 판단이 중요합니다.
오늘은 악궁확장이 필요한 상황과 그 이유에 대해 알아보았습니다.
다음 게시글에서는
악궁확장 장치의 종류
악궁확장의 구체적 방법
에 대해 자세히 소개해드리겠습니다.
궁금하신 점이 있다면 언제든지 상담 바랍니다.
감사합니다.