서울리인 아카이브

Seoulean Archive

치과 교정과 전문의가 전하는, 치아교정의 바른 이야기

게시물 검색
  • [치아교정]

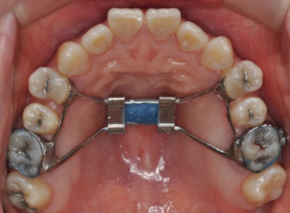
    악궁확장이 필요한 경우와 치료 목적

    2025.11.20
  • [치아교정]

    턱관절·교정치료의 핵심: 중심교합(CO)과 중심위(CR) 이해하기

    2025.11.20
  • [치아교정]

    분당교정치과 개방교합, 치아교정으로 기능과 심미 동시에 개선!? | 서울리인치과교정과의원

    2025.11.20
  • [치아교정]

    분당교정치과 결손치, 임플란트 없이 교정치료로 해결!? | 서울리인치과교정과의원

    2025.11.20
  • [치아교정]

    분당치아교정 돌출입은 무조건 발치? No! 발치 없이 완성한 입매 라인 변화 | 서울리인치과교정과의원

    2025.11.19
  • [치아교정]

    분당교정치과, 사랑니 살려쓰기 | 서울리인치과교정과의원

    2025.11.19
  • [치아교정]

    분당치아교정 심한 치열 비대칭, 교정치료로 가능할까요? | 서울리인치과교정과의원

    2025.11.19
  • [치아교정]

    판교치아교정 거미스마일(잇몸 웃음) 비발치 치료 | 서울리인치과교정과의원

    2025.11.19
  • [치아교정]

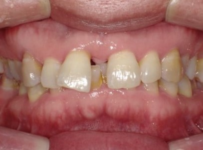
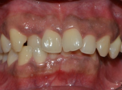
    분당치아교정 정중이개 | 서울리인치과교정과의원

    2025.11.19
  • [치아교정]

    분당치아교정 거미스마일(잇몸웃음) 교정치료 | 서울리인치과교정과의원

    2025.11.19
  • [치아교정]

    미금역교정치과 / 교합조정이란? 정확한 교합을 위한 필수 요소

    2025.11.19
  • [치아교정]

    분당교정치과 중장년층도 치아교정을 하나요? | 서울리인치과교정과의원

    2025.11.18
  • [치아교정]

    분당교정치과 웃을 때 잇몸이 너무 많이 보여요 | 서울리인치과교정과의원

    2025.11.18
  • [치아교정]

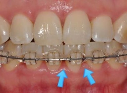
    분당치아교정 치간삭제, 괜찮은 건가요? (Part 2) | 서울리인치과교정과의원

    2025.11.18
  • [치아교정]

    분당교정치과 치간삭제, 괜찮은 건가요? (Part 1) | 서울리인치과교정과의원

    2025.11.18