서울리인 아카이브
Seoulean Archive
치과 교정과 전문의가 전하는, 치아교정의 바른 이야기
서울리인 아카이브
Seoulean Archive
치과 교정과 전문의가 전하는, 치아교정의 바른 이야기
[치아교정] 분당치아교정 거미스마일(잇몸웃음) 교정치료 | 서울리인치과교정과의원
2025.11.19웃을 때 잇몸이 많이 보여 고민이신가요?
분당 판교 서울리인치과교정과의원이 40대 환자에서 돌출입과 거미스마일(잇몸웃음)을 교정용 미니스크류를 이용한 교정치료로 개선한 실제 증례를 소개합니다.

분당치아교정 거미스마일(잇몸웃음) 교정치료
분당 판교 최초, 서울대 출신 교정 전문의 2인 공동대표 교정전문치과, 서울리인치과교정과의원입니다.
이전 글에서 거미스마일(잇몸웃음)의 원인과 유형에 대해 이야기 나누었는데요,
이번에는 실제로 교정치료를 통해 거미스마일을 개선한 증례를 하나 더 소개해 드리려 합니다.
케이스 소개: 돌출입과 거미스마일로 내원한 40대 환자
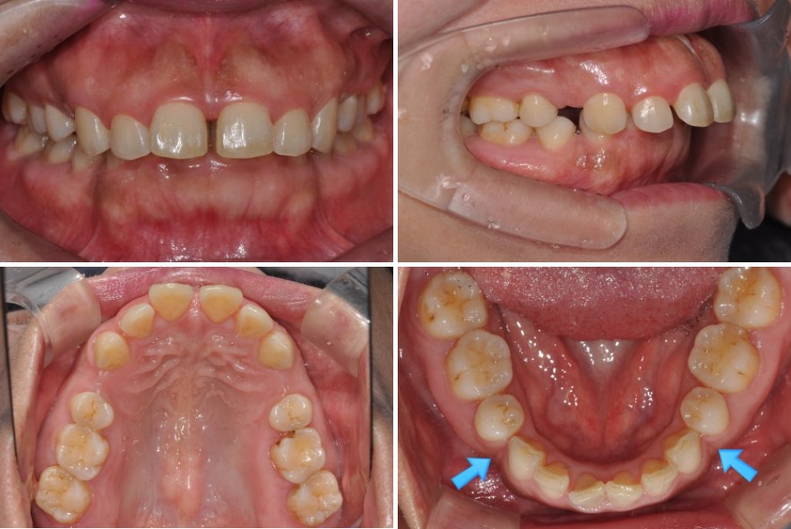
이번 증례는 돌출입과 웃을 때 잇몸이 많이 보이는 거미스마일이 고민이었던 43세 여성 환자분입니다.

구강 내를 확인해 보니 양쪽 소구치 4개가 없는 상태였습니다.
예전에 다른 곳에서 발치교정을 계획하며 소구치 발치는 이미 진행했지만, 여러 사정으로 인해 교정치료를 시작하지 못한 채 시간이 지난 케이스였습니다.
위쪽은 발치한 공간이 그대로 남아 있었고, 아래쪽은 송곳니가 뒤로 쓰러지면서 발치 공간이 거의 사라진 상태였습니다.
앞니는 매우 깊게 물려 있어, 입을 벌리고 봐도 아래 앞니가 거의 보이지 않을 정도였습니다.

엑스레이 상으로는 위 앞니가 윗입술 아래로 많이 내려와 있는 모습이 관찰되었고, 위 앞니가 앞으로 뻐드러진 각도 역시 개선이 필요한 상태였습니다.
입술을 편안하게 다물기 어려운 상태였고, 아래 앞니는 위쪽으로 솟구쳐 깊은 교합을 만드는 데 큰 역할을 하고 있었습니다.

웃는 모습을 보면 잇몸 노출이 많고, 위 앞니의 치아 형태도 가로·세로 비율상 정사각형에 가까워 더 짧아 보이는 인상을 주고 있었습니다.
치료 계획: 돌출과 거미스마일을 동시에 잡기
이 환자분의 경우, 단순히 치아 배열만 정리해서는 원하는 결과를 얻기 어렵다고 판단했습니다. 그래서 다음 두 가지를 주요 목표로 설정했습니다.
1) 아래 앞니를 적절한 위치까지 아래로 내리기
깊게 물린 교합을 완화하고, 웃을 때 아래 앞니가 전혀 보이지 않는 상태를 개선하기 위해서는 아래 앞니의 수직 위치를 조정할 필요가 있었습니다.
아래 앞니를 적절한 위치까지 내려서 위·아래 앞니의 겹침 정도를 정상 범위로 맞추는 것이 중요한 목표였습니다.
2) 윗니를 뒤·위 방향으로 이동시켜 돌출입과 거미스마일 해소
윗니는 앞으로 돌출되어 있을 뿐 아니라, 아래쪽으로 많이 내려와 있는 상태였습니다.
따라서 윗니를 단순히 뒤로만 보내는 것이 아니라, 후방 이동과 상방 견인을 동시에 진행하여 돌출입과 잇몸 노출을 함께 줄이는 방향 으로 계획을 세웠습니다.
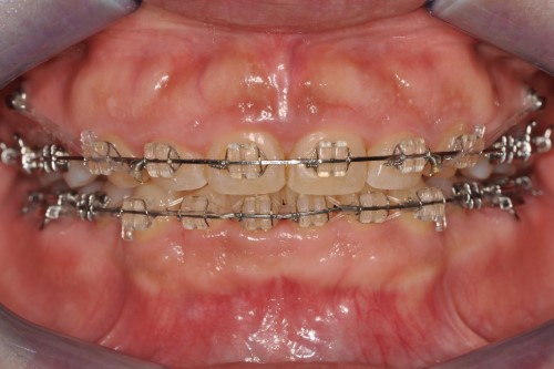
이 목표를 달성하기 위해, 교정용 미니스크류를 적절한 위치에 식립해 치아를 견인하는 방향과 힘의 크기를 정밀하게 조절하였습니다.
치료가 진행되면서 윗니에 가려 보이지 않던 아래 앞니도 점차 모습을 드러내기 시작했습니다.

치료 경과와 결과
약 2년 4개월에 걸친 교정치료 끝에, 발치 공간을 포함한 전체 치열 정리와 돌출·거미스마일 개선이 마무리되었습니다.
웃는 모습을 비교해 보면, 치료 전에는 잇몸 노출이 많고 입술 라인이 긴장되어 보였던 반면,
치료 후에는 잇몸이 과도하게 보이지 않으면서 단아하고 안정된 미소로 바뀐 것을 확인할 수 있습니다.

돌출된 느낌도 줄어들어 옆모습에서도 입술이 보다 조화로운 위치로 이동하였습니다. 환자분 역시 치료 전 가장 큰 고민이던 돌출입과 잇몸웃음이 함께 개선되어 만족도가 매우 높았습니다.


잇몸성형을 통한 마무리 심미 개선
다만 앞니 자체의 가로·세로 비율은 여전히 이상적인 비율보다 세로가 짧은 편이어서, 교정만으로 해결하기 어려운 부분은 잇몸성형을 통해 추가로 개선하기로 했습니다.
교정치료 종료 후 잇몸성형을 진행하여 치아 길이를 시각적으로 보다 조화롭게 맞추었고,
아직 잇몸이 완전히 아물기 전임에도 불구하고 전보다 훨씬 심미적인 결과를 얻을 수 있었습니다.

엑스레이 상에서도 치료 전후를 비교하면, 위 앞니의 높이와 각도가 모두 정상 범위에 가깝게 개선된 것을 확인할 수 있습니다.
아래 앞니 역시 수직 위치가 적절히 조정되어, 깊게 물리던 교합을 완화하는 데 중요한 역할을 했습니다.

거미스마일, 수술 없이도 교정치료로 좋아질 수 있습니다
이 증례처럼 거미스마일은 반드시 수술만이 답인 것은 아닙니다.
교정용 미니스크류를 포함한 교정치료만으로도, 돌출입과 잇몸웃음을 동시에 의미 있게 개선할 수 있는 케이스가 적지 않습니다.
다만 치아를 얼마나, 어떤 방향으로, 어느 정도 거리까지 이동시킬 수 있는지는 환자분의 골격·치조골 상태, 기존 발치 여부, 잇몸 상태 등 여러 요소에 따라 달라집니다.
또한 모든 거미스마일이 발치치료를 필요로 하는 것은 아니며, 경우에 따라 비발치 교정만으로도 충분한 개선을 기대할 수 있습니다.
그렇기 때문에 “수술을 꼭 해야 하나요?” 또는 “발치는 꼭 해야 하나요?”라는 고민보다는,
먼저 교정과 전문의에게 정확한 진단을 받고 현재 상태에서 가능한 선택지와 각 방법의 장단점을 충분히 상담해 보시는 것이 중요합니다.
다음 포스팅에서는 발치 없이 거미스마일을 교정치료로 개선한 증례도 분당치아교정 서울리인치과에서 소개해 드리겠습니다.
읽어주셔서 감사합니다.