서울리인 아카이브
Seoulean Archive
치과 교정과 전문의가 전하는, 치아교정의 바른 이야기
서울리인 아카이브
Seoulean Archive
치과 교정과 전문의가 전하는, 치아교정의 바른 이야기
[치아교정] 분당치아교정 정중이개 | 서울리인치과교정과의원
2025.11.19앞니 사이가 벌어져 보이는 정중이개, 꼭 치료해야 할까요? 분당 판교 서울리인치과교정과의원이 정중이개의 원인, 치료가 필요한 경우, 교정·수술·보철 등 다양한 치료 방법과 실제 교정 사례를 쉽게 설명드립니다.

분당치아교정 정중이개
분당 판교 최초, 서울대 출신 교정 전문의 2인 공동대표 교정전문치과 서울리인교정치과입니다.
오늘은 많은 분들이 고민하시는 앞니 사이 공간, 정중이개(正中離開, diastema) 에 대해 이야기해 보겠습니다.
정중이개란 무엇인가요?
정중이개는 말 그대로 위 앞니 가운데가 벌어진 상태를 말합니다.
연구 결과에 따르면 정중이개는 흑인에서 높은 빈도로 나타나며, 동양인에서도 어린이부터 성인까지 다양한 연령층에서 관찰됩니다.
예전 어르신들은 “앞니가 벌어져 있으면 복이 나간다”는 말씀을 하시기도 했지요.
속설의 진위는 별개로, 앞니 사이의 틈은 단순히 심미적인 문제를 넘어 저작 기능이나 발음, 그리고 외모 콤플렉스를 통해 심리적인 영향까지 줄 수 있기 때문에,
원인에 따라 적절한 치료가 필요할 수 있습니다.
정중이개의 원인은 무엇인가요?
정중이개의 원인은 한 가지가 아니라 여러 요인이 복합적으로 작용하는 경우가 많습니다. 대표적인 원인들을 정리해 보면 다음과 같습니다.
부모님 중에 앞니 사이가 벌어져 있는 분이 계신 경우, 자녀에게도 유사한 치열 형태가 나타날 수 있습니다. 치아 크기, 턱 크기, 치열 형태 등은 어느 정도 유전적인 영향을 받습니다.
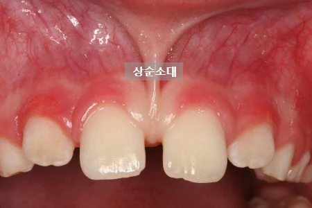
윗입술과 잇몸을 연결하는 작은 조직을 상순소대라고 합니다.
이 조직이 비정상적으로 두껍거나 길거나, 앞니 사이까지 깊게 내려와 있는 경우, 앞니 사이를 벌어지게 만드는 힘으로 작용할 수 있습니다.

턱에 비해 치아가 상대적으로 작으면 전체 치열에 공간이 남게 되고, 그 결과 앞니 사이뿐 아니라 다른 부위에도 틈이 생기기 쉽습니다.
아래턱 혹은 아래 치열이 앞으로 나와 있어 윗니가 정상적으로 아랫니를 충분히 감싸지 못하는 경우, 교합력의 방향이 달라지면서 정중이개가 발생하거나 심해질 수 있습니다.
손가락 빨기, 혀를 앞니 사이로 내미는 습관 등은 앞니를 서서히 밀어내어 앞니 사이를 벌어지게 할 수 있습니다. 어린 시절부터 지속된다면 치열에 영향을 주게 됩니다.
유치가 너무 일찍 빠졌는데 영구치가 제때 올라오지 못하거나, 자리를 제대로 잡지 못하면 주변 치아가 이동하며 공간이 생길 수 있습니다. 이때 앞니 사이 공간도 함께 벌어질 수 있습니다.
잇몸 속에 과잉치(불필요한 여분의 치아) 가 자리잡고 있는 경우, 치아 맹출 경로를 방해하거나 앞니 사이를 밀어 내면서 정중이개를 만들 수 있습니다.
정중이개, 꼭 치료해야 하나요?
정중이개가 있다고 해서 무조건 치료해야 하는 것은 아닙니다. 다만 다음과 같은 경우에는 치료를 권장드립니다.
발음에 영향을 주는 경우 (특히 ‘ㅅ’, ‘ㅆ’, 영어의 s, z 발음 등)
웃을 때 보이는 앞니 사이 공간이 심미적으로 큰 고민인 경우
잇몸 건강이나 교합에 문제가 동반되어 있는 경우
정중이개로 인해 다른 치아 배열이나 교합에 추가적인 문제가 생기는 경우
즉, 단순히 앞니 사이 틈 자체보다는 기능·심미·교합에 미치는 영향을 함께 고려하여 치료 여부를 결정하게 됩니다.
정중이개의 치료 방법은?
정중이개의 원인과 현재 치열 상태에 따라 치료 방법은 달라집니다. 대표적인 방법들을 살펴보겠습니다.
벌어진 앞니를 교정적으로 이동시켜 공간을 닫는 가장 기본적인 방법입니다.
고정식 교정장치(브라켓)나 투명교정장치(인비절라인 등)를 사용할 수 있습니다.
자연치아를 그대로 살리면서 배열을 바로 잡는다는 점에서 가장 보존적인 방법에 속합니다.
상순소대가 정중이개의 주요 원인인 경우, 교정치료와 함께 상순소대 절제술을 병행하여 치료 후 공간이 다시 벌어지는 것을 예방할 수 있습니다.
이때 중요한 점은 순소대 절제술의 시기입니다.
따라서 일반적으로는 치아이동으로 앞니 사이 공간을 먼저 닫은 후, 재발 방지를 위해 순소대 절제술을 시행하는 것이 바람직합니다.
벌어진 공간이 크지 않고, 비교적 짧은 기간 안에 심미적인 개선을 원하시는 경우에는 라미네이트(도재 박편)나 레진을 이용한 보철적 방법을 선택할 수 있습니다.
다만 치아 삭제량, 장기적인 유지관리, 변색 가능성 등을 고려해야 하기 때문에, 단순히 “빨리 메우고 싶다”라는 이유만으로 선택하기보다는
교정치료와의 장단점을 비교한 뒤 결정하는 것이 좋습니다.
소아에서는 영구치가 새로 나는 시기를 “ugly duckling stage” 라고 부르기도 합니다.
이 시기에는 일시적으로 앞니 사이가 벌어져 보이는 경우가 많은데, 나머지 영구치가 차례로 맹출하면서 자연스럽게 공간이 닫히는 경우도 적지 않습니다.
이런 경우에는 전문의의 진단 하에 즉각적인 치료 개입 없이 일정 기간 관찰만 하기도 합니다.
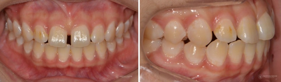
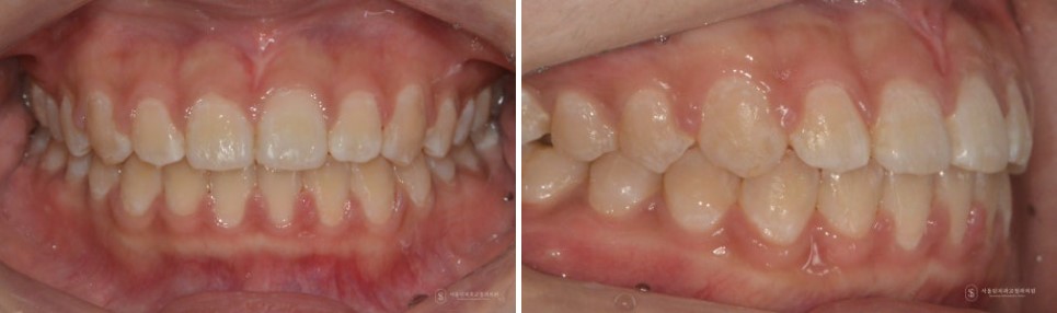
정중이개의 실제 치료 사례
이제 실제 치료 사례를 통해 정중이개가 어떻게 개선될 수 있는지 살펴보겠습니다.

이번 케이스는 정중이개의 원인이 복합적으로 존재하던 경우입니다.
이러한 문제를 해결하기 위해 먼저 아래 사랑니를 발치하고, 교정용 미니스크류를 이용해 아래 치열 전체를 뒤로 보내는 작업을 진행했습니다.
그 다음 단계로, 위 앞니가 아래 앞니를 안정적으로 잘 수용할 수 있도록 아래 앞니의 치아 크기를 치간삭제를 통해 적절히 줄여 비율을 맞추었습니다.
이후 교정적으로 위 앞니 사이의 공간을 닫아 정중이개를 해소하고, 마지막으로 재발 방지를 위한 상순소대 절제술을 시행했습니다.
그 결과, 단순히 앞니 사이 공간만 닫힌 것이 아니라 정중이개, 교합, 위아래 앞니 크기 밸런스까지 함께 개선되는 치료 결과를 얻을 수 있었습니다.

정리하며: 중요한 것은 정확한 진단과 맞춤형 계획
이렇듯 정중이개는 겉으로 보기에는 단순히 앞니 사이가 벌어진 것처럼 보이지만,
실제로는 유전, 습관, 치아 크기·턱 크기의 불균형, 상순소대, 부정교합 등 여러 요인이 복합적으로 작용하는 경우가 많습니다.
그래서 무엇보다 정확한 진단이 먼저이고, 그 결과에 따라 환자분의 상태에 맞는 적절한 치료 계획을 세우는 것이 중요합니다.
정중이개로 인해 발음이나 외모, 치아 배열·교합이 고민이시라면, 한 번쯤 교정과 전문의에게 상담을 받아 보시기를 권해드립니다.
서울리인교정치과는 풍부한 임상경험과 맞춤형 진료를 바탕으로, 환자분 한 분 한 분께 가장 어울리는 치료 방향을 함께 찾고 있습니다.
정중이개로 고민 중이시라면, 밝고 조화로운 미소를 위한 첫 걸음을 서울리인과 함께 시작해 보세요.