서울리인 아카이브
Seoulean Archive
치과 교정과 전문의가 전하는, 치아교정의 바른 이야기
서울리인 아카이브
Seoulean Archive
치과 교정과 전문의가 전하는, 치아교정의 바른 이야기
[치아교정] 판교치아교정 거미스마일(잇몸 웃음) 비발치 치료 | 서울리인치과교정과의원
2025.11.19거미스마일이지만 발치까지 해야 할지 고민이신가요?
판교 서울리인치과교정과의원이 20대 여성의 비발치 거미스마일 교정 사례를 통해 원인 분석, 미니스크류·설측교정 활용, 치료 과정과 결과를 자세히 설명드립니다.

판교치아교정 거미스마일(잇몸 웃음) 비발치 치료
분당 판교 최초, 서울대 출신 교정 전문의 2인 공동대표 교정전문치과, 서울리인교정치과입니다.
지난번에는 돌출입을 동반한 거미스마일을 발치 교정으로 치료한 방법을 소개해 드렸는데요,
이번에는 발치가 필요하지 않았던 거미스마일 케이스를 통해 비발치 치료법을 보여드리려고 합니다.
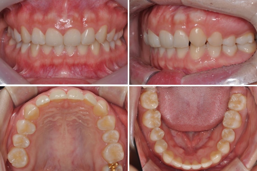
케이스 소개: 20대 여성, 비대칭과 거미스마일로 내원
20대 여성분이 웃을 때 잇몸이 많이 보이는 거미스마일을 해결하고 싶다며 내원하셨습니다.
얼굴을 정면에서 보면 약간의 비대칭이 있기는 하지만,
입술을 다문 모습만 놓고 보면 크게 눈에 띄는 문제는 없어 보였습니다.

구강 내 상태를 살펴보면 치열 자체는 비교적 가지런한 편이었으나,
비대칭을 동반한 2급 부정교합(위턱이 상대적으로 앞으로 있는 교합) 양상을 보이고 있었습니다.
겉보기에는 치아 배열이 크게 삐뚤지 않아 단순히 “정리만 하면 될 것 같다”고 생각하기 쉽지만, 실제로는 교합 관계에 문제가 있는 상태였습니다.

가장 큰 고민이었던 부분은 역시 웃을 때 심하게 드러나는 잇몸, 즉 거미스마일이었습니다.

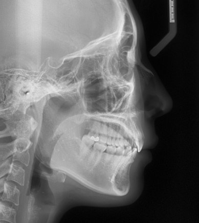
원인 분석: 치아 위치·각도·위턱뼈까지 함께 보는 진단
이제 이 분의 거미스마일 원인을 조금 더 자세히 분석해 보겠습니다.
엑스레이를 통해 확인해 보니, 치아의 수직 위치가 약간 내려와 있는 부분도 있었지만,
그보다 더 중요한 것은 위 앞니의 각도가 너무 “직립”되어 있고, 위턱뼈 자체가 전방으로 돌출된 형태라는 점이었습니다.

즉, 치아가 뻐드러져서만 생긴 거미스마일이 아니라,
치아 각도,
위턱뼈의 위치,
웃을 때 입술이 움직이는 패턴
이 모두 영향을 주면서 잇몸이 많이 드러나는 케이스였습니다.
이처럼 치아가 수직으로 심하게 내려오거나, 눈에 띄게 뻐드러져 있지 않더라도,
치아의 각도나 골격 위치가 입술 움직임과 만나면서 거미스마일을 만드는 경우가 있습니다.
이 환자분의 경우는 돌출이나 덧니가 두드러진 상황은 아니었기 때문에, 비발치 교정으로 치료하기로 계획을 세웠습니다.
치료 계획: 옥니 각도 교정 + 후방 이동으로 거미스마일 완화
위 앞니를 옆에서 보면 치아 머리보다 뿌리 부분이 더 앞으로 나와 보이는 경우가 있는데,
이를 흔히 **‘옥니’**라고 부르기도 합니다.
이 옥니 형태의 앞니 각도를 정상 범위로 회복시키는 방법 중 하나가,
위 앞니 사이에 교정용 미니스크류를 식립해 위쪽 방향으로 끌어올리는 것(상방 견인) 입니다.

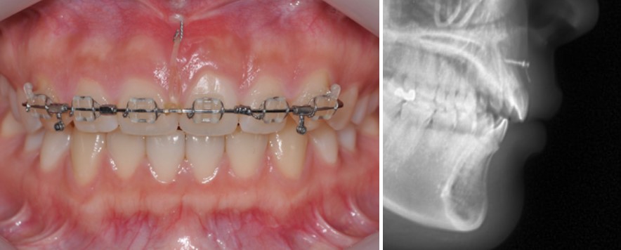
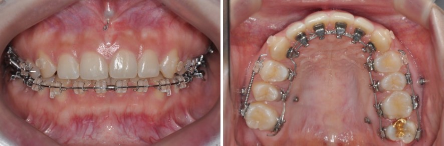
우선 위 앞니 6개에만 교정 장치를 부착하고, 미니스크류를 이용해 치아 각도를 바로잡는 치료를 먼저 진행했습니다.
약 4개월 정도가 지나자, 위 앞니 각도가 보다 정상적인 방향으로 회복되면서 웃을 때 보이는 잇몸량도 점차 줄어들기 시작했습니다.
다만 치아는 보통 뿌리 끝을 중심으로 회전하기 때문에, 예상대로 위앞니가 위로 올라가면서 아래 앞니와의 간격이 벌어지는 현상이 나타났습니다.
이제는 윗니를 뒤로 보내 아래 치아와 교합을 다시 맞추는 단계가 필요해졌습니다.
예쁜 스마일라인을 위해서는 어금니 부분의 상방 이동(위로 끌어올리기)도 함께 고려해야 했습니다.
환자분은 심미적인 이유로 위쪽은 설측교정(안쪽 장치) 을 원하셨기 때문에, 초기 바깥쪽 장치를 제거한 뒤 위쪽에는 설측 장치를 부착하고,
아래 치아에는 윗니와의 교합을 맞추기 위해 일반 교정 장치를 부착했습니다.
효율적인 후방 이동을 위해 치료 중 후반부에는 어금니 부위에 바깥쪽 교정장치를 추가하여 힘을 보다 효과적으로 전달했습니다.
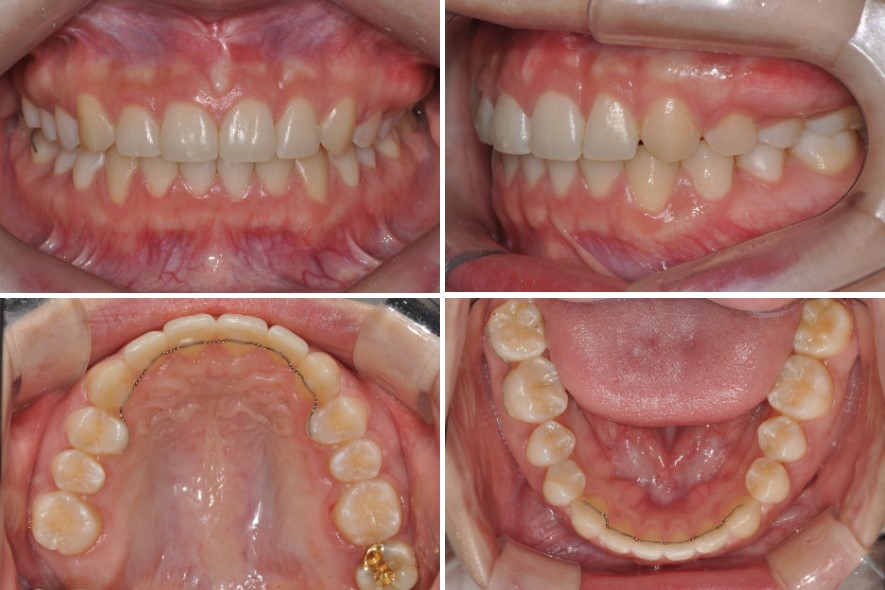
치료 경과와 결과: 비발치로도 가능한 의미 있는 변화
약 1년 11개월에 걸친 교정치료 끝에, 거미스마일 비발치 치료를 마무리했습니다.
먼저 구강 내 모습을 보면, 전체적인 교합이 적절하게 형성되었고,
오른쪽 위 어금니가 없는 공간으로 아래 어금니가 과도하게 올라오지 않도록 고정까지 해 둔 상태였습니다.

위·아래 어금니의 맞물림과 앞니 교합도 기능적으로 안정적인 상태로 정리되었습니다.
얼굴 모습만 놓고 보면, 입술을 다문 상태에서는 치료 전과 비교해 큰 변화는 없었습니다.

원래 입을 다물었을 때 크게 돌출된 인상이 아니었기 때문에, 자연스러운 결과라고 볼 수 있습니다.
하지만 웃는 모습을 비교해 보면 차이가 분명합니다.
아랫입술선과 조화를 이루는 보다 부드러운 스마일라인이 형성되었고,
치아 각도가 적절하게 회복되면서 윗입술이 위로 말려 올라가는 양상에도 변화가 생겨,
웃을 때 보이는 윗입술의 형태와 잇몸 노출이 함께 개선되었습니다.

엑스레이를 통해 치아 이동을 확인해 보면, 윗니 전체가 후방으로 꽤 많이 이동한 것을 볼 수 있습니다.

비발치 치료임에도 후방 이동량이 많았기 때문에, 치료 기간은 다소 긴 편이었지만,
환자분께서 잘 협조해 주신 덕분에 원하는 방향으로 좋은 결과를 얻을 수 있었습니다.
정리: 같은 거미스마일이라도, 치료법은 모두 다를 수 있습니다
이처럼 거미스마일이라는 같은 이름의 진단을 받았더라도,
어떤 경우는 발치 교정이 필요하고,
어떤 경우는 비발치 교정으로 충분히 해결 가능하며,
또 어떤 경우는 잇몸성형·보톡스·수술 등이 함께 고려될 수 있습니다.
핵심은, 원인이 무엇인지 정확히 진단하고, 그에 맞는 치료계획을 세우는 것입니다.
치아 각도, 위치, 위턱뼈의 돌출 정도, 입술의 움직임, 얼굴 비대칭 등 여러 요소를 함께 보고 판단해야 하기 때문에,
단순히 “잇몸이 많이 보이니까 줄여주세요”라는 수준의 접근으로는 한계가 있습니다.
판교치아교정 서울리인치과에서는 거미스마일이 고민이신 분들을 위해,
교정과 전문의가 직접 원인을 정밀하게 분석하고,
발치/비발치, 교정 방식, 필요 시 동반 시술 등을 종합적으로 고려한 맞춤형 치료 계획을 제안해 드리고 있습니다.
거미스마일의 교정적 치료법에 대한 궁금증에 조금이나마 도움이 되었기를 바라며, 다음 포스팅에서도 유익한 내용으로 다시 찾아뵙겠습니다.