서울리인 아카이브
Seoulean Archive
치과 교정과 전문의가 전하는, 치아교정의 바른 이야기
서울리인 아카이브
Seoulean Archive
치과 교정과 전문의가 전하는, 치아교정의 바른 이야기
[치아교정] 분당치아교정 심한 치열 비대칭, 교정치료로 가능할까요? | 서울리인치과교정과의원
2025.11.19얼굴과 치열 비대칭, 교정으로 어느 정도까지 가능할까요?
분당 판교 서울리인교정치과가 치열 비대칭의 원인, 실제 교정 사례, 교정용 스크류를 활용한 비대칭 개선 과정을 통해
수술 없이도 가능한 교정치료 방향을 설명드립니다.
분당 판교 최초, 서울대 출신 교정 전문의 2인 공동대표 교정전문치과
분당치아교정 심한 치열 비대칭, 교정치료로 가능할까요?
오늘은 부정교합 중에서도 상당히 많은 비중을 차지하는 비대칭에 대해 말씀드리려 합니다.
거울을 보거나 셀카를 찍을 때마다 얼굴이 비대칭이라고 느끼시는 분들이 생각보다 많습니다.
사실 아주 대칭적인 얼굴은 거의 없고, 잘 알려진 배우들도 양쪽 얼굴을 따로 보면 비대칭이 있는 경우가 대부분입니다.


이처럼 안면비대칭은 성장기 어린이의 경우 기능성 장치를 통해 턱의 성장 방향을 조절함으로써 일부 개선이 가능합니다.
그러나 성장이 완료된 성인에서 심한 안면비대칭은 뼈 자체의 비대칭에서 비롯되는 경우가 많아, 근본적인 해결을 위해서는 턱수술이 필요한 경우도 적지 않습니다.
그렇다면 치열의 비대칭은 어떨까요?
치열 비대칭은 말 그대로 치아의 중심선이 맞지 않거나, 치열의 좌우 균형이 깨진 상태를 의미합니다.
이는 단순히 보기만의 문제가 아니라 저작 기능과 치아·잇몸 건강에도 영향을 줄 수 있어, 어떤 형태로든 치료를 고려해야 하는 경우가 많습니다.
다행히 치열 비대칭은 대부분 교정치료만으로도 충분히 만족스러운 결과를 얻을 수 있는 경우가 많습니다.
치열 비대칭의 원인
치열 비대칭은 여러 요인이 복합적으로 작용해 나타납니다. 대표적인 원인은 다음과 같습니다.
악습관
편측 저작 습관, 손가락 빨기, 턱 괴기 등은 특정 방향으로만 힘이 반복적으로 가해지면서 치열과 턱의 균형을 무너뜨릴 수 있습니다.
턱뼈의 불균형
선천적인 골격 문제나 외상, 사고 등 후천적인 요인으로 턱뼈의 성장 방향·크기에 차이가 생기면 치열도 함께 비대칭으로 배열될 수 있습니다.
치아 맹출 이상
좌우 치아의 맹출 시기가 6개월 이상 차이 나거나, 비정상적인 위치에 치아가 맹출하는 경우, 한쪽만 먼저 물리거나 치열이 한쪽으로 몰리면서 비대칭이 생길 수 있습니다.
치아 결손
선천적으로 치아가 부족한 경우나 외상·충치 등으로 치아를 잃은 경우, 그 공간으로 치아가 쓰러지거나 이동하면서 치열 비대칭이 심해질 수 있습니다.
실제 사례로 보는 치열 비대칭 교정치료
이제 분당치아교정 실제 사례를 통해, 교정치료로 치열 비대칭이 어떻게 개선될 수 있는지 살펴보겠습니다.

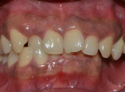
이 환자분은 얼굴 자체의 비대칭도 어느 정도 있었지만, 그보다 치열의 비대칭이 상당히 심한 경우였습니다.
정면에서 입 안을 보면 위아래 치열의 중심선이 맞지 않고, 왼쪽 위 어금니가 전반적으로 아래로 처져 있는 반면, 왼쪽 아래 어금니는 거의 보이지 않을 정도였습니다.
왼쪽 측면 사진에서는 아래 어금니가 위 어금니에 완전히 가려지는 가위교합(위 어금니가 아래 어금니에 비해 바깥쪽에 있어
가위처럼 엇갈려 물리는 상태)이 관찰되었습니다.

교합면(위에서 내려다본 모습)을 보면, 치아 배열이 불규칙할 뿐 아니라
위·아래 치열 모두에서 특히 왼쪽 치열이 심하게 좁아지고 찌그러져 있는 상태임을 확인할 수 있었습니다.
이처럼 심한 비대칭 케이스는 턱수술을 병행하면 더 빠르게 교정할 수도 있지만,
이 사례에서는 교정치료만으로도 충분히 좋은 결과를 얻을 수 있다고 판단하여 비수술 교정으로 계획을 세웠습니다.
치료 과정에서 가장 큰 과제는 전체 왼쪽 어금니 부위가 가위교합 상태인 것을 바로잡는 것이었습니다.
치료 계획과 과정: 교정용 스크류를 활용한 어금니 교합 교정
이 케이스에서는 위·아래 어금니의 위치를 동시에 조정해야 했습니다.
바깥쪽으로 쏠린 위 어금니는 안쪽으로,
안쪽으로 쓰러진 아래 어금니는 바깥쪽으로 세워야 했습니다.

이를 위해 그림과 같은 방식으로 어금니 위에 플라스틱 블럭을 쌓아 교합을 잠시 띄운 상태에서,
교정용 미니스크류의 도움을 받아 치아에 원하는 방향으로 힘을 가했습니다.

미니스크류는 뼈에 고정되는 작은 나사로, 교정에서 힘의 지지점(anchor) 역할을 하며, 특히 이런 비대칭·가위교합 케이스에서 매우 유용하게 사용됩니다.
바깥쪽으로 치우쳐 있던 위 어금니는 안쪽으로 끌어오고,
안쪽으로 숨어 있던 아래 어금니는 바깥으로 세워주는 과정을 반복하면서
좌우 균형을 맞추는 작업을 진행했습니다.
이렇게 까다로운 비대칭 케이스를 치료할 때마다, 교정용 스크류가 있다는 것이 얼마나 다행인지 다시 한 번 느끼게 됩니다.
환자분 역시 치료 내내 잘 협조해 주셔서 치료를 계획대로 진행할 수 있었습니다.
약 2년이 넘는 교정치료 끝에, 치열 비대칭은 눈에 띄게 개선되었습니다.

치료 결과: 중심선과 좌우 교합이 조화롭게
치료 후 정면 입 안 사진을 보면, 위·아래 치열의 중심선이 잘 맞춰져 있고,
좌우 균형이 이전보다 훨씬 안정적으로 형성된 것을 확인할 수 있습니다.
치료 전에는 전체적으로 가위교합이어서 아래 어금니가 전혀 보이지 않던 왼쪽 측면에서도,
이제는 위·아래 어금니가 정상적인 위치 관계로 교합하는 모습을 볼 수 있습니다.
교합면 사진에서도, 특히 심하게 찌그러져 있었던 왼쪽 치열이 고르게 배열되어 있는 것을 확인할 수 있습니다.
단순히 보기 좋게 배열된 것을 넘어, 위·아래 치아가 기능적으로도 잘 맞물리는 이상적인 교합에 가까운 상태로 회복되었습니다.

정리: 치열 비대칭, 교정치료로 충분히 도전해 볼 수 있습니다
이 사례에서 보셨듯이, 치열의 비대칭은 정확한 진단과 꼼꼼한 계획, 그리고 교정용 스크류를 포함한 현대 교정기법을 잘 활용하면
교정치료만으로도 충분히 개선이 가능합니다.
물론, 턱뼈 자체의 심한 비대칭이 동반된 경우에는 수술적 치료가 필요할 수 있지만,
많은 치열 비대칭 케이스는 교정만으로도 기능과 심미, 두 가지 모두에서 의미 있는 변화를 기대할 수 있습니다.
따라서 치열 비대칭으로 고민하고 계시다면, 단순히 “보기 좀 안 예쁜가 보다” 하고 넘기기보다는,
얼굴 전체의 균형과 구강 기능 개선을 위해 교정 전문의의 진단을 받아보시길 권해드립니다.
서울리인교정치과는 교정전문의 2인 공동대표의 교차 진단 시스템으로 더 꼼꼼한 진단과 만족스러운 결과를 약속드립니다.
비대칭 치열로 고민 중이시라면, 한 번 상담을 통해 내 치열 상태와 가능한 치료 방향을 확인해 보세요.