서울리인 아카이브

Seoulean Archive

치과 교정과 전문의가 전하는, 치아교정의 바른 이야기

[치아교정] 분당교정치과 결손치, 임플란트 없이 교정치료로 해결!? | 서울리인치과교정과의원

2025.11.20

본문

선천적으로 치아가 부족한 결손치, 꼭 임플란트를 해야 할까요? 

분당 판교 서울리인교정치과가 성장기 청소년에서 임플란트 없이 교정치료만으로 결손치·개방교합·돌출입을 함께 개선한 실제 사례와, 결손치 교정을 고려할 때의 기준을 자세히 설명드립니다.



747569ca512315b293293d02a0866f62_1763605243_1124.jpg


분당 판교 최초, 서울대 출신 교정 전문의 2인 공동대표 교정전문치과



분당교정치과, 결손치 임플란트 없이 교정치료로 해결!?


안녕하세요, 분당교정치과 서울리인교정치과입니다.
 

오늘은 결손치에 대해 말씀드리려고 합니다. 


치아가 선천적으로 부족한 결손치는 생각보다 많은 분들이 겪는 문제입니다.


특히 어린 나이에 발견되면 “아직 성인도 아닌데 임플란트를 해도 되나요?” 하고 걱정하시는 보호자분들이 많습니다.


그래서 오늘은 임플란트 없이, 교정치료만으로 선천적 결손치를 개선했던 실제 사례를 소개해 드리겠습니다.




결손치란 무엇인가요?

결손치는 있어야 할 영구치가 존재하지 않는 상황을 말합니다. 크게 두 가지 경우로 나눌 수 있습니다.

  • 태어날 때부터 치아 개수가 모자란 선천적 결손

  • 충치, 잇몸병, 외상 등으로 치아를 뽑게 된 후천적 결손


정상적인 영구치 개수는 사랑니를 제외하고 위·아래 각각 14개, 총 28개입니다. 


선천적 결손치는 특정 치아에서 더 자주 나타나고, 가족력이 있는 경우도 있습니다.


주로 다음 부위에서 많이 관찰됩니다.

  • 하악 제2소구치(아래 작은 어금니)

  • 상악 측절치(위 앞니 옆 치아)

  • 하악 제1소구치

  • 상악 제2소구치

  • 하악 측절치


결손치, 꼭 임플란트를 해야 하나요?

결손치가 있을 때 가장 흔히 생각하는 치료 방법은 다음과 같습니다.

  1. 공간을 확보한 뒤, 그 자리에 임플란트 식립

  2. 공간을 확보한 뒤, 양 옆 치아를 많이 삭제하여 브릿지(보철물) 제작

747569ca512315b293293d02a0866f62_1763604888_1668.jpg



 

그리고 세 번째 방법이 바로,

  1. 교정치료를 통해 공간을 닫아주는 방법 입니다.


어떤 방법이 적합한지는

  • 환자의 나이,

  • 얼굴형,

  • 전체 치열 상태,

  • 결손치의 위치와 개수


등에 따라 달라집니다. 하지만 케이스 선별을 잘 하면, 임플란트 없이도 자연스럽게 개선할 수 있는 경우가 분명히 존재합니다. 


오늘 소개할 사례가 바로 그런 경우입니다.



케이스 소개: 만 14세 남아, 선천적 결손치 + 개방교합 + 돌출입

이번 환자분은 만 14세 남학생이었습니다.


진단명

  • 상악 양측 견치

  • 하악 양측 중절치의 선천적 결손

  • 전치부 개방교합

  • 골격성 2급 부정교합


문제점

  • 4개 치아의 선천적 결손

  • 앞니가 잘 닿지 않는 전치부 개방교합

  • 돌출입

  • 상악 좌측 측절치(앞니 옆 치아)의 왜소치


747569ca512315b293293d02a0866f62_1763604888_1991.jpg


이미 보완해야 할 요소가 상당히 많은, 복합적인 케이스였습니다.



치료 계획과 과정

치료 계획의 핵심은 다음과 같았습니다.

  • 결손 부위 공간을 임플란트 없이 교정치료로 닫기

  • 전체 치열을 조화롭게 배열하여 기능과 심미를 동시에 개선하기


치료 과정은 다음 순서로 진행되었습니다.

  1. 상·하악 교정장치 부착

  2. 더 이상 역할을 하지 못하는 잔존 유치 3개 발치

  3. 선천적 결손치 4부위의 공간을 닫기 위한 치아이동 진행

  4. 전치부 개방교합과 돌출입을 동시에 개선


전체 치료 기간은 약 2년 정도 소요되었습니다.



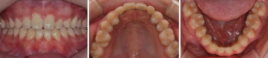
치료 결과

  • 결손 부위 공간이 완전히 폐쇄되었습니다.

  • 임플란트나 브릿지 없이도 자연스럽고 균형 잡힌 치열로 정리되었습니다.

  • 전치부 개방교합이 개선되면서 앞니로 음식물을 자르는 기능이 좋아졌습니다.

  • 돌출입도 함께 완화되어 옆모습 인상 역시 부드럽게 변했습니다.


747569ca512315b293293d02a0866f62_1763604888_2302.jpg


보호자와 환자 모두 치료 결과에 매우 만족하셨습니다.



옆모습 변화도 함께 볼까요?


747569ca512315b293293d02a0866f62_1763604888_2621.jpg



치료 전후의 옆모습을 비교해 보면, 돌출되었던 입매가 보다 자연스럽게 정리되면서 코, 입술, 턱끝의 조화가 좋아진 모습을 확인할 수 있습니다. 


단순히 “결손치 공간만 메운 것”이 아니라,

  • 돌출입,

  • 전치부 개방교합,

  • 왜소치로 인한 비율 문제까지

여러 요소가 함께 개선되면서 얼굴 전체의 균형감이 좋아졌습니다.


전치부 개방교합과 돌출입에 대한 기본 개념이 궁금하신 분들은, 관련 포스팅(개방교합, 돌출입 교정)에 대한 글을 함께 참고해 보시면 좋습니다.



개방교합 : 개방교합, 치아교정으로 기능과 심미 동시에 개선!? 


돌출입 교정 : 돌출입 원인과 교정 치료 접근 방법 



임플란트 없이 가능했던 이유는?

이 케이스에서 임플란트를 하지 않고도 치료가 가능했던 이유는 다음과 같습니다.

  • 환자가 아직 성장이 완전히 끝나지 않은 청소년기였고

  • 정밀진단 결과,

    • 돌출입과 개방교합을 동시에 개선하기 위해

    • 결손 부위 공간을 임플란트로 채우기보다는

    • 교정으로 공간을 닫는 것이 골격·치열 구조상 더 유리한 상황이었기 때문입니다.


즉, “어차피 치아가 부족하니 임플란트부터”가 아니라,

성장 단계와 치열 구조, 앞으로 개선해야 할 문제들을 함께 고려했을 때,교정으로 공간을 닫는 쪽이 더 합리적인 선택이었던 것입니다.

보호자분의 후기도 인상적이었습니다.

“어릴 때부터 걱정했는데, 교정치료만으로 이렇게 예뻐질 줄 몰랐어요. 무엇보다도 임플란트가 필요 없다는 게 가장 큰 장점이었어요.”



결손치 교정치료, 이런 분들께 추천드립니다

다음과 같은 경우라면, 한 번쯤 결손치 교정 가능성을 상담 받아보시는 것이 좋습니다.

  • 어린 자녀에서 선천적 결손치가 발견된 경우

  • 아직 성장기라 임플란트 시기를 고민하고 계신 경우

  • 임플란트나 브릿지 같은 보철치료를 최소화하고 싶은 경우

  • 덧니, 돌출입, 개방교합 등 다른 교정적 문제도 함께 가지고 있는 경우


결손치가 있다고 해서 무조건 임플란트를 해야 하는 것은 아닙니다.

정밀검사와 꼼꼼한 진단을 통해, 아이의 성장 단계와 전체 치열 구조를 잘 고려하여 케이스만 잘 선별하면, 

교정치료만으로도 충분히 자연스럽고 예쁜 치열을 만들 수 있는 경우가 분명히 있습니다.


마무리: 결손치 교정, 전문의와 함께 계획하세요

분당교정치과 결손치 교정 상담은 교정과 전문의와 함께 진행하시는 것을 권유드립니다.



분당교정치과 서울리인교정치과는

아이부터 성인까지, 교정전문의 2인 공동대표의 교차 진료 시스템으로 더 꼼꼼한 진단과 안정적인 치료 결과를 위해 노력하고 있습니다.

자녀 또는 본인의 결손치 때문에 고민 중이시라면,“임플란트밖에 답이 없다”라고 단정짓기 전에,교정으로 가능한 선택지부터 함께 확인해 보시길 바랍니다.