서울리인 아카이브
Seoulean Archive
치과 교정과 전문의가 전하는, 치아교정의 바른 이야기
서울리인 아카이브
Seoulean Archive
치과 교정과 전문의가 전하는, 치아교정의 바른 이야기
[치아교정] 분당교정치과 치간삭제, 괜찮은 건가요? (Part 1) | 서울리인치과교정과의원
2025.11.18치간삭제는 치아 사이를 미세하게 다듬어 공간을 만드는 교정 술식입니다.
분당 판교 서울리인치과교정과의원이 치간삭제가 필요한 이유(공간 부족, 치아 크기 비율, 블랙 트라이앵글, 접촉면 개선)를 실제 사례와 함께 설명드립니다.

분당교정치과 치간삭제, 괜찮은 건가요? – Part 1
분당 판교 최초, 서울대 출신 교정과 전문의 2인이 함께 진료하는 서울리인치과교정과의원입니다.
오늘은 교정치료에서 꽤 자주 사용되는 술식인 “치간삭제(Interproximal Reduction, IPR)” 에 대해 이야기해 보려고 합니다.
많은 분들이 치간삭제라는 말을 처음 들으시면,
“치아를 갈아낸다는데… 시리진 않을까?”
“충치가 잘 생기지는 않을까?”
하는 걱정부터 떠올리시는데요,
치간삭제란 무엇인가요?
말 그대로 치아와 치아 사이(치간)를 아주 미세하게 다듬는 술식입니다.
보통 발치를 하지 않고(비발치 교정) 치아를 가지런히 배열할 때
부족한 공간을 만들어 주기 위해 많이 사용됩니다.
치과 입장에서는 비교적 일상적으로 사용하는 기본 술식이지만, 처음 듣는 환자분 입장에서는 낯설고 걱정되는 것이 너무 자연스러운 반응입니다.
그래서 “언제, 왜, 어떻게 쓰는지”를 이해하시면 치간삭제에 대한 불안감이 훨씬 줄어드실 거예요.
왜 치간삭제가 필요할까요?
발치 없이도 부족한 공간을 만들어 주기 위해
치아가 삐뚤삐뚤하게 겹쳐 있거나
서로 비틀려 있는 경우가 많은데,
이런 치아들을 일렬로 가지런히 맞추려면 공간이 필요합니다.
그런데,
공간이 너무 부족해서 발치가 필요한 경우도 있지만,
발치를 하면 오히려 입이 너무 많이 들어가 심미적으로 좋지 않을 수 있는 경우도 있습니다.
그래서 치아의 좌우 폭을 아주 조금씩 줄여 전체 치열이 안쪽으로 잘 정리될 수 있는 공간을 만들어 주는 방법dl 바로 치간삭제입니다.
실제 치료에서는 치간삭제를 적절히 활용해
치아는 가지런해지면서도
입술 돌출감이 과하게 생기지 않도록 계획을 세우게 됩니다.

위·아래 치아 크기 비율을 맞추기 위해
위턱과 아래턱의 치아 크기 비율이 맞지 않는 경우에도 교합 형성이 어려울 수 있습니다.
예를 들어,
윗니 중 작은 앞니(측절치)가 유난히 작은 경우,
이런 경우:
실제 예를 들면,


즉, 어떤 경우는 보철 + 교정, 어떤 경우는 치간삭제 + 교정만으로도 해결이 가능하며,
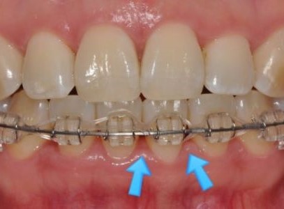
치간공극(블랙 트라이앵글)을 줄이기 위해
또 하나 중요한 이유는 바로 치간공극(Black Triangle, 블랙 트라이앵글) 문제입니다.
치간공극이란
치아와 치아 사이를 채워야 할 잇몸(유두)이 위로 올라가거나 줄어들면서
치아 사이가 검게 비어 보이는 삼각형 모양의 공간을 말합니다.

요즘은 “블랙 트라이앵글”이라는 용어를 알고 직접 검색해서 오시는 분들도 많습니다.
기능적인 문제보다는 심미적인 문제가 더 큰 경우가 많고,
보철적으로 메꿀 수도 있지만,

예를 들어,
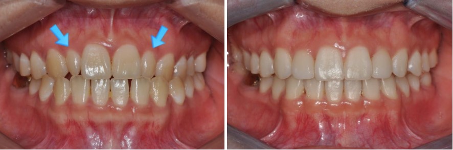
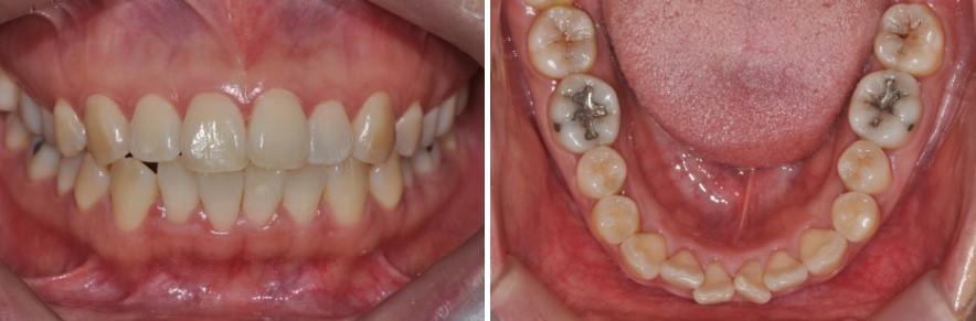
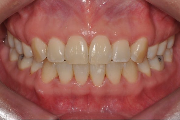
돌출과 치아 배열 때문에 내원하신 30대 여성 환자분의 경우,


이때 치간삭제를 시행하고 공간을 다시 닫아 주면서
블랙 트라이앵글이 완전히 사라지지는 않더라도
눈에 띄게 크기가 줄고, 치아 사이가 더 긴밀하게 붙어 보이는 효과를 얻을 수 있습니다.

울퉁불퉁한 접촉면을 매끈하게 만들어 안정성을 높이기 위해
교정 전 치아를 자세히 보면, 서로 닿는 면(인접면)이 울퉁불퉁한 경우가 적지 않습니다.
이 경우,
정면에서 보았을 때 치아가 촘촘하게 붙어 있는 느낌이 부족할 수 있습니다.
이럴 때,
인접면을 치간삭제로 살짝 다듬어 매끈하게 만들어 주면

실제 환자 케이스로 보는 치간삭제 활용
정리해 보면 치간삭제는 다음과 같은 상황에서 특히 유용합니다.
비발치 교정에서 부족한 공간을 확보하고 싶을 때
위·아래 치아 크기 비율을 맞춰 교합을 안정적으로 형성하고 싶을 때
치간공극(블랙 트라이앵글)을 줄이고 심미성을 높이고 싶을 때
울퉁불퉁한 접촉면을 매끈하게 정리해 안정성을 높이고 싶을 때
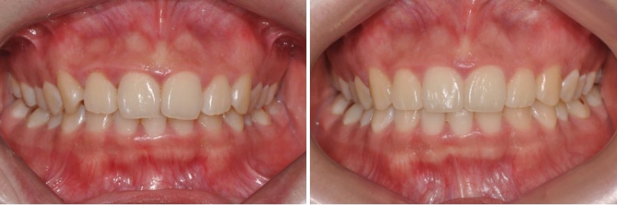
위에서 소개해 드린 사례들처럼, 교정치료 과정에서 치간삭제를 적절히 사용하면
발치 없이도 치열을 정리할 수 있고,
그렇다면 치간삭제, 안전성은 괜찮을까요? (Part 2 예고)
이쯤 되면 가장 궁금하신 점이 바로 이 부분일 것 같습니다.
“치아를 깎는다는데, 시림은 없나요?”
“에나멜을 줄이면 충치가 더 잘 생기지 않나요?”
“치아가 약해지는 건 아닐까요?”
다음 글인 Part 2에서는,
치간삭제의 안전성
시림, 충치, 치아 약해짐에 대한 오해와 진실
실제로 치간삭제를 얼마나, 어떻게 하는지
를 좀 더 자세히 풀어서 설명드리겠습니다.
✅ 다음 글
**「분당교정치과 치간삭제, 괜찮은 건가요? – Part 2」**에서는치간삭제 후 시림, 충치, 치아 약해짐 등에 대한 안전성·부작용 이야기를 자세히 다루겠습니다.
✅ 상담 안내나에게 치간삭제가 꼭 필요한지, 발치/비발치 중 어떤 방향이 맞는지 궁금하시다면분당 판교 서울리인치과교정과의원 교정과 전문의 2인과 상담해 보시길 권해드립니다.