서울리인 아카이브
Seoulean Archive
치과 교정과 전문의가 전하는, 치아교정의 바른 이야기
서울리인 아카이브
Seoulean Archive
치과 교정과 전문의가 전하는, 치아교정의 바른 이야기
[치아교정] 치아결손·치아파절·쓰러진 어금니·덧니까지 한 번에 해결하기
2025.11.15골격성 2급 부정교합, 파절된 치아, 치아 결손으로 인한 대구치 전방이동, 설측경사된 하악 소구치와 이로 인한 대구치의 전방경사, 높은 견치 등 복합적인 문제를 가진 환자를
미니스크류 후방이동·브라켓 부착 준비·치간삭제를 통해 안정적 교합으로 완성한 판교교정치과의 실제 증례입니다.
안녕하세요, 서울리인치과입니다.
오늘은 조금은 복잡해보이는 증례를 함께 볼까 합니다.
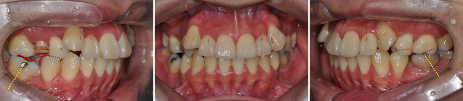
복잡도가 높았던 초진상태
이번 환자분은 처음 내원하셨을 때부터 여러 치아 문제들이 동시에 존재하는 케이스였습니다.
단순 배열 문제가 아니라, 치아 결손·치아 경사·대구치 전방이동· 송곳니 덧니·치아 파절·충치 다수·심미적 문제가 한꺼번에 얽혀 있었죠.
✔ 초진 특징 요약
• 골격성 2급 부정교합
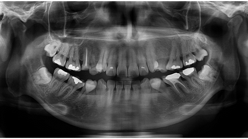
• 상악 우측 제2소구치 : 신경치료 후 크라운 수복을 미루다가 치아 파절
• 상악 좌측 제2소구치 결손 → 좌측 상악 대구치들의 전방이동
• 상악 양측 견치 공간 부족 → 높은 위치(High Canine)
• 하악 제2소구치 양측 모두 심한 설측경사
→ 그 공간으로 제1대구치가 전방 쓰러져 제2소구치의 공간이 거의 없는 상태
• 구강 내 충치 및 수복 필요 치아 다수
• 상악 전치부 순면 변연융선이 과도하게 발달 → 심미적 문제 + 브라켓 부착 어려움
치료 전에 어디부터 손대야 할지 정확한 구조 분석이 필수인 케이스였습니다.



치료 계획 — ‘정리’를 먼저 한다
이런 복합 케이스는 치료 순서를 잘못 잡으면 전체 치료 기간이 길어지고, 치아 이동의 효율성도 떨어집니다.
따라서 이 케이스의 핵심은 1) 브라켓 부착 환경 정리 → 2) 공간 및 축 회복 → 3) 후방이동 및 배열 완료의 흐름으로 진행되었습니다.
⸻
① 상악 전치부 순면 다듬기 — 브라켓 부착 준비
상악 전치부의 순면에 변연융선이 과하게 발달해 있어 심미적 문제는 물론, 브라켓을 정확한 토크·높이로 부착하기가 어려웠습니다.
따라서 **에나멜 성형(enameloplasty)**을 진행해 평탄한 부착면을 확보했습니다.
⸻
② 발치 결정 — 파절된 치아를 대신 발치
원래는2급 부정교합에서 발치 교정 시 상악 제1소구치를 발치하는 것이 일반적입니다.
하지만 이 케이스에서는 제2소구치가 치관이 파절된 상태였기 때문에
상태가 더 불량한 제2소구치를 치료적 발치로 대체했습니다.
⸻
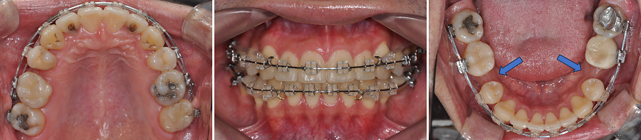
③ 미니스크류 기반 후방이동 — 이 케이스의 핵심 단계
● 상악 좌측 구치부
상악 좌측 제2소구치 결손으로 인해 전방으로 이동해 있던 대구치를 원래 자리로 후방 이동해야 견치와 전치부 공간이 회복됩니다.
대구치를 후방이동 시키기 위해 미니스크류를 식립해 안정적인 고정원으로 삼았습니다.
(교정용 미니스크류에 대한 설명은 아래 포스팅을 참고해주세요)
● 하악 양측 구치부
특히 하악은 핵심 포인트가 있습니다.
• 제2소구치가 심하게 설측 경사
• 그 공간으로 대구치가 전방으로 쓰러져 있음(tipping)
• 일반적으로 미니스크류를 가장 많이 식립하는 위치인 interradicular(치근 사이) 스크류 식립보다는
특별하게 **retromolar pad(하악 구치 후방 부위)**에 미니스크류를 식립했습니다.
이 부위에 스크류를 심으면 후방 견인과 치아의 직립에 매우 효율적입니다.


④ 상악 중절치 사이 치간삭제(IPR)
상악 중절치 인접면 형태가 비대칭·불규칙하여,
• 배열 안정성
• 접촉면 형성
• black triangle 예방
을 위해 **미세 치간삭제(IPR)**를 정밀하게 수행했습니다.

(치간삭제에 대한 설명은 아래 포스팅을 참고해주세요)
https://blog.naver.com/seouleanortho3/223867552508
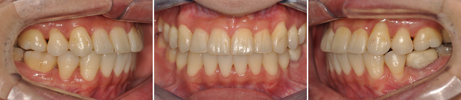
치료 결과 — 교합과 배열이 동시에 개선됨
높은 위치에 있던 상악 양측 견치가 제자리로 배열
✔ 하악 대구치 후방이동 + 직립 완료
전방으로 쓰러져 있던 하악 제1대구치가 완전히 직립되고 후방으로 이동한 덕분에,
이후 보철(크라운) 제작 시 치근 방향과 일치하는 형태로 제작 가능해졌습니다.
쓰러진 치아가 계속 교합압을 받는 경우 치아에 좋지 않은 영향을 줄 수 있으므로, 이러한 치아의 직립은 큰 의미가 있습니다.
✔ 상악 우측 제2소구치 발치공간 폐쇄와 상악 좌측 구치 후방이동을 통한 구치 관계 안정화
전반적인 치열의 흐름이 정상궤도로 회복되었습니다.
환자분의 일정에 맞추어 치료를 종료하다보니, 정중선을 완벽히 맞추지 못한 점이 아쉽습니다.



이 케이스는 단순한 배열 문제가 아니라
• 결손치로 인한 대구치 전방이동
• 설측경사 소구치
• 파절치 존재
• 덧니(높은 견치)
• 전치부 인접면 문제
• 다수의 수복 필요 치아
라는 여러 복합 문제가 동시에 존재한 교정 증례였습니다.
하지만 정확한 진단과
• 치아면 조정
• 스크류 기반 후방 이동
• 특수 위치(retromolar pad) 미니스크류 활용
• IPR
• 치료적 발치
를 체계적으로 조합해
기능적·심미적으로 안정적인 교합을 완성할 수 있었습니다.

복잡한 치열 문제도 정확한 진단과 올바른 치료 계획이 더해지면 충분히 개선할 수 있습니다.
방치할수록 교정 난이도와 치료 기간은 길어질 수 있으니, 지금 상태가 궁금하시다면 전문적인 평가를 받아보시는 것을 권합니다.
환자분의 치열·교합·치아이동 가능성을 세밀하게 분석한 뒤, 가장 현실적이면서도 효과적인 교정 솔루션을 안내드립니다.