서울리인 아카이브
Seoulean Archive
치과 교정과 전문의가 전하는, 치아교정의 바른 이야기
서울리인 아카이브
Seoulean Archive
치과 교정과 전문의가 전하는, 치아교정의 바른 이야기
[치아교정] 교정 발치 필수인가요? 발치의 기준은
2025.11.16
교정 발치 필수인가요? 발치의 기준은
안녕하세요.
판교역 도보 3분 거리에 위치한 서울리인교정치과입니다.
오늘은 교정 하실 때 많이 물어보시는 질문 중 하나인 교정 발치가 꼭 필요한 것인지에 대해서 풀어보려고 해요.

영구치를 뽑는다는 것은 어린 시절 이가 흔들려서 발치하는 것과는 또 다른 공포이기에, 환자분들 대부분은 되도록 발치를 피하고 싶어하세요.
다행히 교정 치료를 진행할 때 모든 경우에 발치가 필요한 것은 아니예요. 오히려 영구치는 한 번 뽑으면 다시 나지 않기에 제거하는 것에 신중할 필요가 있어요.
하지만 원하는 결과 값을 위해서 발치가 불가피한 케이스도 존재하는데요.
어떤 경우에 발치가 필요한 것일까요? 이에 대해 더 자세히 알아보도록 할게요.
교정 발치 케이스

발치를 하는 궁극적인 이유는 입안 공간을 마련하기 위함이에요.
공간을 마련하기 위한 방법은 치간삭제나 악궁확장장치를 이용하는 방법도 있지만,
두 방법 모두 부적절하다고 판단되거나 많은 공간을 필요로 할 때 발치를 진행하게 되는데요.
주로 다음과 같은 케이스에 발치를 진행합니다.
첫번째로 입안의 공간이 부족하여 치아들이 서로 심하게 겹쳐있는 케이스입니다.
겹쳐있는 치아를 고르게 펼쳐주기 위해서는 어느정도 공간이 마련되어야 하는데요.
심하지 않다면 치간 삭제를 진행할 수 있겠지만 치간삭제로 충분한 공간이 마련되지 않는다고 판단된다면 발치를 진행할 수 있습니다.
치아가 앞으로 과하게 돌출되어있는 경우에도 발치를 진행할 수 있는데요.
발치 후 전치부를 후방으로 이동시켜 돌출감을 감소시킬 수 있습니다.
유치가 탈락되지 않아서 영구치가 매복되어있는 경우도 있는데요. 이때는 유치의 제거가 필요하기 때문에 발치를 진행할 수 있습니다.
상하악의 중심선이 틀어진 경우 비대칭을 유발할 수 있으며 부정교합으로 치아의 기능을 저하시키는 경우가 많습니다. 더불어 심미성까지 해치기 때문에 중심선이 맞지 않을 때 발치하여 중심선을 맞춰주기도 합니다.
다음으로는 본원에서 발치 교정으로 돌출입 증상을 개선한 사례를 소개해 드릴게요.


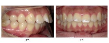
위 환자분께서는 앞니가 돌출되어 고민이라고하시며 본원에 내원해주셨는데요.
측면 사진을 보시면 앞니가 앞으로 튀어나온 것을 확인할 수 있습니다.
이는 입안 공간이 부족해서 생기는 현상이므로 충분한 공간을 마련해주기 위해서 발치를 진행했습니다.

소구치(작은 어금니) 발치 후 클리피씨 장치를 연결하여 앞니부터 송곳니까지의 전치부를 후방으로 이동시켜주었습니다.
위 사진은 치료가 마무리 되어 장치를 제거한 모습인데요.
돌출감이 해소됨과 동시에 틀어진 중심선도 개선되었으며 치열이 가지런해진 것을 확인할 수 있습니다.


발치를 진행하기 전, 환자분들께서 긴장을 하고 오실 때가 많은데요.
마취 후에 진행되는 것이기 때문에 크게 걱정하지 않으셔도 괜찮아요. 시간도 얼마 걸리지 않구요.
걱정을 많이 하고 오셔도 발치 후에는 생각보다 하나도 안 아팠다고 말씀해주시는 경우가 대부분이니 마음 편히 먹고 오셔도 괜찮답니다.


앞서 말씀드린 것과 같이 발치는 필요할 때도 있고 굳이 필요하지 않은 경우도 있어요.
증상에 따라서도 발치의 유무가 달라지겠지만, 의료진이 진단을 어떻게 내리느냐에 따라서도 달라질 수 있는데요.
상황에 따라 발치를 진행하는 것이 좋은 선택일 수도 있고, 반대로 발치를 하지 않는 것이 좋은 선택일 수도 있어서 정확한 진단을 내리는 것이 중요해요.
본원에서는 서울대 출신의 교정과 전문의 2인의 교차 협진을 통해 환자분의 상태를 함께 체크 하기에 더욱 신뢰해 보실 수 있어요.
3D CT와 같은 디지털 장비로 꼼꼼하게 진단하고 미성년자의 경우 성장 예측 프로그램을 사용하여 치료 계획을 세우고 있답니다.
따라서 치열의 문제 때문에 교정을 고민하고 계시다면 본원에 내원하셔서 상담 받아보시기 바랍니다.
감사합니다.