서울리인 아카이브
Seoulean Archive
치과 교정과 전문의가 전하는, 치아교정의 바른 이야기
서울리인 아카이브
Seoulean Archive
치과 교정과 전문의가 전하는, 치아교정의 바른 이야기
[치아교정] 분당 판교 교정치과 / 골격성 3급 비수술 절충교정 케이스
2026.01.27
양악수술을 권유받았던 20세 여성 골격성 3급 부정교합 환자.
발치 교정과 미니스크류를 이용한 비수술 절충교정으로 기능과 심미를 개선한 실제 치료 사례를 소개합니다.

양악수술을 꼭 해야 한다고 들으셨나요?
내원 당시 주소 (Chief Complaint)
덧니(총생)
전치부 및 구치부 반대교합
웃거나 말할 때 드러나는 치열 불균형
기능 회복을 우선으로 한 치료 희망
비수술 교정 치료에 대한 강한 의지
초진 시 진단 소견
환자는 20세 여성으로, 다음과 같은 특징을 보였습니다.
골격성 3급 부정교합
안면 비대칭
양측 3급 구치관계
전치부 및 구치부 반대교합
총생(Crowding)
상·하악 중심선 불일치


정밀 검사 및 치료 계획
골격적 한계는 존재하나
이에 따라 수술 없이 교정 치료를 계획하였습니다.
치료 계획 요약
반대교합 개선 및 전치부 배열
중심선 교정 및 교합 안정성 확보
미니스크류를 활용한 절충적 치아이동으로 안모 균형 고려
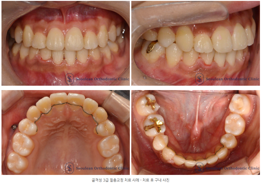
치료 결과 (Treatment Outcome)
약 2년간의 교정 치료 후 다음과 같은 변화를 확인할 수 있었습니다.
전치부 및 구치부 반대교합 해소
총생 개선 및 치열 정렬
중심선 불일치 개선
기능적으로 안정된 교합 형성
수술 없이도 자연스러운 안모 변화

골격성 3급 부정교합, 치료 선택의 기준은 다릅니다
환자의 연령과 성장 상태
골격과 치아의 보상 가능성
기능과 심미의 균형
환자의 치료 가치관과 기대치

#골격성3급부정교합 #양악수술없이교정 #비수술교정 #절충교정 #반대교합교정 #발치교정 #성인교정 #교정치료사례 #분당교정치과 #판교교정치과 #미금역교정치과 #교정전문의 #서울리인치과