서울리인 아카이브
Seoulean Archive
치과 교정과 전문의가 전하는, 치아교정의 바른 이야기
서울리인 아카이브
Seoulean Archive
치과 교정과 전문의가 전하는, 치아교정의 바른 이야기
[치아교정] 분당치아교정 앞니 부분교정, 가능하지만 최선은 아닐 때 (Part 3) | 서울리인치과교정과의원
2025.11.17앞니 부분교정이 가능은 하지만, 장기적으로는 최선이 아닐 수 있습니다.
분당 판교 서울리인치과교정과의원이 실제 증례를 통해 부분교정의 한계와 전체교정을 고려해야 하는 경우를 설명드립니다.
분당치아교정 앞니 부분교정, 가능하지만 최선은 아닐 때 – Part 3

앞선 포스팅들에서 저희는
앞니 부분교정이 가능한 경우(Part 1)
실제로 앞니 부분교정을 통해 좋은 결과를 얻은 케이스들(Part 2)
을 소개해 드렸습니다.
이번 글에서는 조금 다른 관점에서,
“부분교정이 가능은 하지만, 장기적으로 봤을 때 최선의 방법은 아닐 수 있는 경우”
에 대해 실제 증례를 통해 말씀드리려고 합니다.
앞니 부분교정, ‘가능하다’와 ‘권장할 수 있다’는 다른 이야기입니다
먼저 짚고 넘어가야 할 점이 있습니다.
부분교정이 기술적으로 가능하다는 것과
환자분께 자신 있게 권장할 수 있는 최선의 방법인지는
항상 같은 뜻이 아닙니다.
오늘 보여드릴 케이스들은
“지금 당장 보기에는 나아 보이지만,
에 해당합니다.
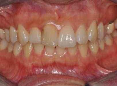
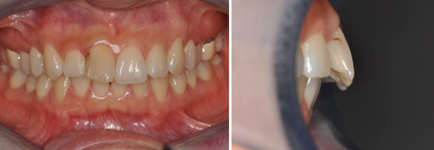
케이스 1. 정면에서는 앞니만 삐뚤어 보이지만, 옆모습과 교합을 보면?

하지만 옆에서 치아와 얼굴 측면을 함께 보면,
위 앞니가 전체적으로 앞으로 많이 나와 있는 상태(돌출) 이고
오른쪽과 왼쪽의 치아 맞물리는 위치도 서로 다릅니다.
양쪽 모두에서 윗니가 전반적으로 앞으로 나와 있는 교합입니다.

이런 경우, 단순히 윗니만 부분교정을 하게 되면,
위·아래 앞니 사이의 앞뒤 간격이 더 벌어질 수 있고,
그로 인해 기능적인 문제(저작, 발음, 교합 안정성 등)가 생길 수 있으며,

사진상으로는
앞니 배열이 가지런해지고
정면에서 보았을 때 인상이 더 단정해진 것처럼 보일 수 있습니다.
그러나 의료진의 입장에서는,
“당장은 보기 좋을 수 있지만,장기적인 안정성과 교합 기능 측면에서는 염려되는 부분이 남아 있다”
라고 평가할 수밖에 없는 케이스입니다.
케이스 2. 수직·수평 문제는 부분교정만으로 한계가 있는 경우

이 케이스에서도
위 앞니와 아래 치아 사이의 수평적 거리(앞뒤 간격) 는 먼 편이었지만,
치아 배열 자체를 방해하는 치아는 크게 없었습니다.
다만, 앞선 케이스와 마찬가지로 앞니가 깊게 물리는 상태(Deepbite) 였습니다.
이때 중요한 점은,
깊게 물리거나, 아주 얕게 물리는 등 수직적인 문제,위·아래 앞니 사이의 간격이 너무 멀거나 반대로 거꾸로 물리는 수평적인 문제는앞니 부분교정만으로 해결하는 데 분명한 한계가 있다는 것입니다.
이 환자분도 윗니 부분교정을 통해
배열은 훨씬 가지런해졌고,
정면에서 보이는 심미성은 개선되었습니다.

하지만 치료 후에도
수직적인 Deepbite 문제와
수평적인 거리 문제는 크게 개선되지 않았습니다.
결국, 이 케이스 또한
“부분교정으로 배열은 예뻐졌지만,장기적인 안정성과 교합 측면에서 아쉬움이 남는 경우”
라고 할 수 있습니다.
부분교정이 ‘최선’이 아닐 수 있는 대표적인 상황들
앞니가 깊게 물리거나(Deepbite), 지나치게 떠 있는 경우(Openbite)
위·아래 앞니 사이의 앞뒤 간격이 너무 멀거나, 반대로 거꾸로 물리는 경우
좌우 교합이 서로 다르게 맞물리는 등 교합 불균형이 큰 경우
이런 상황에서는
앞니 배열만 정리하는 부분교정보다는
중요한 것은 “내 교합에서의 최선”을 찾는 것
정리하자면,
앞니 부분교정은 경우에 따라 정말 좋은 치료 방법이 될 수도 있고,
반대로 가능하지만 최선은 아닐 수 있는 치료가 되기도 합니다.
따라서, “나는 앞니만 살짝 하고 싶은데, 이게 정말 내 교합에 맞는 선택일까?” 라는 고민이 있으시다면,
단순히 치아 배열 겉모양만 보지 말고,
분당치아교정 서울리인치과교정과의원에서는
치과교정과 전문의 2인이 직접 진단하고,
“내 교합에서 부분교정이 정말 잘 맞는 선택인지, 아니면 전체적인 교정이 더 나은지”혼자 고민하지 마시고 전문의와 함께 상의해 보시기를 권해드립니다.