서울리인 아카이브

Seoulean Archive

치과 교정과 전문의가 전하는, 치아교정의 바른 이야기

[치아교정] 분당교정치과 웃을 때 잇몸이 너무 많이 보여요 | 서울리인치과교정과의원

2025.11.18

본문

분당·판교에서 웃을 때 잇몸이 많이 보여 고민이신가요? 

서울리인치과교정과의원이 거미스마일(잇몸 웃음)의 원인별 유형과 교정치료를 통한 개선 방법, 실제 증례를 통해 해결 방향을 자세히 설명드립니다.



17d3464fbe306615f4c0872950d20c05_1763460989_7822.jpg



분당교정치과 웃을 때 잇몸이 너무 많이 보여요

분당 판교 최초, 서울대 출신 교정전문의 2인 공동대표 교정전문치과, 서울리인치과교정과의원입니다. 


사람이 웃거나 말할 때 윗니와 잇몸이 적당히 보이면 참 매력적인 미소가 됩니다. 


교정의사가 생각하는 ‘아름다운 미소’의 기준 중 하나도 바로 이 부분입니다. 


그런데 잇몸이 너무 많이 보여서 마음껏 웃지 못하고, 사진 찍을 때도 항상 입을 가리게 되는 분들이 적지 않습니다.


17d3464fbe306615f4c0872950d20c05_1763458550_5792.jpg

 

치과에서는 이런 모습을 거미스마일(Gummy Smile)이라고 부릅니다. 



17d3464fbe306615f4c0872950d20c05_1763458550_6078.jpg



여기서 ‘Gum’은 잇몸을 뜻하는 영어 단어입니다.


 거미처럼 생겨서 붙은 이름은 아니고, 웃을 때 잇몸이 많이 보이는 웃음을 일컫는 치과용 용어라고 이해하시면 됩니다.




거미스마일(잇몸 웃음), 원인에 따라 치료가 달라집니다


거미스마일이라고 해서 모두 같은 유형은 아닙니다. 



잇몸이 많이 보이는 원인이 무엇인지에 따라 치료 방법과 치료 계획이 완전히 달라질 수 있습니다.


 그래서 먼저 정확한 원인 파악이 무엇보다 중요합니다.



잇몸이 치아를 너무 많이 덮고 있는 경우라면, 치아가 실제보다 짧아 보이면서 웃을 때 잇몸이 더 강조됩니다. 


이런 경우에는 잇몸을 다듬어 치아 길이를 드러내는 잇몸성형이 도움이 될 수 있습니다.


17d3464fbe306615f4c0872950d20c05_1763458550_6349.jpg




웃을 때 사용되는 근육이 지나치게 과활성화된 경우도 있습니다. 윗입술을 위로 당기는 힘이 너무  강하면 웃을 때 입술이 많이 올라가면서 잇몸이 넓게 드러나게 됩니다. 


이럴 때는 해당 근육에 보톡스를 주기적으로 주입해 입술이 과하게 올라가는 것을 완화시키는 방법을 고려할 수 있습니다.



17d3464fbe306615f4c0872950d20c05_1763458550_6626.jpg





인중이 선천적으로 짧은 경우에도 거미스마일이 나타날 수 있습니다. 이때는 웃을 때뿐 아니라 입술에 힘을 빼고 있어도 윗입술이 약간 들려 보일 수 있습니다. 


안타깝지만 인중 길이를 늘리는 간단하고 예측 가능한 방법은 현재로서는 많지 않습니다.




상악 발달과 치조골 돌출이 원인인 경우, 교정치료로 접근합니다


거미스마일의 원인이 상악(위턱) 발달, 치아 또는 치조골의 돌출이라면 치아교정을 통해 효과적으로 개선을 기대할 수 있습니다. 


이때도 상악골과 치아의 상태에 따라 세부적인 치료 계획이 달라집니다.


상악골이나 치아가 수직 방향으로 과도하게 성장한 경우라면, 위쪽 앞니를 위쪽으로 끌어올리는 방향의 수직적인 이동이 필요합니다. 


반대로 치아나 치조골의 수직 위치는 적절하지만, 전체적으로 앞으로 돌출되어 있어 웃을 때 잇몸이 많이 보이는 경우에는, 


돌출된 앞니를 뒤쪽으로 이동시키는 후방 이동만으로도 거미스마일이 상당 부분 해소될 수 있습니다.




이처럼 원인을 구분하여 계획을 세우기 위해서는 임상 경험이 풍부한 교정전문의의 감별진단이 매우 중요합니다. 


예전에는 교정용 미니스크류가 없던 시절, 수직적인 이동이 많이 필요한 심한 거미스마일은 양악수술이 거의 유일한 해결책이었습니다. 


하지만 지금은 미니스크류를 적절히 활용하면 수술 없이도 좋은 결과를 얻을 수 있는 경우가 많이 늘어났습니다.




실제 증례: 돌출입과 거미스마일을 함께 개선한 경우

이제 분당치아교정 서울리인치과교정과의원에서 치료한 실제 증례를 통해 어떤 식으로 개선이 이루어지는지 살펴보겠습니다.


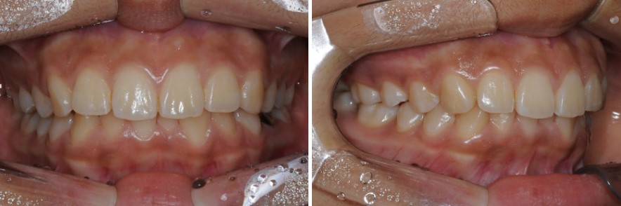
한 여학생이 돌출입과 웃을 때 잇몸이 많이 보이는 거미스마일을 동시에 해결하고 싶다며 내원하였습니다.



17d3464fbe306615f4c0872950d20c05_1763458550_6912.jpg




치아 각도만 보면 앞니가 심하게 뻐드러져 있는 것처럼 보이지는 않았지만, 앞니가 깊게 물리는 교합 양상을 보였고, 정면과 옆모습에서 모두 돌출과 거미스마일이 함께 관찰되었습니다.



17d3464fbe306615f4c0872950d20c05_1763458550_721.jpg




이 케이스는 치아가 수직으로 조금 더 내려와 있는 부분이 있었고, 치아 자체가 과도하게 기울어진 형태는 아니었지만, 앞니 주변 치조골 자체의 돌출이 동반된 상태였습니다. 


그래서 단순 배열만으로는 충분한 개선을 기대하기 어려운 경우였습니다.



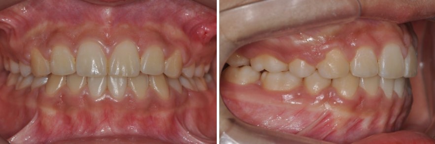
이 환자분은 발치교정을 통해 치료를 진행하였고, 약 1년 8개월 동안 교정치료를 받았습니다. 


치료 과정에서 교정용 미니스크류 2개를 사용하여 치아의 위치를 보다 정밀하게 조절했고, 그 결과 돌출입과 거미스마일 모두에서 의미 있는 개선을 얻을 수 있었습니다.




치료 후 변화: 교합 안정성과 얼굴 라인의 개선

먼저 구강 내 상태를 보면, 교정치료 후 치아 각도는 처음과 비슷하게 자연스럽게 유지되면서도 치열이 정돈되었습니다. 


어금니 교합은 안정적인 맞물림을 보였고, 치료 전 깊게 물리던 앞니 교합도 훨씬 건강한 깊이로 개선되었습니다. 기능적인 측면에서의 교합 안정성이 확보된 것입니다.


17d3464fbe306615f4c0872950d20c05_1763458550_7494.jpg



얼굴 사진을 치료 전후로 비교해 보면, 환자분이 처음에 가장 신경 쓰였다고 말씀하셨던 돌출된 느낌과 웃을 때 잇몸이 많이 보이던 부분이 함께 완화된 것을 확인할 수 있습니다. 


17d3464fbe306615f4c0872950d20c05_1763458550_7772.jpg



옆모습에서 입술 라인이 보다 부드럽고 자연스럽게 바뀌었고, 미소를 지었을 때 잇몸 노출도 과하지 않게 조정되었습니다. 환자분의 만족도가 매우 높았던 케이스였습니다.


17d3464fbe306615f4c0872950d20c05_1763458550_8062.jpg


17d3464fbe306615f4c0872950d20c05_1763458550_8354.jpg




엑스레이 상에서도 치료 전후를 겹쳐 보면, 치아와 치조골의 위치가 어떻게 변화했는지 좀 더 명확하게 확인할 수 있습니다. 



17d3464fbe306615f4c0872950d20c05_1763461258_8804.gif
 



교정용 미니스크류를 활용해 수직·수평 이동을 함께 조절함으로써, 양악수술 없이도 의미 있는 변화를 이끌어낸 대표적인 거미스마일 증례라고 할 수 있습니다.




잇몸이 너무 많이 보여 고민이라면

웃을 때 잇몸이 너무 많이 보여서 고민이신가요? 


그렇다면 먼저 가까운 교정치과에 내원하셔서 정확한 진단을 받아보시는 것이 좋습니다. 


잇몸이 많이 보이는 이유가 잇몸 모양 때문인지, 근육의 문제인지, 상악골·치조골의 발달과 돌출 때문인지에 따라 치료 방법과 예후가 크게 달라지기 때문입니다.



나에게 맞는 원인을 정확히 파악해야, 


수술이 필요한지, 교정치료만으로 가능한지, 잇몸성형·보톡스 같은 다른 방법을 병행해야 하는지에 대한 계획을 제대로 세울 수 있고, 


그만큼 만족스러운 결과에 가까워질 수 있습니다. 거미스마일 관련 증례와 정보는 앞으로도 계속해서 추가로 소개해 드리겠습니다.



오늘 분당교정치과 서울리인치과교정과의원에서 준비한 내용은 여기까지입니다. 읽어주셔서 감사합니다.