서울리인 아카이브

Seoulean Archive

치과 교정과 전문의가 전하는, 치아교정의 바른 이야기

게시물 검색
  • [치아교정]

    분당교정치과|10대 남학생 골격성 2급·돌출입, 제2소구치 발치교정으로 자연스러운 안모 개선

    2025.12.26
  • [치아교정]

    분당 판교 교정치과|10대 여학생 심한 덧니·중심선 편위, 선천적 결손치 발치교정 치료 사례

    2025.12.24
  • [치아교정]

    유지장치 착용 소홀로 벌어진 치아, 재교정으로 안정적으로 회복한 치료 사례

    2025.12.23
  • [치아교정]

    미금역교정치과 | 심한 총생·가위교합·거미스마일, 발치교정으로 개선한 20대 여성 사례

    2025.12.23
  • [치아교정]

    비발치 교정으로 과개교합·덧니·치아 사이 공간을 동시에 개선한 20대 여성 치료 사례

    2025.12.22
  • [치아교정]

    미금역교정치과 | 편측 덧니·치아 중심선 틀어짐, 발치교정으로 얼굴 중심선 회복한 실제 사례

    2025.12.22
  • [치아교정]

    심한 총생·선천적 결손, 발치교정으로 이렇게 달라졌습니다 | 미금역교정치과 Before & After

    2025.12.22
  • [치아교정]

    상·하악 중심선 비대칭과 2급·3급 구치관계, 비발치 교정으로 1급 교합 회복한 20대 여성 사례

    2025.12.20
  • [치아교정]

    미금역교정치과 / 사랑니 활용한 반대교합·비대칭 교정 사례 | 하악 편악 편측 발치로 수술 없이 개선

    2025.12.20
  • [치아교정]

    앞니 배열 불균형·측절치 반대교합, 비발치 교정으로 입매 개선한 20대 여성 치료 사례

    2025.12.20
  • [치아교정]

    치아교정 필수 지식: 1급·2급·3급 구치 관계 쉽게 이해하기 | 미금역교정치과 서울리인치과교정과

    2025.12.19
  • [치아교정]

    미금역교정치과 20대 여성, 최소한의 발치로 입매 고민 해결 | 상악 편악 편측 발치 돌출입 교정 | 서울리…

    2025.12.19
  • [치아교정]

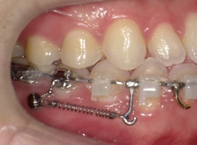
    판교교정치과 교정치료에서 가장 많이 쓰이는 스프링 3종 분석 | 서울리인치과교정과

    2025.12.19
  • [치아교정]

    20대 남성 돌출입·치아 배열 발치교정 사례|분당 판교 서울리인교정치과

    2025.12.18
  • [치아교정]

    교정치료에 사용되는 고무줄(탄성체) 종류와 역할

    2025.12.18