서울리인 아카이브

Seoulean Archive

치과 교정과 전문의가 전하는, 치아교정의 바른 이야기

[치아교정] 판교교정치과 교정치료에서 가장 많이 쓰이는 스프링 3종 분석 | 서울리인치과교정과

2025.12.19

본문

교정치료에서 가장 많이 사용하는 Open-coil, Closed-coil, NiTi 스프링의 구조와 역할, 사용 목적을 판교교정치과 서울리인치과교정과에서 정리했습니다. 

공간 열기·유지·후방이동까지 스프링의 차이를 한 번에 이해해 보세요.



분당 판교 최초! 유일!

서울대 출신, 교정 전문의 2인 공동대표 교정전문치과


76a4d2e55ee3469531d0443854bad679 1766106889 1228

안녕하세요, 판교교정치과 서울리인치과입니다.



교정치료에서 스프링(spring) 은 치아 사이의 공간을 열거나 닫고, 미세한 힘을 일정하게 전달해 주는 핵심 보조장치입니다.
이전에 교정용 고무줄(탄성체)에 대해 정리해 드렸다면, 이번 글에서는 그와 짝을 이루는 스프링 3종(Open-coil, Closed-coil, NiTi) 을 정리해 보겠습니다.

 

1. 교정치료에서 스프링은 왜 필요할까요?

교정에서 흔히 사용하는 탄성 장치는 크게 두 부류로 나눌 수 있습니다.

  • 치아를 “당겨 주는” 고무줄(탄성체)

  • 치아 사이를 “밀어 주거나 또는 일정한 거리로 유지해 주는” 스프링

스프링은 특히 다음과 같은 상황에서 필수적입니다.

  • 치아 사이 공간이 부족해서 배열이 어려울 때

  • 발치 후 공간을 닫거나 유지해야 할 때

  • 전치부를 후방으로 이동시켜야 할 때

  • 미니스크류(TAD)와 함께 정밀한 힘 조절이 필요할 때

이때 주로 사용되는 스프링은 다음 세 가지입니다.

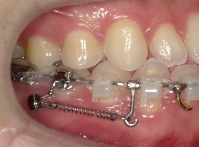
  1. Open-coil spring (오픈 코일 스프링)

  2. Closed-coil spring (클로즈드 코일 스프링)

  3. NiTi spring (니켈티타늄 스프링)



 

2. Open-coil Spring

“치아 사이 공간을 만드는 스프링”

 

Open-coil 스프링은 코일이 벌어진 형태를 하고 있으며, 스스로 펼쳐지려는 힘을 가지고 있습니다.
이 스프링을 와이어 위, 치아와 치아 사이에 장착하면 스프링이 팽창하면서 두 치아를 서로 밀어내어 새로운 공간을 확보하게 됩니다.

76a4d2e55ee3469531d0443854bad679 1766106889 155

 

2-1. 주요 사용 목적

  • 혼잡한 부위에서 새로운 공간을 열 때

  • 견치(송곳니)나 매복치가 배열될 자리 마련

  • 옥니(덧니) 정렬을 위한 공간 확보

  • 치열의 밀집을 풀어주어 전체 배열을 쉽게 만들 때

2-2. 장점

  • 비교적 짧은 기간 동안 효율적으로 공간 형성이 가능

  • 일정하고 부드러운 힘을 전달해 치근과 주변 조직에 부담을 줄임


76a4d2e55ee3469531d0443854bad679 1766106889 1824




 

3. Closed-coil Spring

“이미 만들어 놓은 공간을 유지하는 스프링”

 

Closed-coil 스프링은 내부가 막힌 형태로, 압축에 저항하는 방향으로 힘이 작용합니다.
Open-coil이 “공간을 열어 주는” 역할이라면, Closed-coil은 “만들어 놓은 공간을 지켜주는” 역할에 가깝습니다.

76a4d2e55ee3469531d0443854bad679 1766106889 2105

 

3-1. 주요 사용 목적

  • 보철(크라운·브릿지·임플란트 등)을 위한 공간 유지

  • 왜소치 주변에 보철용 공간을 일정하게 유지

  • 교정 마무리 단계에서 치아 간 거리를 정교하게 조절할 때

3-2. 장점

  • 확보한 공간이 다시 줄어들지 않도록 안정적으로 유지

  • 필요한 거리만큼 정확하게 조절 가능해 보철·수복 계획과 연계하기 좋음

76a4d2e55ee3469531d0443854bad679 1766106889 2378

76a4d2e55ee3469531d0443854bad679 1766106889 2669


**왜소치에 대한 설명은 지난 포스팅을 참고해주세요. 




4. NiTi Spring (니켈티타늄 스프링)

“지속적이고 일정한 힘을 전달하는 프리미엄 스프링

 

NiTi 스프링은 니켈-티타늄 합금의 특성 덕분에, 변형 후에도 오랜 기간 일정한 힘을 내는 것이 가장 큰 특징입니다.
Open-coil, Closed-coil 형태 모두 존재하며, 치료 목적에 따라 선택해 사용합니다.

76a4d2e55ee3469531d0443854bad679 1766106889 2949

 

4-1. 주요 사용 목적

  • 공간 열기·닫기 모두 가능

  • 장거리 치아이동(전치부 후방 이동 등)

  • 미니스크류(TAD)와 결합하여 치열 전체 후방 이동

  • 변형에 관계없이 지속적이고 일정한 힘이 필요한 경우

4-2. 장점

  • 메모리 특성으로 시간이 지나도 비교적 일정한 힘 유지

  • 온도 변화에 반응하는 특성으로 구강 내에서 효율적인 탄성 발휘

  • 교체 주기가 상대적으로 길어 환자 내원 간격 조정에 도움이 됨


76a4d2e55ee3469531d0443854bad679 1766106889 322



5. 스프링은 어떤 상황에서 사용될까요?

판교교정치과 서울리인치과교정과에서는 환자 상태에 따라 스프링을 다음과 같이 활용합니다.

  •  치아가 심하게 겹쳐 있어 배열할 공간이 부족한 경우

    → Open-coil로 공간 확보 후 배열

     

  • 발치 후 공간을 계획대로 닫거나 일정 부분만 남겨야 하는 경우

    → NiTi spring 또는 Closed-coil spring으로 거리 조절 및 유지

     

  • 왜소치(작은 치아) 주변에 보철을 위한 공간이 필요한 경우

    → Open-coil로 공간 형성 → Closed-coil로 공간 유지 후 보철 진행

     

  • 미니스크류를 이용해 전치부를 뒤로 당겨 돌출감 개선이 필요한 경우

    → NiTi spring과 TAD를 결합해 장거리·지속적 후방 이동

     

 

각 스프링은 힘의 크기·지속시간·작용 방향이 서로 다르기 때문에,
치열 상태·발치 여부·보철 계획·미니스크류 사용 여부 등을 모두 고려하여 선택합니다.



6. 정리 및 안내

교정치료에 사용되는 스프링은 겉으로는 작은 금속 장치처럼 보이지만,

  • 치아 간 공간을 열고,

  • 만들어진 공간을 지켜 주며,

  • 치아를 정확한 위치까지 이동시키는 데 결정적인 역할을 합니다.

요약하면 다음과 같습니다.

  • Open-coil spring

    → 공간이 부족할 때, “새로운 공간을 만들어 주는” 스프링

     

  • Closed-coil spring

    → 만들어 놓은 간격을 유지하고, 보철·수복 전 공간을 “지켜 주는” 스프링

     

  • NiTi spring

    → 장거리·장기간 일정한 힘을 내며 치열 전체 이동에 적합한 스프링

     

 

스프링의 종류와 역할을 알고 나면, 교정장치를 보실 때
“지금 내 치아에서는 어떤 목적을 위해 이 장치가 쓰이고 있구나”를 이해하시는 데 큰 도움이 됩니다.

 

 현재 장착되어 있는 스프링이나 장치가 궁금하시다면,

내원 시 “이 스프링은 무슨 역할인가요?” 하고 편하게 질문해 주세요.

 

 판교교정치과 서울리인치과교정과는 환자분이 치료의 전 과정을 이해하고 안심하실 수 있도록,

충분한 설명과 맞춤 상담을 항상 원칙으로 하고 있습니다.