서울리인 아카이브
Seoulean Archive
치과 교정과 전문의가 전하는, 치아교정의 바른 이야기
서울리인 아카이브
Seoulean Archive
치과 교정과 전문의가 전하는, 치아교정의 바른 이야기
[치아교정] 심한 총생·선천적 결손, 발치교정으로 이렇게 달라졌습니다 | 미금역교정치과 Before & After
2025.12.22심한 총생과 선천적 결손을 동반한 20대 여성 환자를 상·하악 선택적 발치교정으로 개선한 미금역교정치과 서울리인치과의 실제 사례입니다. 진단 과정, 발치 전략, 교정 진행, Before & After 변화를 자세히 확인해 보세요.
분당 판교 최초! 유일!
서울대 출신, 교정 전문의 2인 공동대표 교정전문치과
안녕하세요, 미금역교정치과 서울리인치과입니다.

01. 내원 동기 – “치아 겹침 때문에 웃을 때마다 스트레스예요”
환자 주요 고민 사항은 다음과 같았습니다.
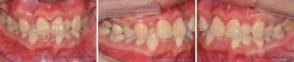
앞니가 겹쳐 보이는 심한 총생과 삐뚤삐뚤한 치열
사진 촬영 시 크게 웃기 어려운 심미적 스트레스
치솔질이 어렵고 음식물이 자주 끼는 위생 문제
하악 좌측 측절치(아래 앞니) 선천적 결손
검사 결과, 다음과 같은 진단 요소가 확인되었습니다.
상·하악 전치부 심한 총생
양측 어금니 교합의 불균형
일부 앞니의 반대교합
치열 및 치축의 비대칭
하악 좌측 측절치 선천적 결손으로 인한 3전치 형태



총생 정도와 구조적 요인을 고려할 때,
단순 비발치 배열만으로는 심미·기능 모두를 충족시키기 어렵다고 판단되었습니다.
02. 치료 계획 – “왜 발치교정이 필요했을까?”
상악 양측 소구치 발치
하악 좌측 중절치 발치
치열궁 확장 및 정렬
발치 공간 폐쇄를 통한 입술 라인 및 프로파일 개선
장기적인 교합 안정성과 심미적 스마일 라인 회복
상악: 양측 소구치 2개 발치
하악: 중절치 2개(기존 1개 + 추가 1개) 개념으로 배열 재구성
교정 치료 시 하악 전치 발치는 흔하게 시행하지 않지만, 경우에 따라서는 효과적인 치료 계획이 될 수 있습니다.
▶판교교정치과 / 교정 때문에 앞니를 뺀다구요? (feat. 하악전치발치)
03. 치료 과정
1) 발치 후 배열 단계
상악 양측 소구치 및 하악 좌측 중절치 발치 후 브라켓 부착
발치 공간을 활용해 심하게 겹쳐 있던 전치부를 정렬
이 단계에서 환자는 “앞니가 겹치지 않고 가지런해지는 과정”을 가장 크게 체감
2) 공간 폐쇄 단계
3) 피니싱 단계(미세 조정)
상·하악 어금니의 균형 있는 교합 형성
웃을 때 자연스럽게 노출되는 스마일 아크(Smile Arc) 조정
치축·교두 간 접촉 등 세부 교합 면을 정리해 안정적인 교합 상태로 마무리
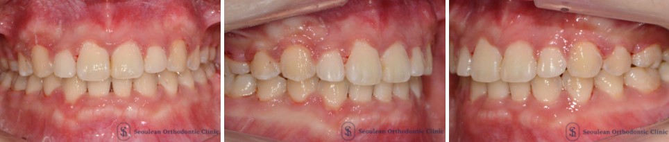
04. 치료 결과 – Before & After 변화 포인트
치료 종료 후 확인된 변화는 다음과 같습니다.




05. 심한 총생에서 전문적인 진단이 중요한 이유
턱뼈 크기와 형태
치아 크기 및 개수(결손치 여부 포함)
악궁 형태와 비대칭 여부
돌출 정도 및 입술 라인
구강 습관과 교합 패턴
불필요한 발치를 줄이면서도
필요한 공간을 확보해
심미와 기능을 동시에 개선하려면
선천적 결손 여부까지 포함한 정밀 분석이 선행되어야 합니다.
06. 서울리인치과교정과는
서울대 출신 치과교정과 전문의 2인 상주, 전 과정 직접 진료
3D 스캐너, CBCT(콘빔 CT)를 활용한 입체적 진단
미니스크류, 하악 전치 발치, 선택적 발치 전략 등 다양한 교정 옵션 보유
얼굴 조화·교합 안정성·장기 유지까지 고려한 맞춤형 치료 계획 수립
