편측 덧니와 돌출입, 치아 중심선의 틀어짐 때문에
사진을 찍을 때마다 고개를 살짝 기울이게 되거나 웃는 모습이 어딘가 비뚤어져 보인다고 느끼는 분들이 적지 않습니다.
이 페이지에서는 편측 덧니로 인해 치열 중심선이 얼굴 중심에서 벗어나 있었던 20대 여성 환자를 상·하악 제1소구치 발치 교정으로 치료하여
중심선 정렬 · 돌출입 후퇴 · 교합 정상화까지 이룬 실제 사례를 정리해 소개합니다.
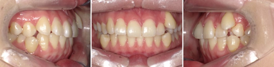
1. 초진 상태 – 왜곡된 중심선, 덧니, 돌출입
초진 시 환자분의 주요 고민은 다음과 같았습니다.
편측 덧니 때문에 상악 치열 전체가 한쪽으로 끌려가면서
상악 치열 중심선이 얼굴 중심선보다 왼쪽으로 편위된 상태였습니다.
정면에서는 치열의 좌우 비율이 미묘하게 어긋나 보였고,
측면에서는 입술이 약간 앞으로 튀어나와 자연스러운 라인이 흐트러져 있었습니다.
2. 진단 – 편측 덧니가 만든 중심선 편위와 교합 문제
정밀 검사를 통해 다음과 같은 문제를 확인할 수 있었습니다.


이러한 요소들을 종합해 볼 때,
단순 부분교정이나 비발치 정렬만으로는
중심선, 돌출, 교합을 동시에 해결하기 어렵다고 판단했습니다.
3. 치료 계획 – 얼굴 중심을 다시 맞추는 발치 교정
해당 케이스에서는 상·하악 양측 제1소구치 발치 교정을 계획했습니다.
치료 목표
-
상·하악 전치부 총생 해소 및 덧니 배열
-
상악 치열 중심선을 얼굴 중심선과 일치
-
전치부 후방 이동을 통한 돌출입 완화
-
양측 제1소구치 반대교합 정상화
-
정면·측면에서 조화로운 프로파일 회복
발치로 확보한 공간은
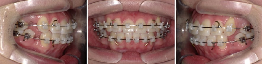
4. 치료 진행 – 덧니가 제자리로 돌아오는 과정
1) 발치 후 배열
2) 중심선 및 돌출 조절
3) 교합·심미 마무리
-
양측 제1소구치의 반대교합을 정상 교합으로 전환
-
웃을 때 상악 전치가 자연스럽게 따라가는 스마일 라인 형성
-
상·하악 치열궁 형태와 전치부 라인을 미세 조정하여 피니싱
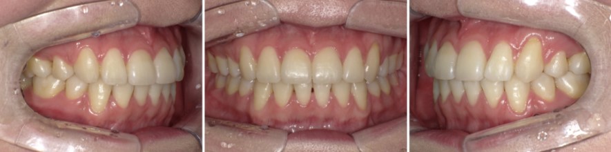
5. 치료 결과 – 회복된 중심선, 정돈된 입매
치료 종료 후 확인된 주요 변화는 다음과 같습니다.
-
얼굴 중심선과 치열 중심선이 자연스럽게 일치
-
편측 덧니가 있던 부위의 비대칭 해소
-
전치부 후방이동으로 돌출입이 완화되고 옆모습 곡선이 부드럽게 정리
-
웃을 때 좌우 비율이 균형을 이루는 안정된 미소
-
양측 제1소구치 교합이 정상화되어 저작 기능도 개선
정면에서는 “얼굴이 한층 정돈되어 보인다”는 인상을 주게 되었고,
측면에서는 입술 두께와 위치가 조화롭게 정리되어 보다 자연스러운 프로파일을 얻을 수 있었습니다.


6. 이런 경우에 도움이 되는 치료입니다
다음과 같은 경우, 본 증례와 유사한 접근이 필요할 수 있습니다.
-
한쪽에만 덧니가 있어서 치열이 한쪽으로 쏠려 보이는 경우
-
웃을 때 치아 중심이 얼굴의 정중앙에서 벗어나 보이는 경우
-
덧니와 함께 입이 약간 돌출되어 보이는 경우
-
제1소구치 등 일부 치아가 반대교합으로 물리는 경우
-
심미·기능·중심선 문제를 한 번에 해결하고 싶은 경우
편측 덧니로 인한 중심선 편위는
단순히 외형적인 문제를 넘어서, 교합· 얼굴 균형까지 영향을 줄 수 있습니다.
정확한 진단을 통해 발치 위치와 개수를 신중하게 결정하는 것이 중요합니다.

7. 미금역교정치과 서울리인치과의 진료 특징
**서울리인치과교정과의원(미금역교정치과)**는
-
서울대 출신 치과교정과 전문의 2인 공동대표 상주
-
3D 스캐너, CBCT 기반 정밀 진단
-
발치·비발치, 부분·전체교정, 미니스크류 등 다양한 옵션을 활용한 맞춤 설계
를 통해 단순 치열 정리 수준을 넘어,얼굴 중심선과 미소의 균형까지 고려한 교정치료를 제공합니다.
편측 덧니, 치아 중심선 틀어짐, 돌출입 등으로 고민 중이시라면
현재 상태에서 어떤 치료 옵션이 가능한지, 정확한 상담을 통해 확인해 보시기 바랍니다.