서울리인 아카이브
Seoulean Archive
치과 교정과 전문의가 전하는, 치아교정의 바른 이야기
서울리인 아카이브
Seoulean Archive
치과 교정과 전문의가 전하는, 치아교정의 바른 이야기
[치아교정] 미금역교정치과 | 심한 총생·가위교합·거미스마일, 발치교정으로 개선한 20대 여성 사례
2025.12.23심한 총생, 가위교합, high canine, 거미스마일로 고민하던 20대 여성 환자를 상·하악 제1소구치 발치와 전치 치축 조절로 치료한 미금역교정치과 서울리인치과의 실제 교정 증례를 확인해 보세요.
분당 판교 최초! 유일!
서울대 출신, 교정 전문의 2인 공동대표 교정전문치과
안녕하세요, 미금역교정치과 서울리인치과입니다.

심하게 겹쳐 있는 치열과 가위교합은 단순한 심미 문제를 넘어, 구강위생·치은 건강·저작 기능에까지 영향을 줄 수 있습니다.
이 페이지에서는 심한 총생(crowding), 상악 전치 직립으로 인한 거미스마일, 가위교합(scissors bite), high canine(덧니 송곳니)을 동시에 가지고 있던 20대 여성 환자를
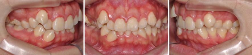
1. 초진 상태 – 복합적인 총생·교합·심미 문제
내원 당시 환자분은 다음과 같은 상태를 보였습니다.
심한 총생(crowding) 으로 치아가 심하게 겹쳐진 치열
상악 전치 직립으로 인해
웃을 때 잇몸이 많이 보이는 거미스마일 (거미스마일에 대한 지난 포스팅 : 분당교정치과 웃을 때 잇몸이 너무 많이 보여요 | 서울리인치과교정과의원)
윗입술이 위로 말려 상대적으로 얇아 보이는 안모
우측 제2대구치 가위교합(scissors bite)
하악 우측 견치의 과도한 전방 경사
상악 양측 high canine(위쪽에 위치한 덧니 송곳니)
총생으로 인한 칫솔질 어려움 → 구강위생 저하, 치은염 소견



2. 치료 계획 – 발치로 공간 확보 후 이상적인 배열·교합 회복
이 증례에서 가장 중요한 포인트는
심한 총생을 해결하기 위한 확실한 공간 확보
전치 치축(각도)을 정상화해서 거미스마일과 입술 라인을 동시에 개선
이었습니다.
치료 계획 개요
상·하악 양측 제1소구치 발치
심한 총생 해소
상·하악 전치 배열 공간 확보
상악 전치 치축을 정상화할 수 있는 여유 공간 마련
전치 배열 및 치축 조절
와이어 단계를 올리면서 상·하악 전치를 가지런히 배열
이를 통해 거미스마일 완화 + 윗입술 볼륨 회복을 동시에 목표로 설정
우측 제2대구치 가위교합 교정
상악 구개측에 교정용 미니스크류 식립
하악에는 설측 호선(lingual arch)을 적용
비정상적인 가위교합을 정상 교합 관계로 회복
high canine(덧니 송곳니) 배열
높은 위치의 견치를 치열궁 안으로 유도
구강위생 관리 병행
매 내원 시마다 칫솔질, 치실, 치간칫솔 사용법 안내
총생 개선과 함께 구강위생 상태 및 치은염 점진적 호전 유도
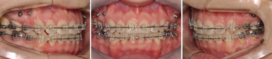
3. 치료 과정 – 공간 확보부터 미세 조정까지
1) 발치 후 배열 단계
상·하악 양측 제1소구치 발치 후 전체 브라켓 부착
초기 수개월 동안은
겹쳐 있던 상·하악 전치 배열
2) 공간 폐쇄 및 치축 조절
발치 공간을 활용해 전치부를 후방 이동
상악 전치의 과도한 직립을 조정하여
치축을 정상 범위로 회복
잇몸 노출 과다를 줄이고
웃을 때 윗입술이 자연스럽게 볼륨을 유지하도록 조절
3) 가위교합 해소
상악 구개측 미니스크류를 고정원으로 사용
하악의 설측 호선과 연계해서
우측 2대구치의 가위교합을 정상 교합으로 전환
이를 통해 저작 시 기능적 안정성을 높였습니다.
4) 피니싱 단계 – 미소선·교합 디테일 정리
상·하악 전치의 스마일 아크(smile arc) 조정
구치부 교합 접촉 상태 미세 조정
교정 후 안정적인 유지 단계까지 고려한 마무리 정렬


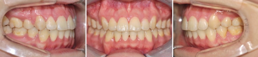
4. 치료 결과 – 미소선·입술·교합·위생까지 변화
치료 종료 후 확인된 주요 변화입니다.
심한 총생 해소 및 치열 정돈
겹쳐 있던 치아들이 가지런하게 배열
칫솔질이 쉬워지고, 치석이 쌓이던 부위가 줄어듦
전치 치축 정상화 → 거미스마일 감소
우측 제2대구치 가위교합 해소
비정상적인 가위교합이 정상 교합으로 회복
씹는 기능의 안정성과 양측 균형 향상
high canine 배열 및 스마일 라인 개선
구강위생 및 치은 상태 호전




5. 정리 – 복합 문제도 체계적인 계획으로 해결 가능
이 증례처럼
심한 총생
가위교합
high canine(덧니 송곳니)
이 동시에 존재하는 경우에도,
심미와 기능을 모두 만족하는 결과를 기대할 수 있습니다.
6. 상담 안내
미금역교정치과 서울리인치과교정과의원은
서울대 출신 치과교정과 전문의 2인 공동대표
20년 이상 임상경험
3D 진단 및 다양한 교정 옵션
을 바탕으로,