서울리인 아카이브
Seoulean Archive
치과 교정과 전문의가 전하는, 치아교정의 바른 이야기
서울리인 아카이브
Seoulean Archive
치과 교정과 전문의가 전하는, 치아교정의 바른 이야기
[치아교정] 분당 판교 교정치과|10대 여학생 심한 덧니·중심선 편위, 선천적 결손치 발치교정 치료 사례
2025.12.24상악 총생과 중심선 편위, 하악 측절치 선천적 결손을 동반한 10대 여학생을
상악 소구치 발치교정으로 개선한 실제 사례. 교정 전문의의 진단과 치료 전략을 확인하세요.
안녕하세요.
분당교정치과 서울리인치과입니다.

여러 문제가 동시에 존재한 만큼, 단순 배열이 아닌 교합·중심선·심미성의 균형을 함께 고려한 치료 계획이 필요했습니다.
치아 중심선과 결손치에 대한 이해를 돕기 위해 지난 포스팅을 참고해 주세요.
치료 전 진단|문제점 분석
치아가 배열될 공간이 부족하여 상악 우측 견치가 협측으로 돌출된 상태였으며, 심미적 불균형이 두드러졌습니다.
상악 중심선이 얼굴 정중선에 비해 우측으로 치우쳐 있어, 미소 시 좌우 균형이 맞지 않는 상태였습니다.
하악 양측 측절치가 선천적으로 결손되어 견치와 제1소구치가 각각 측절치와 견치의 역할을 대신하고 있었습니다.
이로 인해 치아 크기·형태·기능의 부조화가 발생할 가능성이 높아, 교합 설계에 더욱 세심한 접근이 필요했습니다.


치료 계획|발치교정을 통한 공간과 균형 확보
복합적인 문제를 해결하기 위해 다음과 같은 치료 전략을 수립하였습니다.
덧니 배열을 위한 공간 확보
상악 중심선 이동을 위한 여유 공간 형성
입이 더 돌출되지 않도록 심미성 고려
치아의 전후·좌우 이동량을 정밀하게 조절
1급 구치 및 견치 관계 형성
중심선과 교합 안정성 회복
하악 측절치 2개 결손을 공간적으로 고려하여 추가 발치 없이 진행
견치를 측절치 크기에 맞게 형태 조정하여 심미성과 기능 보완
상·하악 치열궁의 조화로운 형성
안정적인 교합과 장기적인 유지 가능성 확보
각 치아가 대체된 역할을 수행하더라도 기능적 문제가 없도록 형태 수정
본 증례의 핵심은 상악 소구치 발치 공간을 어떻게 활용하느냐에 있었으며, 배열·중심선·교합·심미성을 동시에 만족시키는 방향으로 치료를 진행하였습니다.
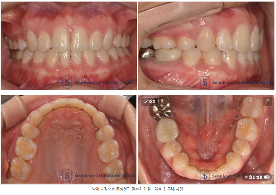
치료 결과|배열·중심선·교합의 조화로운 회복
교정 치료 종료 후 다음과 같은 개선을 확인할 수 있었습니다.
덧니 개선: 고른 치열로 배열되어 전체적인 인상이 부드러워졌습니다.
상·하악 중심선 일치: 미소 시 얼굴 정중선과 자연스럽게 조화를 이루게 되었습니다.
교합 안정화: 선천적 결손으로 인한 교합 불균형이 개선되었습니다.
심미성 향상: 기능적 안정성과 함께 자연스럽고 단정한 미소를 회복하였습니다.


환자 본인뿐 아니라 보호자 역시 치료 결과에 높은 만족도를 보였습니다.
교정 전문의의 코멘트
덧니나 중심선 틀어짐은 단순한 심미 문제로 보이기 쉽지만,
✔ 교합 관계
✔ 선천적 결손치 여부
✔ 치아 크기와 배열의 비율
등 다양한 요소가 복합적으로 작용합니다.
따라서 개별 증례에 맞춘 정확한 진단과 치료 설계가 무엇보다 중요합니다.
분당교정치과 서울리인치과
서울리인치과는 다양한 고난도 교정 증례에 대한 풍부한 임상 경험을 바탕으로,
환자 한 분 한 분에게 가장 안정적이고 조화로운 교정 결과를 목표로 진료하고 있습니다.
치아 교정에 대한 고민이 있다면,
교정 전문의와의 정확한 상담을 통해 본인에게 맞는 치료 방법을 확인해 보시기 바랍니다.
#분당교정치과 #판교교정치과 #미금역교정치과 #서울리인치과 #덧니교정 #발치교정 #청소년치아교정 #총생 #치아중심선 #결손 #교정전문의