서울리인 아카이브
Seoulean Archive
치과 교정과 전문의가 전하는, 치아교정의 바른 이야기
서울리인 아카이브
Seoulean Archive
치과 교정과 전문의가 전하는, 치아교정의 바른 이야기
[치아교정] 분당교정치과|10대 남학생 골격성 2급·돌출입, 제2소구치 발치교정으로 자연스러운 안모 개선
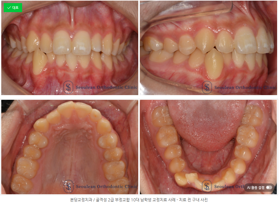
2025.12.26불규칙한 치열과 돌출입으로 내원한 10대 남학생의 교정 치료 사례입니다.
분당교정치과 서울리인치과에서 골격성 2급 부정교합, 왜소치, 중심선 불일치를 제2소구치 발치 교정으로 기능과 심미를 함께 개선했습니다.
안녕하세요.
분당교정치과 서울리인치과입니다.

성장기 청소년의 교정치료는 단순히 치열을 가지런히 만드는 데서 끝나지 않습니다.
치아 이동이 얼굴 균형과 턱 성장, 향후 교합 안정성에까지 영향을 주기 때문에 정확한 진단과 계획이 무엇보다 중요합니다.
이번 증례는 불규칙한 치열과 돌출입을 주소로 내원한 10대 남학생의 실제 교정 치료 사례로, 분당교정치과 서울리인치과에서 정밀 진단을 바탕으로 치료를 진행하였습니다.
치료 전 진단 소견
정밀 검진 및 방사선 분석 결과, 다음과 같은 복합적인 문제점이 확인되었습니다.
골격성 2급 부정교합
전반적인 총생(불규칙한 치열)
상악 좌측 측절치 왜소치
상악 중절치 사이 과잉치 존재
상·하악 치아 중심선 불일치
돌출입으로 인한 안모 불균형


특히 왜소치와 과잉치가 동시에 존재하여
치아 크기 불균형, 즉 볼튼 비율 이상이 동반된 케이스였습니다.
왜소치, 과잉치, 볼튼 비율에 대해서는 이전 포스팅을 참고해 주세요.
이러한 경우 단순 배열 교정만으로는 안정적인 교합을 만들기 어렵기 때문에, 치아 크기와 이동량을 함께 고려한 계획이 필요합니다.
치료 계획의 핵심
보호자께서는 “입이 과도하게 들어가는 교정은 원하지 않는다”는 명확한 의사를 전달해 주셨습니다.
이에 따라 서울리인치과에서는 과도한 안모 변화는 피하면서도 기능적·심미적 개선을 동시에 달성하는 방향으로 치료 계획을 수립했습니다.
상·하악 양측 제2소구치 발치
→ 돌출감은 완화하되, 지나친 후방 이동은 최소화
상악 과잉치 비발치
→ 전치부 이동에 방해가 없는 위치로 판단되어 발치 없이 경과 관찰
하악 전치부 치간삭제(IPR)
→ 왜소치로 인한 볼튼 비율 불균형 보정
정밀한 치아 이동 조절
→ 중심선 일치 및 안정적인 교합 형성
치료 결과
교정 치료 종료 후 다음과 같은 긍정적인 변화가 확인되었습니다.
불규칙했던 치열의 안정적인 배열
돌출입 인상의 완화와 자연스러운 옆모습
상·하악 치아 중심선의 조화로운 일치
왜소치로 인한 치아 비율 문제 개선
기능적·심미적으로 균형 잡힌 교합 완성


무엇보다 환자와 보호자 모두 **“자연스럽다”**는 점에서 높은 만족도를 보였습니다.
분당교정치과 서울리인치과의 진료 원칙
교정치료에서 중요한 것은
발치 여부 자체가 아니라, 어떤 치아를 왜 발치하느냐입니다.
서울리인치과는
서울대 출신 교정 전문의 2인 공동 진료
성장기 교정에 대한 풍부한 임상 경험
안모 변화까지 고려한 정밀 교정 계획
을 바탕으로, 환자 개개인에 맞는 맞춤형 교정 치료를 진행합니다.

불규칙한 치아 배열로 자신감이 떨어지는 경우
돌출입이 걱정되지만 과도한 변화는 원치 않는 경우
왜소치·과잉치 등 복합적인 치아 문제를 가진 경우
교정 치료의 시작은 정확한 진단입니다.
교정 전문의와의 상담을 통해 나에게 맞는 치료 방향을 확인해 보시기 바랍니다.
#분당교정치과 #판교교정치과 #서울리인치과 #청소년교정치료 #골격성2급부정교합 #돌출입교정 #발치교정 #왜소치 #과잉치