서울리인 아카이브

Seoulean Archive

치과 교정과 전문의가 전하는, 치아교정의 바른 이야기

[치아교정] 분당교정치과 중장년층도 치아교정을 하나요? | 서울리인치과교정과의원

2025.11.18

본문

나이가 들어 앞니가 삐뚤어지거나 위 앞니 사이가 벌어져 고민이신가요? 분당 판교 서울리인치과교정과의원이 중장년층에서 자주 나타나는 치열 변화와 교정치료 가능 여부, 임플란트 전 교정의 필요성까지 쉽게 설명드립니다.



17d3464fbe306615f4c0872950d20c05_1763464154_4624.jpg


분당치아교정 중장년층도 치아교정을 하나요?

분당 판교 최초, 서울대 출신 교정 전문의 2인 공동대표 교정전문치과, 서울리인치과교정과의원입니다. 안녕하세요, 서울리인교정치과입니다.



‘치아교정’이라고 하면 어린이들이나 젊은 분들만 하는 치료라고 생각하시는 경우가 많습니다. 


하지만 실제 진료실에서는 “예전에는 이가 가지런했던 것 같은데, 나이가 들면서 앞니가 점점 삐뚤어졌다”고 말씀하시는 중장년층 환자분들을 자주 만나게 됩니다.


치아는 한 번 자리를 잡으면 평생 그대로 있을 것 같지만, 사실은 일생에 걸쳐 아주 조금씩 계속 움직이고 있습니다.


그렇다면 중장년층에서 가장 흔하게 나타나는 치열 문제에는 어떤 것들이 있을까요? 분당치아교정 서울리인치과교정과의원과 함께 하나씩 살펴보겠습니다.




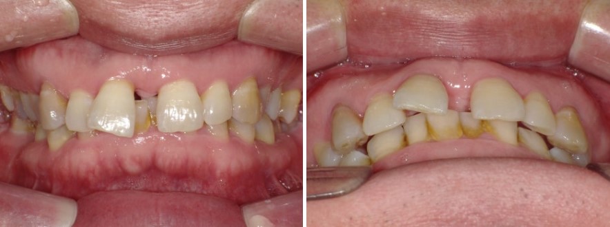
중장년층에서 흔한 치열 변화 ① 앞니가 점점 삐뚤어지는 경우

치아는 평생 동안 아주 약한 힘이지만 앞니 방향으로 밀리는 힘을 받고 있습니다. 


이는 병적인 현상이 아니라 누구에게나 나타나는 자연스러운 생리적 현상입니다. 


문제는 시간이 지나면서 잇몸뼈의 부피가 점차 줄어들고, 그 안에서 치아가 설 수 있는 공간이 점점 좁아진다는 점입니다.


앞니 쪽으로 향하는 힘은 계속 작용하는데, 치아가 설 자리는 줄어들다 보니, 앞니들이 서로 자리를 차지하려고 밀고 밀리면서 오밀조밀하게 겹치고 비틀어지는 양상이 나타납니다. 


그래서 “젊을 때는 가지런했는데, 나이 들어 보니 앞니가 삐뚤삐뚤해졌다”고 느끼시는 분들이 많습니다.


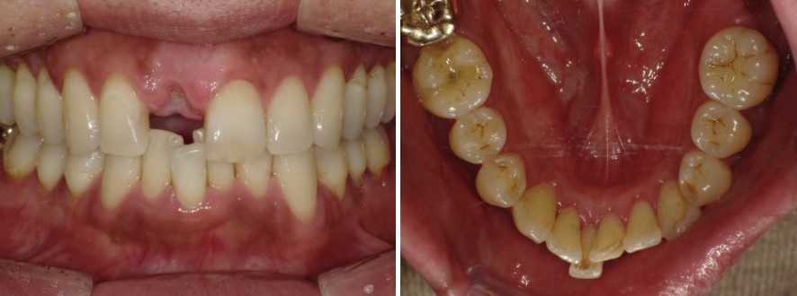
17d3464fbe306615f4c0872950d20c05_1763463973_5864.jpg




중장년층에서 흔한 치열 변화 ② 위 앞니 사이가 벌어지는 경우

어르신들께서 많이 질문하시는 것 중 하나가 “위 앞니 사이가 자꾸 벌어지는 것 같다”는 고민입니다. 



이 현상은 과개교합(깊게 물리는 교합) 과 연관이 깊습니다. 


과개교합에서는 아래 앞니가 위 앞니의 잇몸 쪽에 가까운 부위와 닿게 되고, 여기에 저작력까지 더해지면서 위 앞니 뿌리 근처에 지속적인 하중이 가해집니다.



과개교합을 가진 분들은 골격적인 특징상 저작근의 힘이 강한 경우가 많습니다. 


젊고 잇몸뼈가 튼튼할 때에는 그 힘을 버티지만, 나이가 들면서 잇몸뼈의 지지력이 약해지기 시작하면 위 앞니가 그 힘을 견디지 못하고 점점 벌어지거나, 이가 흔들리는 상태로 내원하시는 경우가 많습니다. 


이런 현상은 좋지 않은 교합으로 인해 치아가 서 있던 자리를 떠나는 것으로, 치과에서는 병적치아이동(pathologic migration) 이라고 부릅니다.



17d3464fbe306615f4c0872950d20c05_1763463973_6177.jpg




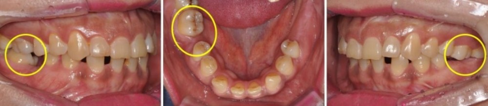
중장년층에서 흔한 치열 변화 ③ 임플란트 치료가 어려워지는 치열

충치나 잇몸질환으로 치아를 발치한 뒤 오랜 시간이 지나면, 그 자리를 둘러싼 치아들이 그냥 가만히 있는 것이 아니라 서서히 쓰러지거나 이동하기 시작합니다. 


발치한 공간 쪽으로 양옆의 치아가 기울어지거나, 반대편에서 맞물리던 치아가 점점 내려오거나 솟아오르는 현상이 나타납니다.


이 상태에서 임플란트나 브리지 같은 보철 치료를 하려고 하면, 정작 보철물이 들어갈 공간과 각도가 충분히 확보되지 않아 치료가 어렵거나, 장기적인 안정성을 기대하기 힘든 상황이 될 수 있습니다. 


실제로 내원하시는 분들 중에는 “임플란트를 해야 하는데, 주변 치아들이 너무 쓰러져 있어서 먼저 교정을 해야 한다고 들었다”고 말씀하시는 경우도 적지 않습니다.


17d3464fbe306615f4c0872950d20c05_1763463973_6475.jpg



이러한 경우에도 단순히 “나이가 많으니까 어쩔 수 없다”는 결론으로 포기할 필요는 없습니다. 


적절한 교정치료를 통해 치아 위치를 다시 정리하고 나서 임플란트·보철 치료를 진행하면, 기능적으로도 심미적으로도 훨씬 나은 결과를 기대할 수 있습니다.




중장년층도 치아교정이 가능할까요?

교정치료에서 치아가 움직이는 원리는 치조골(치아를 둘러싼 뼈)의 대사와 관련이 있습니다. 


우리의 뼈는 가만히 고정된 것처럼 보이지만, 실제로는 평생에 걸쳐 뼈가 생기고 흡수되는 과정을 반복하고 있습니다. 


치아에 일정한 방향으로 지속적인 힘을 가하면, 압박을 받는 쪽에서는 뼈가 서서히 흡수되고, 반대편에서는 뼈가 새로 형성되면서 그 방향으로 치아가 조금씩 이동하게 됩니다.


17d3464fbe306615f4c0872950d20c05_1763463973_6773.jpg




이러한 원리 때문에 교정치료는 신진대사가 활발한 어린이·청소년·젊은 성인에서 더 빠르게 진행되는 것은 사실입니다. 


그렇다고 해서 중장년층에서는 치아가 아예 움직이지 않는 것은 아닙니다. 나이가 들수록 뼈 대사의 속도가 느려질 뿐, 완전히 정지하는 것은 아니기 때문입니다.



중장년 교정에서 더 신경 써야 할 점

중장년층의 교정치료는 “안 된다”기보다는, 조금 더 세심한 고려가 필요하다고 보는 것이 정확합니다. 


오랜기간 진행된 잇몸질환으로 잇몸뼈가 약해져 있는 경우가 많고, 당뇨·골다공증·복용 약물 등 전신 상태도 함께 고려해야 합니다. 


치아를 너무 무리하게 움직이면 잇몸뼈나 치근에 부담을 줄 수 있기 때문에, 치아이동의 양과 속도, 치료 목표를 보다 신중하게 설정해야 합니다.



그럼에도 불구하고, 나이를 불문하고 더 건강한 교합으로 음식을 편하게 먹고 싶고, 정리된 치열로 자신 있게 웃고 싶은 마음은 누구에게나 자연스럽고 당연한 바람입니다. 


최근에는 중장년층, 심지어 노년층에서도 “앞니만이라도 정리해보고 싶다”, “임플란트를 잘 하기 위해 먼저 교정을 하고 싶다”는 이유로 상담을 오시는 분들이 점점 늘어나고 있습니다.




나이 때문에 교정을 망설이고 계신가요?

나이만을 이유로 교정치료를 포기할 필요는 없습니다. 


중요한 것은 나이가 아니라, 현재 잇몸과 치조골 상태, 치아 배열과 교합 상태, 전신 건강, 그리고 환자분이 기대하시는 목표입니다.


중장년층 교정은 단순히 치열을 가지런하게 만드는 것을 넘어서, 향후 임플란트·보철 치료의 토대를 다지고, 음식을 저작하는 기능을 회복하며, 미소에 자신감을 회복하는 데도 큰 역할을 할 수 있습니다. 


분당치아교정 서울리인치과교정과의원에서는 임상경험이 풍부한 교정과 전문의가 잇몸 상태·치아 배열·전신 상태·기대치 등을 종합적으로 평가한 뒤, 각 환자분께 적합한 여러 치료 옵션을 함께 고민해 드리고 있습니다.


나이 때문에 교정을 망설이고 계시다면, 한 번쯤은 전문의와 상담을 통해 “지금 내 상황에서 가능한 선택지” 를 정확히 확인해 보시기를 권해드립니다. 



오늘 분당치아교정 서울리인치과교정과의원에서 준비한 내용은 여기까지입니다. 읽어주셔서 감사합니다.