서울리인 아카이브

Seoulean Archive

치과 교정과 전문의가 전하는, 치아교정의 바른 이야기

게시물 검색
  • [치아교정]

    판교교정치과 10세 여자아이 매복치 견인 성공 사례 | 성장기 2급 부정교합까지 함께 교정

    2025.12.17
  • [치아교정]

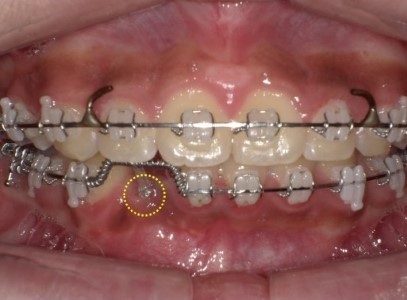
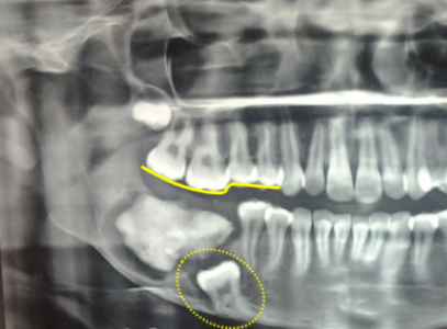
    치아종이란? 매복치·교정치료에 영향을 주는 치아종의 원인과 치료 방법

    2025.12.17
  • [치아교정]

    발치 교정으로 덧니·돌출입 개선한 20대 남성 치료 사례 | 판교교정치과

    2025.12.16
  • [치아교정]

    치아 형태에 따른 교정 디테일링 | 완성도를 높이는 정밀 교정

    2025.12.16
  • [치아교정]

    심한 덧니를 발치교정으로 개선한 성인교정 사례 | 판교교정치과

    2025.12.15
  • [치아교정]

    판교교정치과|골격성 3급 부정교합, 발치 없이 개선한 20대 여성의 교정 여정

    2025.12.15
  • [치아교정]

    수술 없이 비대칭·반대교합·돌출입을 개선한 발치교정 사례 | 판교교정치과

    2025.12.15
  • [치아교정]

    돌출입·입술폐쇄부전 개선 사례|발치교정과 스크류 후방견인으로 편안한 입매 완성

    2025.12.13
  • [치아교정]

    수능 후 시작한 여고생 발치교정|미니스크류 최소 사용으로 자연스러운 입매 완성

    2025.12.13
  • [치아교정]

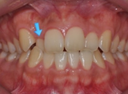
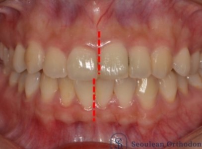
    분당교정치과 / 치아 중심선이 어긋나서 고민이라면? – 실제 치료 사례

    2025.12.13
  • [치아교정]

    미금역교정치과 / 사랑니만 뽑고도 가능했던 비발치 교정, 자연스러운 입매 완성기

    2025.12.12
  • [치아교정]

    잇몸이 많이 보이는 미소(gummy smile)의 기준과 교정치료 방법

    2025.12.12
  • [치아교정]

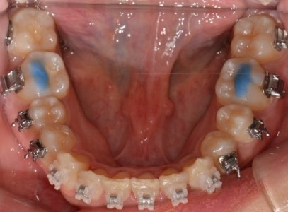
    판교교정치과 교정 바이트 블럭(Bite Block) 사용 이유 | 레진 블록 역할·기간·주의사항

    2025.12.12
  • [치아교정]

    상악 측절치 반대교합·잇몸노출 교정 치료 사례 | 발치교정·미니스크류로 자연스러운 미소 완성

    2025.12.11
  • [치아교정]

    판교교정치과 돌출입 교정 사례|발치 교정으로 옆모습·스마일라인 개선한 20대 남성 케이스

    2025.12.11