서울리인 아카이브
Seoulean Archive
치과 교정과 전문의가 전하는, 치아교정의 바른 이야기
서울리인 아카이브
Seoulean Archive
치과 교정과 전문의가 전하는, 치아교정의 바른 이야기
[치아교정] 인비절라인 재교정으로 해결한 발치공간 · 2급 구치관계 개선 사례
2025.12.09인비절라인과 같은 투명교정 장치의 전반적인 이해를 돕기 위해서 아래 링크를 참고해 주세요.
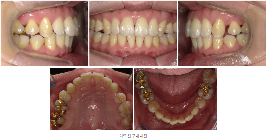
발치교정이 중단된 후 다음과 같은 상태로 내원하셨습니다.
상악 발치공간이 상당 부분 남아 있음
하악에 비해 상악 치열이 전방으로 돌출
2급(Class II) 구치관계
수평피개(overjet) 증가
씹을 때 안정감이 떨어지는 부적절한 교합

남아 있는 발치공간의 단계적 폐쇄
전체 치열의 정렬 및 치아 배열 개선
디지털 ClinCheck으로 치아이동을 정밀 분석
발치공간 폐쇄 및 구치부 후방 이동을 위한 강력한 고정원 확보
2급 → 1급 교합으로 유도
상악 전치 후방 이동
하악 치열과의 기능적·안정적 교합 형성
자연스러운 입매 회복

상악 제1대구치 부위에 미니스크류 식립
고무줄(엘라스틱)을 병행해 구치부 후방 이동 가속
인비절라인 ClinCheck 시뮬레이션과 실제 치아이동을 지속 비교
약 1년간 진행했으며, 투명교정 특유의 편안함 덕분에 협조도가 매우 우수함
1급(Class I) 구치관계 회복
정상적인 수평피개·수직피개 확보
남아 있던 상악 발치공간 완전 폐쇄
치열 정중선 개선
입매가 부드럽게 뒤로 들어가며 자연스러운 안모 완성



치료 요약
구치관계 : 2급(Class II) → 1급(Class I)
수평피개 : 감소
발치공간 : 완전 폐쇄
정중선 편위 개선