서울리인 아카이브
Seoulean Archive
치과 교정과 전문의가 전하는, 치아교정의 바른 이야기
서울리인 아카이브
Seoulean Archive
치과 교정과 전문의가 전하는, 치아교정의 바른 이야기
[치아교정] 보철 전 교정치료 - 앞니 벌어짐 개선
2025.11.29- 자연스러운 보철을 위한 사전 교정치료 사례-
안녕하세요.
분당·판교 교정치과 서울리인치과입니다.
앞니가 벌어지거나 모양이 마음에 들지 않아 보철치료(라미네이트·크라운)를 고려하는 분들이 많습니다.
하지만 치아 배열과 교합이 보철에 적합하지 않은 상태라면, 단순 보철만으로는 자연스럽고 조화로운 결과를 얻기 어렵습니다.
오늘은 보철 전 교정치료가 필요한 실제 사례를 통해
왜 보철 전에 교정이 필요한지, 어떤 변화가 가능한지 설명드리겠습니다.
보철물은 기존 치아와 대합치(맞물리는 치아)의 위치 관계에 큰 영향을 받습니다.
교합이 맞지 않거나 공간이 과도하게 벌어진 상태에서 보철만 진행하면:
보철물이 불필요하게 크고 두꺼워짐
치아가 더 앞으로 튀어나와 보이는 결과 발생
심미성 저하 및 기능적 불편
장기적으로 파절·파손 위험 증가
즉, 보철이 더 잘 맞도록 치아 위치를 먼저 정리하는 과정, 그것이 ‘보철 전 교정치료’입니다.
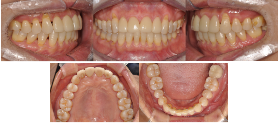
20대 여성
상악 앞니 사이 넓은 공간
아래턱이 약간 전방으로 나온 골격적 특징
왼쪽 아래 앞니가 앞으로 돌출
돌출된 아래 앞니와 맞닿는 윗니 끝 모서리가 이미 파절(깨짐)

보철만으로 앞니 공간을 채우려면
아래 앞니와 부딪히지 않도록 윗니를 더 앞으로 돌출되게 제작해야 하는 상황이었습니다.
이 경우:
앞니 크기가 과도하게 커지고
전체적으로 어색한 치아 모양이 되고
장기적인 자연스러움과 안정성을 기대하기 어렵습니다.

환자분은 원래 보철만 생각하고 계셔서 교정치료가 부담스럽다고 하셨지만,
최소 범위 교정(부분교정) + IPR만으로도 충분히 개선 가능하다고 판단했습니다.
아래 앞니 부분교정 진행
**치간삭제(IPR)**로 돌출된 앞니를 뒤로 정리
약 4개월간의 단기 교정치료로 보철 환경 최적화
※ IPR은 치아 사이를 0.2~0.3mm 정도 미세하게 조정해 배열과 교합을 개선하는 과정입니다.

앞니 공간을 과하게 채우지 않아도 되는 보철 환경 확보
윗니를 더 앞으로 내밀 필요가 없어 자연스러운 보철물 제작 가능
치아 크기·형태가 조화롭게 개선
교합 간섭 없이 안정적인 치아 접촉 형성
환자분께서도
“웃을 때 신경 쓰이던 앞니가 자연스러워져서 이제는 웃는 게 편해졌어요!”
라고 만족해하셨습니다.


다음과 같은 상황이라면 보철 전에 교정치료를 고려하는 것이 좋습니다:
앞니 사이 공간이 넓어 보철만으로는 모양이 어색해질 때
치아 배열이 고르지 않아 보철물이 제대로 자리 잡기 어려울 때
맞물리는 치아(대합치)에 의해 보철이 자연스럽게 형성되기 어려울 때
윗니·아랫니 교합이 맞지 않아 보철 후에도 스트레스가 지속될 가능성이 있을 때
보철 전 교정은
단순히 치아를 가지런히 하는 것이 아니라,
보철물이 가장 자연스럽고 안정적으로 자리 잡을 수 있는 환경을 만드는 과정입니다.
치아 모양
잇몸 라인
맞물림
미소선과 얼굴 조화 모든 요소가 함께 고려됩니다.
보철만으로 해결되지 않을 것 같다면,
교정과 보철이 함께 접근하는 것이 훨씬 자연스럽고 만족스러운 결과를 가져올 수 있습니다.
서울리인치과는
보철 전문의·교정 전문의와의 협진 체계를 기반으로
개인 상태에 맞춘 최적의 치료 계획을 제공합니다.
편하게 상담받아 보시고 가장 적합한 치료 방법을 알아보세요.