서울리인 아카이브
Seoulean Archive
치과 교정과 전문의가 전하는, 치아교정의 바른 이야기
서울리인 아카이브
Seoulean Archive
치과 교정과 전문의가 전하는, 치아교정의 바른 이야기
[치아교정] 수내교정치과 / 과잉치 - 치료 가이드 & 치료 사례
2025.12.01영구치의 정상적인 개수는 **28개(사랑니 포함 시 32개)**입니다.
이보다 치아가 더 많이 형성되는 경우를 **‘과잉치’**라고 하며, 주로 **위 앞니 사이(상악 정중부)**에서 많이 발견됩니다.

과잉치는
겉으로 드러나 완전히 맹출한 경우,
엑스레이에서만 보이는 매복 과잉치
두 가지 형태로 나타납니다.
모든 과잉치가 치료를 필요로 하는 것은 아니지만, 아래 상황이라면 발치 및 교정치료가 필요할 수 있습니다.
앞니 배열이 고르지 않게 되거나 비뚤게 나는 경우
매복 과잉치가 정상 치아 뿌리를 압박하거나 낭종을 형성하는 경우
앞니 사이가 벌어져 심미적으로 불만족스러운 경우
교정치료 시 정상 치아 이동을 물리적으로 방해하는 경우
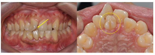
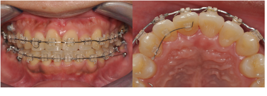
20대 남성 환자로, 입천장 쪽에 과잉치가 맹출되어 있었고 오른쪽 앞니가 180도 회전된 상태였습니다.
→ 과잉치를 발치하고 교정치료를 통해 앞니 배열을 정상화했습니다.


앞니 돌출을 주소로 내원한 20대 남성 사례입니다.
앞니 뒤쪽에서 작은 과잉치가 확인되었으며, 발치 후 치열 정리를 진행했습니다.

20대 여성 환자의 파노라마 엑스레이에서 매복 과잉치 2개가 발견되었습니다.
→ 교정 전 과잉치를 제거해 치아이동을 원활하게 할 수 있었습니다.



또 다른 20대 여성 환자로, 위 앞니 쪽에 가로 방향으로 누운 과잉치가 확인되었습니다.
→ 발치 후 정상적인 치열 이동이 가능했습니다.



성장기 환자에서도 과잉치는 자주 발견됩니다. 다음과 같은 징후가 보이면 검사가 필요합니다.
앞니가 제때 나오지 않거나 비정상적인 방향으로 나는 경우
유치가 늦게 빠지거나 같은 자리에 영구치가 겹쳐 보이는 경우
과잉치는 겉으로 보이지 않는 경우가 많기 때문에 엑스레이 검사가 매우 중요합니다.
교정 상담 중 촬영한 엑스레이에서 소구치 뿌리 바로 위에 매복 과잉치가 발견된 사례입니다.
정상 치아이동을 위해 발치가 필요한 상태였습니다.

초등학생 환자로, 앞니 사이에 매복된 과잉치로 인해 앞니 회전 변형이 나타났습니다.
→ 과잉치 발치 후 앞니 두 개에 부분 교정을 진행해 4개월 만에 배열이 정상화되었습니다.


교정치료를 계획할 때 과잉치 확인은 필수입니다.
치아 이동이 방해받거나 계획한 교정결과가 나오지 않을 수 있습니다.
정상 교합을 형성하는 데 방해가 되는 경우가 많아 발치가 권장됩니다.
조기에 발견하면 교정 없이도 자연적으로 해결되는 경우가 있어, 정기적 검진이 특히 중요합니다.
수내교정치과 서울리인치과에서는
저선량 콘빔 CT
파노라마 엑스레이
를 활용해 성인 및 청소년 환자의 과잉치 여부를 정밀하게 확인합니다.
과잉치 발치 여부, 교정치료 시기와 방법까지 전문의가 직접 상담해드립니다.
궁금한 점은 언제든 편하게 문의해 주세요.