서울리인 아카이브
Seoulean Archive
치과 교정과 전문의가 전하는, 치아교정의 바른 이야기
서울리인 아카이브
Seoulean Archive
치과 교정과 전문의가 전하는, 치아교정의 바른 이야기
[치아교정] 미금역교정치과 앞니돌출 교정, 꼭 발치해야 하나요?│비발치 앞니교정 사례로 보는 해결 방법
2025.12.05분당 판교 최초! 유일!
서울대 출신, 교정 전문의 2인 공동대표 교정전문치과
안녕하세요, 미금역교정치과 서울리인치과입니다.

치아 배열이 고르지 못하거나, 앞니 한 두 개가 유난히 튀어나와 보이면 많은 분들이 가장 먼저 걱정하시는 것이 있습니다.
“저도 발치해야 하나요…?”
1. 치료 전 상태: 2급 부정교합 + 앞니 배열 불균형
이 환자분은
상·하악 전치부 배열이 고르지 못하고
특히 상악 우측 중절치(앞니 하나)가 회전되며 조금 더 튀어나와 보이고
구치부는 2급 부정교합 관계로, 위·아래 앞니 사이 수평 거리(Overjet)가 커진 상태였습니다.
한마디로,
윗니가 아래니보다 앞으로 많이 나와 있고
앞니 한 개가 비틀려 튀어나와
심미적으로도, 교합적으로도 아쉬운 상황이었습니다.

2. 치료 전략: 치간삭제 + 미니스크류를 이용한 비발치 교정
이 증례에서 핵심은
불필요한 발치는 피하면서도
공간을 효율적으로 만들고
2급 부정교합과 수평피개까지 함께 개선하는 것
이었습니다.
그래서 다음과 같은 치료 계획을 세웠습니다.
2-1. 치간삭제(Interproximal Reduction, IPR)로 ‘미세 공간’ 확보
돌출을 줄이고
배열을 가지런히 하며
치아 크기·비율을 맞추는 데에도 도움이 됩니다.
치간삭제에 대한 자세한 설명은 아래 포스팅을 참고해 주세요.
단순히 앞니만 줄 세우듯 배열하면, 윗니와 아랫니 사이 수평 거리가 과도하게 남아 서로 닿지 않는 교합이 될 수 있습니다.
그래서 상악 치열 전체를 뒤로 보내는 후방 이동이 꼭 필요했습니다.
2급 부정교합을 완화하고
수평피개(Overjet)를 줄이며
기능적인 앞니 교합을 만들기 위한 필수 과정이었습니다.
교정용 미니스크류가 궁금하신 분들은 아래 포스팅을 참고해 주세요.
2-3. 회전된 앞니(중절치) 배열 교정
비틀려 있던 상악 우측 중절치는
회전 각도를 바로잡고
주변 치아와의 조화를 맞추면서
전체적인 전치부 라인이 부드럽게 이어지도록 배열
하는 것을 목표로 교정했습니다.
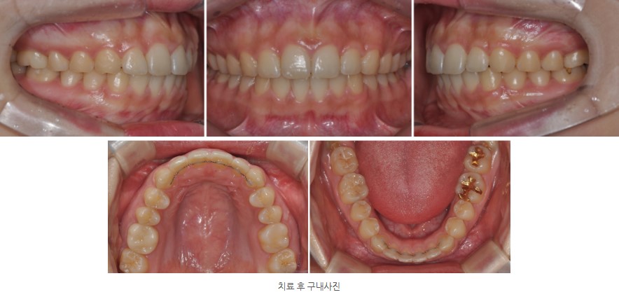
3. 치료 후 결과: 가지런한 치열 + 안정된 2급 개선 교합
3-1. 구강 내 변화
치료 후 구내 사진을 통해 확인할 수 있듯이,
회전되며 튀어나와 보이던 앞니가 가지런한 라인 안으로 정리되고
상·하악 치열이 고르게 배열되었으며
2급 부정교합이 완화되고 수평피개가 감소하여
기능적인 앞니·어금니 교합이 형성되었습니다.

환자분께서는
며 비발치로 치료를 마무리한 점을 특히 만족해하셨습니다.
3-2. 안모(옆모습) 변화
상악 치열이 뒤로 이동하면서
튀어나와 있던 앞니가 뒤로 들어가고
입술을 다물 때의 긴장감이 줄어 입술 폐쇄가 훨씬 수월해졌습니다.



입술폐쇄부전(입을 편하게 다물기 어려운 상태)에 대한 설명은 아래 포스팅을 참고해 주세요.
치아 배열이 가지런해지면서 정면 미소가 단정해지고, 전체적인 인상이 더욱 정돈된 느낌으로 바뀌었습니다.
3-3. X-ray 중첩: 상악 치열 후방 이동 확인
치료 전·후 X-ray를 중첩해 보면, 상악 치열 전체가 후방으로 이동한 것을 명확하게 확인할 수 있습니다.
즉, 단순히 앞니만 세운 것이 아니라, 전체적인 치열 위치를 조정하며 교합을 개선한 비발치 교정이었습니다.

4. 비발치 교정, 이런 점을 기억하시면 좋습니다
앞니가 튀어나와 보인다고 해서 무조건 발치 교정이 필요한 것은 아닙니다.
치간삭제(IPR)
미니스크류(TAD)를 이용한 치열 후방 이동
정밀 진단에 기반한 공간 분석
을 통해, 충분히 비발치로 해결 가능한 케이스들도 많습니다.
다만, 비발치와 발치 중 어떤 방법이 더 적합한지는
골격(턱뼈) 상태
입술 돌출 정도
치열의 전체 혼잡도(총생 정도)
치아 크기·위치 관계
얼굴 라인에 대한 환자분의 기대치
까지 종합적으로 분석해야만 정확히 판단할 수 있습니다.
5. 마무리 – 나에게 맞는 ‘발치 / 비발치’는 진단이 결정합니다
정리하자면,
미금역교정치과 서울린치과에서는
교정과 전문의 2인 공동대표가
풍부한 임상 경험과 디지털 진단 장비를 바탕으로
각 환자분께 가장 적합한 발치/비발치 교정 계획을 제안해드립니다.