서울리인 아카이브

Seoulean Archive

치과 교정과 전문의가 전하는, 치아교정의 바른 이야기

게시물 검색
  • [치아교정]

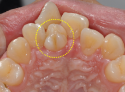
    수내교정치과 / 과잉치 - 치료 가이드 & 치료 사례

    2025.12.01
  • [치아교정]

    교정 상담 시 필수인 핵심 질문 6가지!

    2025.11.29
  • [치아교정]

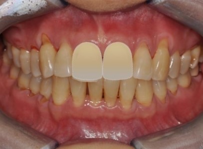
    보철 전 교정치료 - 앞니 벌어짐 개선

    2025.11.29
  • [치아교정]

    볼튼 비율 불균형으로 생긴 앞니 공간·총생 개선 사례

    2025.11.29
  • [치아교정]

    구순구개열 치아교정 | 단계별 치료 과정과 실제 교정 사례 – 분당·판교 서울리인치과

    2025.11.28
  • [치아교정]

    하악 편악 발치를 하지 않는 이유 I 수내역치과

    2025.11.28
  • [치아교정]

    치아교정하면서 안면윤곽수술해도 될까요? I 정자동치과 서울리인치과

    2025.11.28
  • [치아교정]

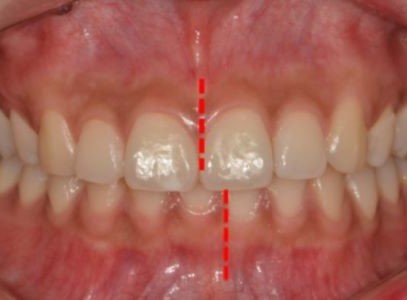
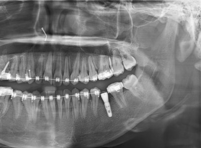
    임플란트 공간 유지, 치아교정에서 꼭 필요한 이유 I 미금교정치과

    2025.11.27
  • [치아상식]

    발치 후 음주, 언제부터 가능할까? 미금교정치과에서 알려드려요.

    2025.11.27
  • [치아상식]

    어린이 충치 예방치료 실란트, 꼭 해야 할까? I 미금교정치과

    2025.11.27
  • [치아교정]

    서현치과/ 교정치료와 충치·보철 치료, 순서는 어떻게 할까요?

    2025.11.26
  • [치아교정]

    치아교정, 악기 연주에 영향 있을까요? I 수내역치과

    2025.11.26
  • [치아교정]

    치아교정, 발음과 노래에 영향 있을까요? I 미금교정치과

    2025.11.26
  • [치아교정]

    분당 판교 교정치과 | 교정치료 중 여행·운동 시 주의사항과 안전 관리법

    2025.11.25
  • [치아교정]

    분당 판교 교정치과 | 상악 편측 발치교정으로 돌출입과 치열 비대칭 개선하기

    2025.11.25