서울리인 아카이브
Seoulean Archive
치과 교정과 전문의가 전하는, 치아교정의 바른 이야기
서울리인 아카이브
Seoulean Archive
치과 교정과 전문의가 전하는, 치아교정의 바른 이야기
[치아교정] 부분교정으로 스마일라인 개선 – 앞니교정으로 미소 자신감 UP!
2025.11.24안녕하세요.
분당·판교 지역 교정전문치과 서울리인치과교정과의원입니다.
오늘은 앞니 부분교정만으로 스마일라인(Smile Arc)을 개선한 실제 증례를 소개드립니다.
전체 교정 없이도 앞니 배열만 가지런히 정리해, 자연스러운 미소와 자신감을 얻을 수 있는 사례입니다.
환자: 만 40세 남성
교정 목적: 앞니 배열 개선, 스마일라인 개선
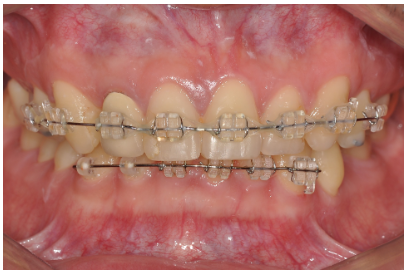
치료 방식: 위·아래 앞니 부분교정
치료 기간: 약 10개월
환자분은 골격 비대칭으로 눈높이와 턱선이 다소 불균형이었으나,
환자분의 주된 요구는 앞니 배열 개선이었습니다.
또한, 위 어금니에 임플란트가 있어 어금니 교합은 변화하지 않기를 원하셨습니다.


위·아래 앞니만 교정 장치를 부착
앞니 높이 조절을 통해 최대한 대칭 맞춤
어금니는 기존 상태 유지

치아 배열 개선
위앞니 높이가 가지런해지고, 불규칙하게 배열된 치아가 정리됨
스마일라인 개선
치아 높이 조절만으로도 웃을 때 자연스러운 곡선(Smile Arc) 형성
환자분이 보다 자신 있게 웃을 수 있는 미소 완성
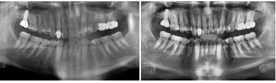
엑스레이 확인
위앞니 높이와 배열 변화 확인 가능
어금니와 기존 치아 교합은 유지
부분교정만으로도 치아 높이 조절과 배열 정리를 통해 미소의 인상과 자신감을 크게 개선할 수 있습니다.
골격 비대칭은 완전 개선이 어렵지만, 앞니 중심의 작은 변화만으로도 시각적 효과가 큽니다.
아름다운 미소를 최우선 가치로 삼고,
환자 개개인의 요구와 치아 구조를 고려한 맞춤 부분교정 시행
불필요한 전체 교정 없이 짧은 치료 기간, 최소 침습으로 만족도 높은 결과 제공
앞니 배열만 가지런히 하고 싶은 분
스마일라인 개선을 원하는 성인
어금니 교합은 유지하고 싶으신 분
부분교정으로도 미소가 달라질 수 있습니다.
스마일라인, 앞니 배열, 치아 높이 문제로 고민 중이라면 정밀 상담 후 맞춤 치료 계획을 받아보세요.
분당·판교 서울린치과교정과가 정확하고 편안한 부분교정을 도와드립니다.