서울리인 아카이브

Seoulean Archive

치과 교정과 전문의가 전하는, 치아교정의 바른 이야기

[치아교정] 수술 없이 골격성 3급·개방교합 교정 가능할까? 미니스크류 절충교정 실제 치료 사례

2026.02.10

본문


골격성 3급, 전치부 개방교합, 안면비대칭을 동반한 고난도 부정교합을 

수술 없이 미니스크류 절충교정으로 개선한 실제 치료 사례를 소개합니다.



안녕하세요.

분당 판교 교정치과 서울리인치과입니다.


efab356bda655df37514c22fc23b113c 1770690206 1136
 


수술이 필요한 골격성 3급·개방교합, 치아 교정만으로는 안 될까요?


골격성 3급 부정교합과 전치부 개방교합은
일반적으로 양악수술이 동반되는 경우가 많아
치료에 대한 심리적·현실적 부담을 느끼는 분들이 많습니다.


하지만 모든 골격성 3급, 개방교합이
반드시 수술을 전제로 치료해야 하는 것은 아닙니다.


치아 보상 범위, 수직적 문제의 정도, 연조직과 안모의 조화,
환자의 요구사항을 종합적으로 분석했을 때
교정적 절충치료가 가능한 경우도 분명히 존재합니다.


분당치아교정 주걱턱, 꼭 양악수술이 필요한가요? (Part 2) | 서울리인치과교정과의원

반대로, 수술이 필요한 케이스에서 무리하게 교정 치료만으로 

개선을 시도하면 바람직하지 못한 부작용이 생기도 합니다.


분당교정치과 주걱턱, 꼭 양악수술이 필요한가요? (Part 1) | 서울리인치과교정과의원

이번 사례는 비수술·비발치 교정치료를 강하게 원하셨던 환자분

실제 치료 과정을 바탕으로 소개드립니다.




치료 전 진단 요약


본 환자분은 다음과 같은 복합적인 문제를 가지고 있었습니다.

  • 골격성 및 치성 3급 부정교합

  • 양측 Angle 3급 관계

  • 전치부 개방교합 및 반대교합

  • 치아 사이 공간 존재

  • 상악 전치 순측 경사

  • 상·하악 중심선 불일치

  • 상악 측절치 왜소치

  • 혀 내밀기 습관(tongue thrust)


수술적 접근이 충분히 고려될 수 있는 상태였으나,
환자분은 비수술·비발치 교정치료만을 원하셨고,
치료의 한계와 목표에 대해 충분한 설명 후 절충교정을 진행하였습니다.



efab356bda655df37514c22fc23b113c 1770690224 2967
 


치료 전략: 미니스크류를 이용한 절충교정


이번 치료의 핵심은
골격 자체를 변화시키지 않고, 교합과 치열을 재구성하는 것이었습니다.


1. 상·하악 사랑니 발치

  • 하악 치열 후방 이동을 위한 공간 확보

  • 전체 교정 계획의 안정성 확보


2. 미니스크류 식립

  • 상악 구치 함입을 통한 개방교합 개선

  • 하악 전체 치열의 후방 이동 유도


3. 하악 전치부 치간삭제(IPR)

  • 상악 측절치 왜소치로 인한 볼튼 비율 불균형 보정

  • 보철적 치료 없이 교정적 방법으로 해결


4. 근기능치료(Myofunctional Therapy) 병행

  • 혀 내밀기 습관 개선

  • 개방교합 재발 위험 감소

  • 치료 후 교합 안정성 확보



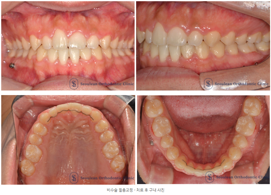
치료 결과 및 평가


약 2년간의 교정치료 후 다음과 같은 변화를 확인할 수 있었습니다.

  • 전치부 개방교합 해소

  • 반대교합 개선 및 안정적인 전치 교합 형성

  • 양측 구치 관계의 기능적 개선

  • 중심선 불일치 완화

  • 안모 비대칭 감소 및 측모 조화 개선


특히 재발 가능성이 높은 개방교합 케이스에서
근기능치료를 병행했다는 점

치료 결과의 장기적 안정성 측면에서 중요한 의미를 가집니다.



efab356bda655df37514c22fc23b113c 1770690237 3525
 


efab356bda655df37514c22fc23b113c 1770690245 4275
efab356bda655df37514c22fc23b113c 1770690251 908
 



마무리하며


골격성 3급, 개방교합, 안면비대칭이 동반된 경우라도
모든 환자에게 수술이 유일한 해답은 아닙니다.


정확한 진단을 바탕으로
교정의 한계를 명확히 설정하고,
환자의 니즈를 존중한 맞춤 치료 계획이 수립된다면
비수술 교정으로도 의미 있는 결과를 얻을 수 있습니다.



efab356bda655df37514c22fc23b113c 1770690265 3707
 


비슷한 고민을 하고 계시다면
교정 전문의의 정밀 진단을 통해
본인에게 적합한 치료 방법을 확인해 보시길 권해드립니다.



서울리인교정치과 네이버 예약



#치아교정전후 #골격성3급교정 #개방교합교정 #비수술교정 #절충교정 #미니스크류교정 #개방교합비수술 #양악수술없이교정 #분당교정치과 #판교교정치과 #미금역교정치과 #수내교정치과