서울리인 아카이브
Seoulean Archive
치과 교정과 전문의가 전하는, 치아교정의 바른 이야기
서울리인 아카이브
Seoulean Archive
치과 교정과 전문의가 전하는, 치아교정의 바른 이야기
[치아교정] 분당 판교 돌출입 교정|비대칭 교합 동반 양악전돌, 미니스크류를 이용한 발치 교정 치료 사례
2026.02.24분당 판교 서울리인치과 교정과 전문의 치료 사례.
비대칭 교합을 동반한 골격성 양악전돌 케이스에서
미니스크류를 활용한 비대칭 발치 교정으로 교합과 안모를 동시에 개선한 2년 치료 결과를 소개합니다.

이번 치료 사례는 돌출입과 비대칭 교합을 주소로 내원한 20대 여성 환자의 교정치료 과정입니다.
겉으로 보기에는 단순 돌출입처럼 보였지만, 정밀 진단 결과 골격성 문제와 치성 문제가 함께 존재하는 복합 케이스였습니다.
정밀 진단 결과
다음과 같은 문제점이 확인되었습니다.
골격성 양악전돌
안면 비대칭
우측 2급 구치관계 / 좌측 3급 구치관계 (좌우 비대칭 교합)
총생
수평·수직 피개 부족
상악 전치 순측 경사
중심선 불일치 (하악 우측 편위)
상악 우측 제2소구치 이소맹출
특히 중요한 부분은 좌우 구치관계가 서로 달랐다는 점입니다.
이러한 경우 발치를 좌우 대칭으로 진행하면
오히려 교합이 더 틀어질 수 있습니다.
따라서 비대칭을 고려한 전략적 발치 계획이 핵심이 됩니다.
치료 계획 – 좌우가 다른 ‘비대칭 발치 교정’
비대칭 교합을 바로잡고 돌출감을 효과적으로 개선하기 위해
다음과 같은 발치 전략을 수립했습니다.
상악 양측 제2소구치 발치
하악 우측 제2소구치 발치
하악 좌측 제1소구치 발치
즉, 하악 좌우 발치 치아를 다르게 설정한 비대칭 발치 교정을 진행했습니다.
또한 우측 구치관계를
Class I 교합 으로 개선하기 위해
상악 우측에 **미니스크류(교정용 임플란트)**를 식립하여
구치부 후방 이동을 병행했습니다.
이 전략의 목표는 다음 세 가지를 동시에 달성하는 것이었습니다.
돌출입 개선
중심선 일치 회복
좌우 구치관계 비대칭 해소
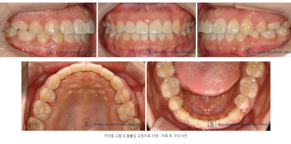
치료 결과 – 2년간의 변화
약 2년간의 교정치료 후 다음과 같은 변화를 얻었습니다.
돌출감이 완화되며 부드러운 측모 형성
좌우가 달랐던 구치관계의 안정적 교합 완성
중심선 불일치 해소
총생 개선 및 가지런한 치열 형성
안면 비대칭의 시각적 완화
환자분께서는
“입이 들어가면서 인상이 부드러워졌고, 웃을 때 자신감이 생겼다”고 말씀해 주셨습니다.

돌출입 교정, 모두 같은 방법일 수는 없습니다
돌출입 교정이라고 해서
모든 환자가 같은 발치, 같은 이동량, 같은 방식으로 치료되지는 않습니다.
특히 다음과 같은 경우라면 더욱 정밀한 진단이 필요합니다.
✔ 좌우 구치관계가 다른 경우
✔ 안면 비대칭이 동반된 경우
✔ 중심선이 틀어진 경우
✔ 양악전돌이 의심되는 경우
교정치료의 핵심은
“발치를 하느냐, 안 하느냐”가 아니라
어디를, 얼마나, 어떤 방향으로 이동시키느냐입니다.
분당 판교 돌출입·비대칭 교정 상담
비대칭 교합과 돌출입으로 고민하고 계신다면
단순히 발치 여부만을 묻기보다는
“나에게 맞는 교정 전략은 무엇인가?”
를 정확히 진단받아 보시길 권해드립니다.

분당 판교 교정치과 서울리인치과에서는
교정과 전문의 2인 공동 진료 시스템으로
정밀 분석 후 맞춤 교정 계획을 수립하고 있습니다.
#분당교정치과 #판교교정치과 #미금역교정치과 #서울리인치과 #주치의바뀌지않는교정 #주치의바뀌지않는치과 #돌출입교정 #비대칭교합 #양악전돌
#미니스크류교정 #발치교정 #성인교정 #교정전문의 #교정전문치과 #분당서울대출신교정