서울리인 아카이브

Seoulean Archive

치과 교정과 전문의가 전하는, 치아교정의 바른 이야기

게시물 검색
  • [치아상식]

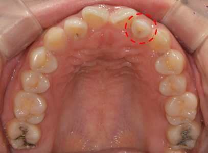
    치외치(Dens Evaginatus)란? 교정치료 전 반드시 확인해야 할 치아 형태 이상

    2025.12.17
  • [치아상식]

    미금역교정치과 구강세정제 성분별 차이·부작용·안전한 사용법 | 서울리인치과교정과

    2025.12.08
  • [치아상식]

    구취(입냄새) 원인과 해결 방법 & 구강관리 꿀팁 I 미금역교정치과

    2025.12.05
  • [치아상식]

    치아외상, 어떻게 대처해야 할까요? I 미금역교정치과

    2025.12.03
  • [치아상식]

    치아 실금(크랙)의 종류와 치료가 필요한 경우|분당·판교 서울리인치과

    2025.12.02
  • [치아상식]

    발치 후 음주, 언제부터 가능할까? 미금교정치과에서 알려드려요.

    2025.11.27
  • [치아상식]

    어린이 충치 예방치료 실란트, 꼭 해야 할까? I 미금교정치과

    2025.11.27
  • [치아상식]

    방학에 시작하는 어린이·청소년 치아교정, 효과와 장점 5가지

    2025.11.24
  • [치아상식]

    어금니 교합과 치매 예방 – 건강한 교합이 뇌 건강을 지킨다

    2025.11.24
  • [치아상식]

    시린이 치약, 정말 효과 있을까? I 분당치과 서울리인교정치과

    2025.11.22
  • [치아상식]

    분당치과 시린이는 왜 생기나요?

    2025.11.22
  • [치아상식]

    임산부 스케일링 꼭 받아야 하나요? I 분당치과 서울리인치과

    2025.11.21
  • [치아상식]

    분당치과 깨끗하게, 맑게, 자신있게! - 치아미백

    2025.11.18
  • [치아상식]

    판교치과 충치 예방의 열쇠! 불소 겔 vs 불소 바니쉬 | 서울리인치과교정과의원

    2025.11.18
  • [치아상식]

    치내치란? 원인부터 치료 방법까지 / 판교교정치과 서울리인치과가 알려드립니다

    2025.11.17