서울리인 아카이브
Seoulean Archive
치과 교정과 전문의가 전하는, 치아교정의 바른 이야기
서울리인 아카이브
Seoulean Archive
치과 교정과 전문의가 전하는, 치아교정의 바른 이야기
[치아상식] 치내치란? 원인부터 치료 방법까지 / 판교교정치과 서울리인치과가 알려드립니다
2025.11.17분당 판교 최초! 유일!
서울대 출신, 교정 전문의 2인 공동대표 교정전문치과
안녕하세요, 판교교정치과 서울리인치과입니다.
치아 표면에 움푹 들어간 홈이 있어요."
"겉으론 멀쩡해 보이지만 치아 속에서 조용히 문제가 일어나고 있을 수 있어요."
지난 번에 치외치(Dens Evaginatus)에 대해 포스팅했었는데요,
오늘은 판교교정치과 서울리인치과에서
비슷하게 치아 형태 이상 문제이지만 다른, 치내치(Dens in Dente)에 대해 말씀드리겠습니다.
"판교교정치과 서울리인치과/ 치내치(齒內齒, Dens in Dente)란?"
치내치(Dens in Dente)는 말 그대로 치아 안에 또 다른 치아 구조가 형성되는 기형적 형태를 말합니다.
이는 치아가 형성되는 과정에서 법랑질 기관이 비정상적으로 치아 내부로 함입되어 생기는 선천적 이상으로, 주로 상악 측절치에서 자주 발견됩니다.
겉으로 보기에는 치아가 정상처럼 보여서 환자분들이 스스로 알아차리기 어려운 경우가 많습니다.
하지만 내부 구조가 비정상적이기 때문에, 충치가 빨리 진행되거나 신경 염증이 쉽게 생기는 특징이 있습니다.

"판교교정치과 서울리인치과 / 치내치(Dens in Dente)의 원인"
**치내치는 치아 발생 과정에서의 이상으로 발생합니다.
정확한 원인은 명확히 밝혀지지 않았지만, 다음과 같은 요인이 영향을 준다고 알려져 있습니다.
• 치아 형성기(유치기 또는 영구치 맹출 전) 동안의 발육 이상
• 유전적 요인
• 외상 또는 염증 등으로 인한 법랑기관 손상
즉, 후천적 관리로 예방이 어렵기 때문에 정기적인 치과 검진을 통해 조기에 발견하는 것이 중요합니다.

"판교교정치과 서울리인치과 / 치내치(Dens in Dente)의 증상과 진단"
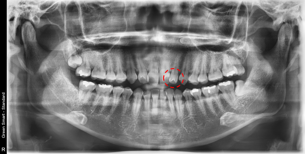
** 치내치는 겉으로 드러나는 경우도 있지만, 많은 경우 X-ray나 CT 촬영을 통해 발견됩니다.
대표적인 증상으로는 다음이 있습니다.
✔ 특정 치아 표면의 작은 홈에 음식물이 자주 끼거나 착색이 됨
✔ 겉으로 보이는 충치는 없으나 깊은 곳에 생긴 충치가 검게 비쳐 보임
✔ X-ray 상에서 치아 속에 하얗고 작은 치아가 하나 더 있는 것처럼 보임
✔ 치근단 염증이나 신경통증
치내치는 치수(신경)와의 연결이 복잡하므로, 단순 충치치료만으로는 문제가 해결되지 않는 경우가 있습니다.
"판교교정치과 서울리인치과 / 치내치(Dens in Dente)의 치료 방법"
** 치내치의 치료는 정도와 형태에 따라 달라집니다.
치아 내부 함입의 깊이와 신경 침범 여부에 따라 다음과 같은 치료가 적용됩니다.
1. 초기 단계
• 치내치가 깊지 않다면, 충치 예방을 위한 실란트(치아 홈 메우기) 나 레진 충전으로 마감할 수 있습니다.
• 정기적인 관찰이 필요합니다.
2. 중등도 이상
• 함입 부위에 세균이 침투한 경우, 신경치료(근관치료) 가 필요할 수 있습니다.
• 경우에 따라 치아 형태를 교정하기 위한 보철치료(크라운 등) 도 시행합니다.
3. 심한 경우
• 치근까지 이상이 진행되거나 염증이 심할 경우, 발치 후 교정 또는 임플란트 치료를 고려해야 합니다.
약간의 충치가 진행된 상황이었으나, 다행히 깊이가 많이 깊지 않아서 간단한 레진 치료 후 교정 치료를 시작할 수 있었습니다.
"판교교정치과 서울리인치과 / 교정치과에서의 치내치 관리(Dens in Dente) 관리 중요성"
** 치내치가 있는 경우, 치아 이동(교정치료) 시에도 특별한 주의가 필요합니다.
특히 치아의 설면에 장치를 붙이게 되는 설측 교정 혹은 교정 치료 후 부착하는 유지장치의 경우, 해당 치아의 충치 여부를 면밀히 검사하여 필요한 경우 충치 치료 혹은 예방적 실란트를 한 후 장치를 붙이는 것이 중요합니다.
따라서 교정 전에는 반드시 구강 내 검진, 파노라마 X-ray, 3D CT, 디지털 스캐너 등을 이용한 검사를 통해 치아 구조를 꼼꼼하게 확인하는 것이 중요합니다.


판교교정치과 서울리인치과에서는 교정 전 진단 단계에서 이러한 비정상 치아 구조를 정밀하게 분석하여 환자분께 안전하고 효율적인 치료 계획을 제시하고 있습니다.
** 예방법과 관리 포인트
• 정기적인 치과 검진(6개월~1년 주기)
• 통증이나 치아 변색 시 즉시 내원
• 치내치가 의심되면 조기 촬영 및 진단
치내치는 드물지만 조기에 발견하면 충분히 관리가 가능합니다.
무심코 지나치면 신경염증이나 발치로 이어질 수 있으므로, 정기검진과 전문의의 정확한 진단이 가장 중요합니다.
판교교정치과 서울리인치과에서는 교정치료 전후로 정밀 진단을 통해 치내치와 같은 비정상 구조를 꼼꼼하게 확인하고, 환자분의 치아 건강과 교정 결과를 동시에 지켜드립니다.✨