서울리인 아카이브
Seoulean Archive
치과 교정과 전문의가 전하는, 치아교정의 바른 이야기
서울리인 아카이브
Seoulean Archive
치과 교정과 전문의가 전하는, 치아교정의 바른 이야기
[치아상식] 임산부 스케일링 꼭 받아야 하나요? I 분당치과 서울리인치과
2025.11.21임신 중 스케일링, 받아도 괜찮을까요? 분당치과 서울리인치과가 임산부 스케일링이 왜 필요한지, 태아에게 안전한지, 언제 받는 것이 좋은지(임신 주수별), 주의사항과 임산부 구강관리 방법까지 자세히 정리해드립니다.

분당 판교 최초, 서울대 출신 교정 전문의 2인 공동대표 교정전문치과
분당치과 · 임산부 스케일링 꼭 받아야 하나요?
안녕하세요, 분당치과 서울리인치과입니다.
지난번에 임신 중 교정치료에 대해 간단히 말씀드린 적이 있는데요,
오늘은 많은 임산부들이 특히 궁금해하시는 “임신 중 스케일링, 받아도 될까? 꼭 받아야 할까?” 에 대해 조금 더 자세히 알아보겠습니다.
임산부 스케일링, 왜 필요할까요?
임신 중에는 호르몬과 신체 상태의 변화로 인해 평소보다 구강질환이 생기기 쉬운 환경이 됩니다. 대표적으로 다음과 같은 문제들이 발생할 수 있습니다.

임신성 치은염은 임신 중에 많이 나타나는 잇몸 염증입니다.
잇몸이 붓고
양치할 때 피가 나고
전체적으로 예민해지는 것이 특징입니다.
보통 임신 초기 2~3개월 무렵부터 심해지기 시작하여
임신 2~3기, 특히 임신 8개월 전후에 가장 심한 양상을 보이는 경우가 많습니다.

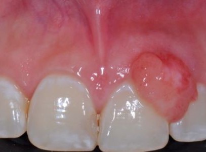
임신성 육아종은 임신 중 잇몸이나 구강 점막에 생길 수 있는 양성 종양(정확히는 화농성 육아종) 입니다.
잇몸 염증(임신성 치은염)이 심한 부위에 잘 생기고
붉은 혹, 혹은 볼록 튀어나온 반점처럼 보이며
자극을 받으면 쉽게 출혈이 생길 수 있습니다.
대부분 출산 후 자연스럽게 줄어들거나 사라지지만,
크기가 크거나
통증이나 출혈이 심한 경우에는
치료가 필요한 경우도 있습니다.

임신 기간 중 치주염이 심할 경우, 일부 연구에서 저체중아 출산, 조산과의 연관성이 보고된 바 있어, 적극적인 관리가 필요합니다.
임신 중에는
입덧으로 인한 구토
단 음식 섭취 증가
피로감으로 인한 양치 소홀
등으로 인해 충치가 평소보다 잘 생길 수 있습니다.
불소 함유 치약 사용을 권장드리며,
필요 시 치과에서의 불소 도포가 도움이 될 수 있습니다.

부식된 표면은 거칠어지고
그 부위에 충치가 더 잘 생기며
시린 증상도 동반될 수 있습니다.
예방을 위해서는
물을 자주 나눠 마시고
무설탕 껌으로 침 분비를 늘리고
불소 함유 치약으로 관리하는 것이 도움이 됩니다.
이처럼 임신 중에는 잇몸병, 충치, 산 부식 등 여러 구강문제가 한꺼번에 생기기 쉬운 시기이기 때문에,
정기적인 스케일링과 관리가 엄마와 아기의 건강을 위해 매우 중요합니다.
분당치과 서울리인치과에서는 임산부가 잠깐의 치료 중에도 조금이나마 편안함을 느끼실 수 있도록
이중 시트 체어
무통 스케일러
등을 구비하여 치료 부담을 최대한 줄이기 위해 노력하고 있습니다.
임신 중 스케일링, 태아에게 해롭지 않나요?
많은 분들이 “혹시 스케일링이 아기에게 영향을 주지는 않을까?” 하고 걱정하시는데요.
스케일링은
치아 표면과 잇몸 주변에 붙어 있는 치석과 치태(플라그)를 제거하는 시술로,
마취제나 항생제 사용 없이도 가능한 비침습적(몸 안으로 약을 넣지 않는) 시술입니다.
방사선(엑스레이) 촬영 없이도 시행할 수 있습니다.
따라서, 정상적인 경우라면 임신 중 스케일링 자체가 태아에게 해를 주지는 않습니다.
다만, 현재 임신 주수 산모의 전신 상태(입덧, 혈압, 기저 질환 등) 에 따라 진료 방식이 조금씩 달라질 수 있으므로,
임산부가 스케일링 받을 때 주의할 점
가능하면 산부인과 주치의와 상의 후 내원하시면 더욱 안전합니다.
진료 전
입덧 여부
구토 증상
스케일링 후에는
올바른 양치질
치실 또는 워터픽 사용
진료 중
장시간 한 자세가 힘들거나
숨쉬기 불편하거나
허리·골반이 아프면
언제든지 편하게 말씀해 주세요.
진료 체어 각도 조절, 휴식 등을 통해 최대한 부담을 줄여드릴 수 있습니다.
임산부 스케일링, 언제 받는 것이 좋을까요?
임산부가 가장 안정적으로 치과 치료를 받을 수 있는 시기는 일반적으로 임신 2기(13~27주) 입니다.
1기 (1~12주)
태아의 주요 장기들이 형성되는 가장 민감한 시기입니다.
특별한 응급 상황이 아니라면 치과 치료(특히 약물·수술적 치료)는 가급적 피하는 편이 좋습니다.
2기 (13~27주)
엄마와 태아 모두 비교적 상태가 안정적인 시기입니다.
스케일링 및 대부분의 치과 치료가 가장 안전하게 가능한 시기로 권장됩니다.
3기 (28주 이후)
복부가 많이 나오고,
치과체어에 오래 누워 있는 것이 불편할 수 있습니다.
스케일링 자체가 위험한 것은 아니지만, 산모의 편안함을 고려해 진료 시간·자세 조절이 필요합니다.
임산부 구강관리, 이렇게 해보세요
하루 3회, 부드러운 칫솔과 불소 함유 치약으로 양치하기
치실 또는 워터픽으로 칫솔이 닿기 어려운 사이사이까지 관리하기
입덧이 심할 때는
바로 칫솔질이 힘들 수 있으니
먼저 물이나 중성에 가까운 가글로 입을 헹군 뒤,
조금 나아졌을 때 부드럽게 양치하기
스케일링 이후에는 정기검진을 통해 상태를 꾸준히 점검하기
정리하며
임신성 치은염과 치주염을 예방하고,
충치와 산 부식증을 줄이며,
결과적으로 엄마와 아기의 건강을 지키는 예방적 관리라고 보시는 것이 맞습니다.