서울리인 아카이브

Seoulean Archive

치과 교정과 전문의가 전하는, 치아교정의 바른 이야기

[치아교정] 10세 여자 아이 매복치 견인 성공 사례 — 판교교정치과 성장기 교정 이야기 [출처] 10세 여자 아이 매복치 견인 성공 사례…

2025.11.14

본문

분당 판교 최초! 유일!

서울대 출신, 교정 전문의 2인 공동대표 교정전문치과

맹출 공간이 사라진 10세 여자 아이의 매복치를 판교교정치과에서 브라켓, 스크류, 고무줄 견인을 이용해 성공적으로 끌어올린 사례입니다.

성장기 부정교합 교정과 매복치 견인의 실제 과정을 확인하세요.

안녕하세요, 판교교정치과 서울리인치과입니다.

오늘은 10살 어린이 매복치 증례를 함께 볼까합니다.

“아래쪽 치아가 하나 안 나왔어요.”

10세 여자 아이가 엄마 손을 잡고 내원했습니다.

“이가 나올 시기가 지난 것 같은데, 오른쪽 아래 앞니 하나가 아직도 안 나왔어요.”

7f829c6152fc0f266ad641c0f7ec26e1_1763089914_7422.png

방사선 촬영 결과, 아래 오른쪽 두번째 앞니가 매복되어 잇몸 안쪽 깊숙이 자리 잡고 있었고, 상방에는 치아종이 가로 막고 있었습니다.


7f829c6152fc0f266ad641c0f7ec26e1_1763089930_3017.png

판교교정치과 / 치료 전 파노라마 엑스레이

7f829c6152fc0f266ad641c0f7ec26e1_1763089951_2483.png

판교교정치과 / 치료 전 Cone Beam CT

(치아종이 무엇인지 궁금하신 분들은 지난 포스팅을 참고해주세요.)

구강 내를 보았을 때, 치아가 맹출해야 할 공간은 주변 치아가 쓰러지면서 다 차지한 상태여서 그대로 두면 자연 맹출이 불가능한 상황이었습니다.


7f829c6152fc0f266ad641c0f7ec26e1_1763089973_2641.png
7f829c6152fc0f266ad641c0f7ec26e1_1763089973_3424.png

판교교정치과 / 치료 전 구내사진

치료 계획 — ‘공간 만들기’가 먼저

매복치를 끌어올리기 위해서는 먼저 그 치아가 올라올 공간을 확보하는 것이 가장 중요했습니다.

따라서 하악에는 브라켓을 부착하고, 주변 치아를 살짝 이동시켜 매복치의 맹출 공간을 만들어주는 단계부터 시작했습니다.

매복치 상방을 가로 막고 있던 치아종은 제거했습니다.

물리적인 방해요소만 제거해도 매복치가 저절로 맹출하는 경우도 있기 때문이지요.

상악은 굵은 와이어가 삽입 가능한 단계까지 교정 진행을 해 두었습니다.

이것은 나중에 매복치에 고무줄(엘라스틱)을 걸어야 할 경우, 안정적으로 걸 수 있도록 준비하는 것입니다.

???? 매복치 수술 및 버튼 부착

충분한 공간이 확보되었지만, 매복치가 스스로 맹출하는 경향이 보이지 않았습니다.

매복치를 끌어올리기 위해, 고무줄을 걸 수 있는 버튼을 부착하는 수술을 의뢰했습니다.

부착된 버튼에 교정용 고무줄을 연결해 상방으로 견인하기 시작했습니다.


7f829c6152fc0f266ad641c0f7ec26e1_1763089992_2853.png

판교교정치과 / 견인 중인 매복치

느렸지만, 끝내 올라온 매복치

매복치의 맹출 속도는 예상보다 더디었습니다.

치아의 위치가 깊었고, 아이의 협조도 문제도 있었기 때문이죠.

하지만 꾸준히 견인을 유지하며 아이의 협조를 격려했고,

결국 매복된 하악측절치가 잇몸 위로 자연스럽게 올라왔습니다.

구강 내로 올라온 치아에 브라켓 장치를 부착하여 치아배열을 시행했습니다.

???? 골격성 2급 부정교합 교정 병행

이 환아는 **골격성 2급 부정교합(상악이 상대적으로 전방위치)**을 동반하고 있었기 때문에,

상악 구치부에 미니스크류를 식립하고 상악 치열 전체를 후방 이동시켰습니다.

(미니스크류에 대한 설명은 아래 포스팅을 참고해주세요. )

보통 어린이 2급 부정교합에서는 헤드기어를 많이 사용하는데, 이 환아는 헤드기어 착용을 거부하여

미니스크류로 치아를 후방이동시켜서 교합을 맞추기로 하였습니다.

(2급 부정교합과 헤드기어에 대해 궁금하신 분들은 아래 링크를 참고해주세요.)

상악 치아의 후방이동으로 인해 측모(옆모습)에서 돌출감이 완화되고,

상하악 전치간의 넓었던 수평피개가 정상적으로 개선되었습니다.


7f829c6152fc0f266ad641c0f7ec26e1_1763090029_6644.png

판교교정치과 / 치료 전 후 측면 엑스레이 비교

다만, 교정 막바지에 사춘기에 접어든 아이가 “이제 빨리 교정 끝내고 싶어요!”라며 졸라서,

정중선을 다 맞추지 못한 상태에서 마무리하게 되었습니다.

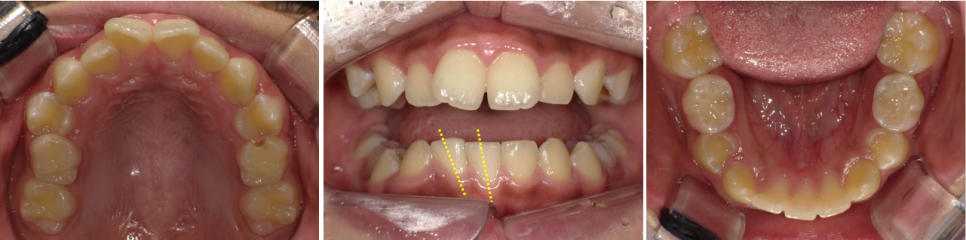
하지만 매복된 측절치는 치근까지 잘 배열되었고, 잇몸 형태도 주변치아와 비슷하게 자연스럽게 회복되었습니다.

7f829c6152fc0f266ad641c0f7ec26e1_1763090060_0868.png
7f829c6152fc0f266ad641c0f7ec26e1_1763090060_1712.png

판교교정치과 / 치료 후 구내사진

치료 요약

• 환자: 10세 여아

• 진단: 골격성 2급 부정교합, 하악 우측 측절치 매복

• 치료: 하악 전치 공간확보 → 매복치 수술 & 버튼부착 → 견인 → 상악 후방이동(교정용 미니스크류 이용)

• 결과: 매복치 완전 맹출 및 배열, 잇몸 자연 회복, 측모 개선

마무리하며

어린 나이에 매복치 견인을 진행하는 것은 쉽지 않습니다.

치아가 어디까지 올라올지, 시간이 얼마나 걸릴지 예측하기 어렵기 때문입니다.

하지만 공간 확보 → 수술 → 견인 → 악궁 내에서의 배열 순서를 정확히 지킨다면,

매복치도 충분히 제자리로 돌아올 수 있습니다.

판교교정치과에서는 단순히 ‘치아를 끌어올리는’ 치료가 아니라,

성장기 아이의 골격 성장과 전체적인 교합 변화까지 함께 설계합니다.

우리 아이 매복치, 기다릴지 치료할지 고민이라면 전문가 상담을 받아보세요.

7f829c6152fc0f266ad641c0f7ec26e1_1763090076_6041.jpg